Ответить
|
Re: acetabular fracture
Рунков А..В. 18 Сентябрь 2006, 15:48
|
Привет, Евгкний. Я бы сначала прооперировал на спине лонные кости пластинами (2 т.к. женский пол), чтобы не болтались, а затем на боку вертлугу, кохером или Y образным при необходимости.
Могу выслать картинку.
|
[
Ответить ]
|
Re: acetabular fracture
Отправитель: Evgueny Tchekashkine 18 Сентябрь 2006, 23:01
|
Уважаемый Д-р Рунков( к сожалению, не знаю имени отчества),
Спасибо за отклик. Я вчера прооперировал больную.
Александр ранее представлял дискуссию по теме Chip Routta и недавно вернулся с конгресса в Дурбане , где перломы вертлуги обсуждались тоже.
Все свои предыдущие реконструкции двух колонных переломов я делал из илеофеморального доступа в положении на боку и как было замечено на
конференции и Чипом, происходила тяжелая борьба с гравитацией:-)). Все единодушно ратовали за Кохер -Лангенбек в положении на животе. Чип
представил очень подробные комментарии и фото как он это делает из заднего доступа на животе и я решил попробовать тоже. Конечно, на картинках Чипа все выглядит очень красиво, стол РГ негативный, ничто не мешает получить нормальный вид, К сожалению, у нас такого стола нет , поэтому пришлось подвигать больную, приладить подставки, чтобы можно было разглядеть нечто
подобное.:-))
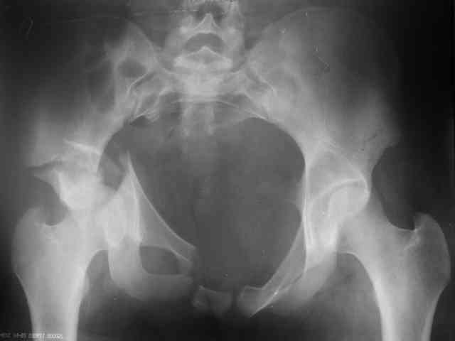
Трудности возникли сразу после рассечения большой ягодичной мыцы - короткие наружные ротаторы едва ли определялись - головка и шейка (как видно на
снимке) ушли в таз, пришлось воспользоваться дистрактором( ручные попытки выдернуть голову из под проксимального фрагмента - безуспешны) Шарнирный дистрактор - великое изобретение, без него репозиция была просто невозможна.
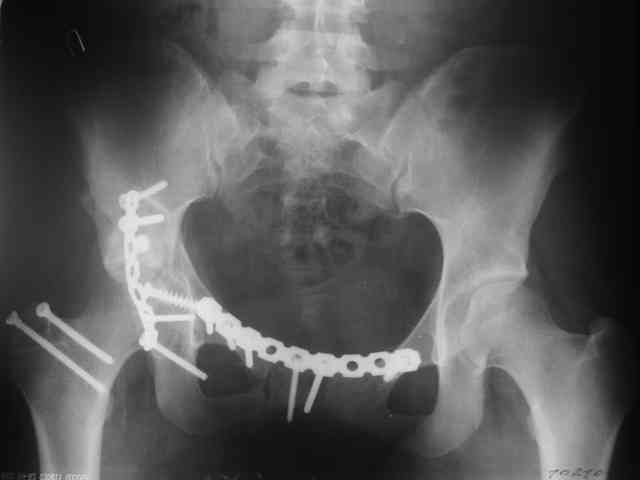
Дальше как обычно: рекон пластнина на заднюю колонну. Устранить смещение передней колонны из заднего доступа оказалось невозможным, пришлось
перевернуть больную на спину и из подвздошного доступа вернуть переднюю колонну на место. Другая проблема возникла с фиксацией лонной кости,
пришлось открывать ся над лобком и ретроградно двумя винтами фиксировать обе ветви лобковой кости справа и слева.
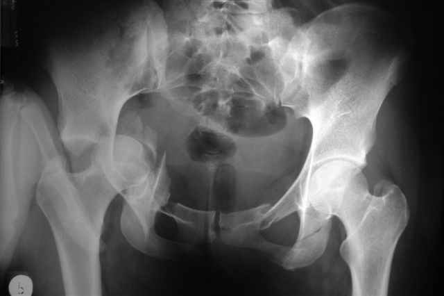
Пока всё ОК снимки сделали сегодня, но пока не сфотографировал В целом суставная поверхность конгруэнтна , по колоннам тоже вроде все ОК.
Интраопер под ЭОПом контролировал направление лонного винта - была абсолютная уверенность в правидльности направл, на постоп. снимке винт вылез :-((.
>Могу выслать картинку.
Посмотрим, высылай
Евгений
|
[
Ответить ]
|
Re: acetabular fracture
Отправитель: Алексей В. Рунков 19 Сентябрь 2006, 15:21
|
> Уважаемый Д-р Рунков( к сожалению, не знаю имени отчества),
Алексей Владимирович, можно просто Алексей.
> Спасибо за отклик. Я вчера прооперировал больную.
> Александр ранее представлял дискуссию по теме Chip Routta и недавно вернулся
> с конгресса в Дурбане , где перломы вертлуги обсуждались тоже.
> Все свои предыдущие реконструкции двух колонных переломов
дискуссия была по доступам к поперчным переломам
> я делал из
> илеофеморального доступа в положении на боку и как было замечено на
> конференции и Чипом, происходила тяжелая борьба с гравитацией:-)).
> Все единодушно ратовали за Кохер -Лангенбек в положении на животе.
К сожалению, далеко не все виды поперечно-ориентированных переломов хорошо лечить задним доступом (неважно на боку или на животе или в среднем положении, что я тоже делал в начале пути). Как только появляются необходимость управления передней колонной (Т-образный перелом, высокий двухколонный, импрессия) возникает выбор - или два доступа или один расширенный, чаще расширенный доступ на боку (Y), удобнее и не так страшно, если перелом оказался вдруг... .
> Трудности возникли сразу после рассечения большой ягодичной мыцы - короткие
> наружные ротаторы едва ли определялись - головка и шейка
> ( как видно на
> снимке) ушли в таз, пришлось воспользоваться дистрактором
> ( ручные попытки выдернуть голову из под проксимального фрагмента - безуспешны)
Все потому, что вертел не отсекал. Вообще, операции при поперечных и двухколонных переломах без достаточной мобилизации - противное дело, в
погоне за минимальным доступом и якобы сохранением кровоснабжния "пережулькиваются" все ткани, ассистенты валятся с ног от усталости (обычно двое, но встречал бригады из 4 человек, из котрых двое тупо тянут ногу.)
Я предпочитаю в таких случаях расшириться Y-образно, и тогда этих проблем просто нет, тем более, что в этом случае головка извлекается мягко, не царапается хрящ, и репозиция лонноседалищного фрагмента идет сначала через перелом (банальным крючком) и лишь затем из седалищной вырезки (так спокойнее за седалищный нерв).
После отсечения вертела легко взять ротаторы, если раньше этого не получилось. Предварительный синтез передних отделов таза при плавающих фрагментах - эффективный антигравитационный прием, только сначала надо вправить вывих (например вытяжением).
> Другая проблема возникла с фиксацией лонной кости,
Не понял, в чем собственно проблема? если использоать винты то можно и не открываться, ЭОП же...
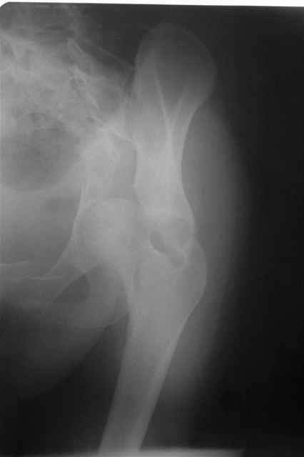
P.S. в приложении R пациентки с похожей проблемой доступа.. за исключением того, что перелом
двухколонный. Вертлугу лечили Y доступом.

С уважением,
Рунков А.В.
|
[
Ответить ]
|
|
Re: acetabular fracture
Михаил Марикин 19 Сентябрь 2006, 08:33
|
У нас есть не большой опыт в лечении подобных больных. Не большой, поскольку к счастью поступают они не часто. Используем подвздошнопаховый доступ хорошо описаный у Мюллера. Манипуляция полностью обработанной ногой на стороне перелома помогает в репозиции и мобилизации сосудов и мышцы вместе с бедренным нервом. Доступ удобный, но требует аккуратности (надо помнить о венах тазового дна). Кроме того до операции делаем 3D реконструкцию. Это позволяет рассмотреть перелом во всей красе и спланировать ход операции.

С уважением Марикин М Магнитогорск.
|
[
Ответить ]
|
( Ответить )
|
|