вверх
отправить
поиск
админ
главная
Предыдущее
|
Re: Ужасы нашего городка
Djoldas Kuldjanov, M.D. 04 Август 2006, 00:00
|
Александр, поздравляю от души, отличная работа, вообще-то и у меня тоже были опасения по поводу латеральной стенки. Идеальное показаниt к применению импланта закрытым методом при таких переломах, когда болт замыкается в штифте, конструкции придается угловая жесткость, примерно как в Blade Plate.
При отсутствии таких конструкций, другим альтернативным методом фиксации можно было рекомендовать короткий DHS с двумя шурупами открытым методом, а в диафиз ретроградний штифт.
Кстати, года два назад у этого же импланта в двух случаях (только) у одного того же доктора произошла миграция болта вверх в головке и компания временно остановила применения в практике, потом дизайнеры изменили внутреннее кольцо на пластик, и недавно от FDA получили разрешения к их применению.
В течении последних двух лет на рынке появились множество других трохантерных штифтов, включая TTFN helical screw Synthes, вот недавно Smith Nephew Richards заимел новый имплант, азработанный Roy Sanders.
Мы получили испытательный вариант инструментария для пробы, хотя компания объявила, но ещё не для широкой публики, обещают к сентябрю. За полтора месяца, включая сегодняшнюю, вот уже восьмая операция по счету. Удобный инструментарий, ничего лишнего, научились делать быстро, посмотрим что будет, пока нравится.
Все больные пожилого возраста, первые уже успели появиться на амбулаторном приеме, пока без осложнений.
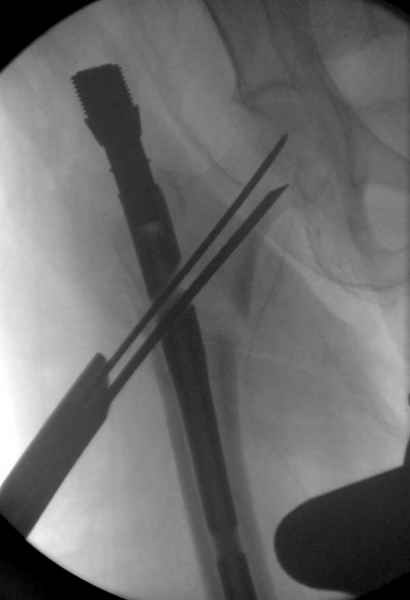
Здесь сканнированные снимки импланта и операционные снимки больной.


На этом снимке процесс компрессии нижним болтом.

Итог

Djoldas Kuldjanov, MD
Department of Orthopedic Surgery
St. Louis University Medical Center
|
|
|
Ответить
|
Re: Ужасы нашего городка
Alexaander Chelnokov 04 Август 2006, 00:52
|
DK> вообще-то и у меня тоже были опасения по поводу латеральной стенки.
А какие опасения? Она расколота и вдоль, и поперек, как раз проблем нет, не мешает ;-)
DK> переломах, когда болт замыкается в штифте, конструкции придается
DK> угловая жесткость, примерно как в Blade Plate.
Точно. Плюс длина диафизарной части больше, чем у blade plate, и плечо рычага короче, чем у накостных фиксаторов.
DK> При отсутствии таких конструкций, другим альтернативным методом
DK> фиксации можно было рекомендовать короткий DHS с двумя шурупами
DK> открытым методом, а в диафиз ретроградний штифт.
Проксимальный фрагмент весь разрушен, и эти два фиксатора нужно было как-то соединять, винты через пластину чтобы прошли через отверстия в стержне. Это было бы и труднее, и устойчивость все-таки меньше, чем у гвоздя проксимального типа.
DK> Кстати, года два назад у этого же импланта в двух случаях (только) у
DK> одного того же доктора произошла миграция болта вверх в головке и
Это точно про Stryker Gamma nail? Это странно, поскольку его выгодным отличием от конкурентов является патентованный антиротационный и антимиграционный дизайн - стопорный винт (set screw) вводится сверху в канал гвоздя и попадает в одну из 4 канавок на шеечном винте.
Переменная глубина этих канавок исключает медиальную миграцию шеечного винта, при неполном затягивании стопорного винта остается только возможность телескопирования по оси. Случаи медиальной миграции, однако, известны, и связаны с тем, что вводили Gamma nail как PFN. В смысле, просто вводили шеечный винт, и все. То есть set screw почему-то не установили. То есть была грубо нарушена методика операции.
DK> изменили внутреннее кольцо на пластик, и недавно от FDA получили
DK> разрешения к их применению.
Про такие изменения в дизайне Gamma nails не слышал. На set screw есть пластиковая шайба, чтобы он не мог развинтиться - может, об этом речь?
DK> недавно Smith Nephew Richards заимел новый имплант, разработанный Roy
DK> Sanders.
Спасибо за очень интересный рассказ о новом фиксаторе. Действительно, занятные изменения. Smith Nephew, как всегда, выпускает что-то особенное. Интересно, когда он до нас доберется. Цена у него, надо думать, будет нездешняя.
Любопытно, однако, будут ли значимые преимущества в проспективной сравнительной серии с Stryker Gamma/Gamma-3 или Synthes TFN/PFN-A и другими подобными фиксаторами по результатам, осложнениям и прочим клинически значимым моментам.
|
[
Ответить ]
|
Re: Ужасы нашего городка
Отправитель: Djoldas Kuldjanov, M.D. 05 Август 2006, 00:31
|
> Это точно про Stryker Gamma nail? Это странно, поскольку его
> выгодным отличием от конкурентов является патентованный
> антиротационный и антимиграционный дизайн - стопорный винт (set
> screw) вводится сверху в канал гвоздя и попадает в одну из 4
> канавок на шеечном винте. Переменная глубина этих канавок исключает
> медиальную миграцию шеечного винта, при неполном затягивании стопорного
> винта остается только возможность телескопирования по оси.
> Случаи медиальной миграции, однако, известны, и связаны с тем, что
> вводили Gamma nail как PFN. В смысле, просто вводили шеечный винт,
> > и все. То есть set screw почему-то не установили. То есть была
> грубо нарушена методика операции.
O-o-p-s! Ты прав, посмотрел свой архив, это был DePuy ATN™ Trochanteric Nail,

у доктора McAndrew два случая миграции.
> Любопытно, однако, будут ли значимые преимущества в проспективной
> сравнительной серии с Stryker Gamma/Gamma-3 или Synthes TFN/PFN-A и
> другими подобными фиксаторами по результатам, осложнениям и прочим
> клинически значимым моментам.
Intertan Nail Roy Sanders уже имеет более 40 случаев, надеюсь, через полгода наберу около 40-50
случаев и те spiral helical Synthes TTFN около 40, будет с чем сравнить.
|
[
Ответить ]
|
Re: Ужасы нашего городка
Отправитель: Alexander Chelnokov 05 Август 2006, 02:48
|
> O-o-p-s! Ты прав, посмотрел свой архив, это был DePuy ATN?
> Trochanteric Nail у доктора McAndrew два случая миграции.
Обнаружил замечательный текст про вертельные переломы - вышло свежее издание Rockwood & Green "Fractures in Adults" (кто бы подарил??), на сайте издательства лежат в качестве примера три главы. В том числе одна как раз про вертельные переломы.
Интересная вещь там написана про PFN, клоном которого, как видно, является и упомянутый фиксатор от DePuy (в России есть аналогичные и собственно Synthes PFN , и ChM, и Aesculap):
==========================
Проксимальный бедренный гвоздь - цефаломедуллярный гвоздь, в котором винт большого диаметра заменен на верхний 6,5 мм и 11 мм нижний. Наблюдались переломы меньшего винта, особенно когда он располагался близко к субхондральной кости головки бедра. В этом положении он испытывает большие варусные нагрузки, которые не принимает на себя больший нижний винт. Этот имплантат больше не применяется в США.
The proximal femoral nail (PFN) (Synthes, Paoli, PA) is a cephalomedullary nail in which the larger-diameter lag screw has been replaced with a 6.5 mm superior and an 11 mm inferior screw (Fig. 45-17). Fracture of the smaller-diameter superior screws has been seen, especially when it is placed near the subchondral bone of the femoral head. In this position, it encounters large varus stresses that are not shared by the larger inferior screw. This device is no longer available in the United States.
==========================
|
[
Ответить ]
|
Re: Ужасы нашего городка
Отправитель: Константин Шевырев 05 Август 2006, 12:51
|
Уважаемые коллеги, Александр Николаевич!!! Очень достойный выход из сложнейшей ситуации. У нас лежит похожий пациент. Хотелось бы обсудить вот какой ворос. Почти все ятрогенные переломы шейки бедра при антеградной штифтовании - вертикальные. Понятно, что при многоуровневых переломых не до жиру. Но все же, как фиксировать вертикальный перелом шейки? Только отрепонировав или вальгировать проксимальный отдел бедра(если есть такая техническая возможность)???
Спасибо за коментарии. Шевырев К.В., МОНИКИ
|
[
Ответить ]
|
Re: Ужасы нашего городка
Отправитель: Alexander Chelnokov 05 Август 2006, 13:41
|
> антеградной штифтовании - вертикальные. Понятно, что при
> многоуровневых переломых не до жиру. Но все же, как фиксировать
> вертикальный перелом шейки? Только отрепонировав или вальгировать
> проксимальный отдел бедра(если есть такая техническая возможность)???
Наверно, главное, чтобы не было варуса. Если получится вальгусная репозиция, и применен фиксатор с возможностью телескопирования шейки -
это оптимум. Если восстановлен только "родной" шеечно-дифизарный угол - приемлемо. Может, с нагрузкой чуть поосторожнее потом.
Основных подходов мы применяем три. 1)Если дистальнее шейки что-то монгооскольчатое, как в этом случае, просто накладываем дистрактор таз-бедро. Про это как-то уже говорили, см.
здесь.
2)Если есть перелом шейки и перелом диафиза, то есть промежуточный отломок с вертелами целый, то проводим спицу спереди назад на уровне малого вертела или чуть выше по медиальной стороне, крепим в бедренной дуге и делаем репозицию шейки, манипулируя дугой - отведение, внутренняя ротация, bla-bla-bla. Тут можно и вальгировать побольше. Шейку диафикируем спицами, вводя их ближе к передней и задней поврехностям, оставляя место для гвоздя и шеечного винта. Далее монтируем налогично опору на уровне дистального метафиза, даем дистракцию, антеградно штифтуем диафизарный перелом. Если фиксатор гамма, проксимальный, или рекон - вводим его шеечные элементы. Если гвоздь диафизарный - вводим спонгиозные винты miss-a-nail.
3)Наболее технически просто сделать в таком случае ретроградное штифтование диафиза и фиксацию шейки винтами. При репозиции шейки и введении спиц не надо резервировать место для гвоздя, и он не мешат потом вводить винты. Можно и вообще, не вспоминая о шейке, ретроградно заштифтовать диафиз, и остается уже изолированный перелом шейки.
|
[
Ответить ]
|
|
( Ответить )
|
|