ВХОД ДЛЯ ПАЦИЕНТОВ
вверх
поиск
админ
главная
исходное
|
Re: Перелом грудины
послал Djoldas Kuldjanov 24 Август 2006, 09:16
|
>Изначально не было упомянуто, что у пациента наблюдаеются какие-либо
>проблемы, связанные с изменением конфигурации/объёма средостения.
>Известны осложнения тупой травмы груди по типу нарушения сердечного
>ритма, гемоперикардиума....
Может, имелись ввиду нарушения, связанные с изменением конфигурации средостения после эстетических операции на грудной клетки при врожденных: килевидных и воронкообразных деформациях, но в данном случае, кроме болевого синдрома, не думаю, что несросшиеся перелом грудины окажет серьёзное влияние на кардио-респираторные функции.
Пару лет назад коллега из грудной хирургии направил больного с хроническими жалобами на боли по поводу ложного сустава грудины.
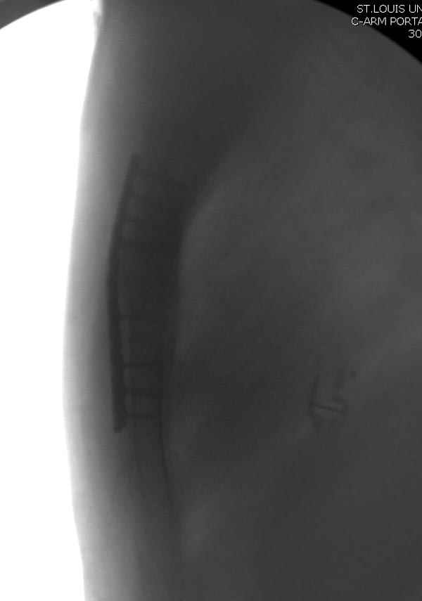
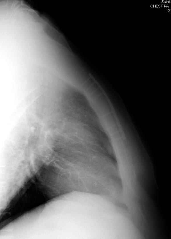
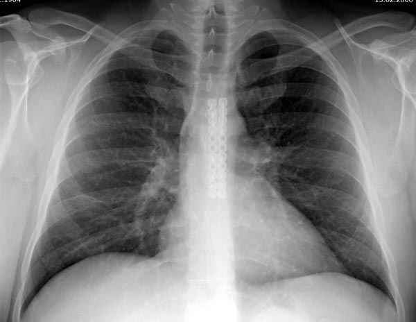
Оперировали вместе с грудным хирургом и в нашем случае главной причиной была болезненность. Во время операции приняли все меры предосторожности недопущения прокола средостения (см. на 4 снимке близкий контур сердца!!)
Ложный сустав зафиксирован двумя пластинами 2.4 мм (locking plate) позаимствованными из челюстно-лицевой хирургии, с костной пластикой, все остальные пластины мне показались слишком толстыми, грубые для грудины или отсутсвовали возможности создания угловой стабильности.

Рентген снимки во время операции и последние сделаны на днях.
Если все таки решили сделать операцию, то можно заглянуть ещё раз в книгу Jeff Mast ”Planning and Reduction Technique in Fracture Surgery”, где детально описаны методы репозизиции плоских костей в главе “Tricks”, хотя уверен, что у каждого хирурга имеются свои “трюки”.
Djoldas Kuldjanov, MD
Department of Orthopedic Surgery
St. Louis University Medical Center
|
| Послать ответ |
Обратите внимание: Поля с жирными названиями обязательны.
Старайтесь отвечать в рамках обсуждаемой темы, а не начинать новые обсуждения.
Указывайте адекватную тему сообщения, чтобы было ясно, о чем оно.
Не послайте сообщений не по теме (оффтопик), раздраженных, грубых или обидных комментариев. Здесь это неуместно.
|