AOTRAUMA.ORG Центр Илизарова  

Ортопедия и травматология Общие вопросы/General questions Help Информационные технологии в медицине
 вверх
 отправить
 поиск
 админ
 главная


врожденная патология
Информационные технологии в медицине Отправлено Anton Vladzymyrskyy 26 Сентябрь 2006, 22:16
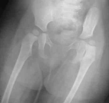
Уважаемые коллеги!Окажите, пожалуйста, консультативную помощь! Девочка, 1 г 9 мДЗ: врожденная патология головного мозга, врожденная дисплазия, подвывих, приводящая контрактура левого тазобедренного сустава, микроцефалия, миоклонические припадки, грубая задержка психофизического развития, с-м Айкарди?
Жалобы родителей на укорочение левой ноги, невозможность ходить, сидеть. Впервые обратили внимание на укорочение левой нижней конечности 4 месяца назад. Осмотрена по месту жительства в ЦРБ, направлена в ДНИИТО. Ребенок от I беременности, I срочных родов, протекавших с анемией, осложненные преждевременным отхождением вод, вес при рождении 4100. В анамнезе - пупочная грыжа, респираторные заболевания, рахит, тетрапарез, судорожный синдром, сальмонельоз.
12.06.05. МРТ головного мозга/консультация невролога - микроцефалия со структурной аномалией головного мозга (агенезия мозолистого тела, атрезия передних рогов боковых желудочков, расширение затылочных швов с обеих сторон), задержка психомоторного развития, тетрапарез, миокинетические, эпилептические приступы, частичная атрофия зрительных нервов.
Особенности объективного осмотра в настоящее время:Умеренный тетрапарез. Признаки рахита (деформация костей черепа, четки). Дыхание пуэрильное. Тоны сердца ритмичные, шумов нет. Живот мягкий, безболезненный, печень +1,5 см. Склонность к запорам. Местный статус: резкое приведение левого бедра, относительное укорочение левой нижней конечности. Ограничение отведения в тазобедренных суставах, особенно слева. Гипертонус мышц левой нижней конечности. Ограничение сгибания в левом коленном суставе.
Объем движений (левый ТБС): сгибание-разгибание (фиксированное) 65-165; разведение - D 45, S 65. Положение сустава по отношению к линии Розера-Нелатона - D 0,5 см, S 1,5 см. Хронаксиметрия - возбудимость нервных стволов нижних конечностей в норме, двигательная реакция мышц типичная.
Ваше мнение о лечении дисплазии/подвывиха с учетом общей тяжелой неврологической симптоматики? Консервативно, оперативно, методы, сроки, этапы?
Заранее благодарю!
С уважением,
Антон Владзимирский
Донецкий НИИ травматологии и ортопедии

<  |  >

 

  • Сообщения о Информационные технологии в медицине
  • Также Anton Vladzymyrskyy
  • Связаться с автором
  • Ответить

    Re: врожденная патология
    mark eidelman 27 Сентябрь 2006, 18:08
    Hi, this is pretty typical windblown hip deformity: abduction on rt side, adduction on the lt(according to your anamnesis kind of CP. Lt side already subluxated , no treatment will lead to further dislocation.I think that best way for treatmen now is : adductor tenotomy on the lt + spica cast ( 50-60 degrees abduction with wood bar between legs), after 6 weeks change to another 6 weeks; than for 6 months night plastic abduction brace.
    Udachi
    Mark Eidelman.
    [ Ответить ]

    Re: врожденная патология
    Alexey Mozounov 29 Сентябрь 2006, 07:57
    Dear Anton,

    AV> Девочка, 1 г 9 м

    А будет ли этот ребенок вообще ходить?
    Скорее всего нет...
    И причина (родители должны понимать это) не в укорочении...

    Есть ли смысл задумываться о дисплазии? и укорочении?
    Лежать, полулежать/полусидеть и сидеть она мешать не будет...

    В отношении сидеть...
    Оно конечно желательно...
    Из указанных объемов движений сидеть ребенку видимо мешает приведение левого бедра и, возможно частично,ограничение сгибания в левом коленном суставе...
    Можно попытаться вмешаться на мышечном компоненте (тенотомия)... начиная с бедра...
    В любом случае при согласии анестезиологов на проведение наркоза...

    В этой ситуации лучше отложить, чем поторопитья...
    Ребенок тяжелый... Не дай Бог какие-либо осложнения на операционном столе... И весь негативизм родителей от тяжелой жизненной ситуации
    спроецируется на хирургов... де не отговорили... взялись... а ведь не надо было...

    Best regards,
    Aleksey V. Mozgounov, M.D., Ph.D.,
    Department of Pediatric and Adolescents
    Traumatology and Orthopaedics,
    Research Centre of Tatarstan
    "Rehabilitation Traumatology and Orthopaedics",
    3, Gorky str., Kazan 420015, Russia
    [ Ответить ]


    ( Ответить )

    Powered by Zope  Squishdot Powered MedLink
    Посетитель: 0057070
      "По форме правильно, а по существу - издевательство" В.И.Ленин
    ©2001-2019Orthoforum Coordinator.
    [ Главная | Отправить сообщение | Поиск | Админ ]