вверх
отправить
поиск
админ
главная
Предыдущее
|
Re: После остеосинтеза лодыжек
Djoldas Kuldjanov 24 Июнь 2006, 23:41
|
Конечно, компьютерный томограф более информативный метод, но с помощью недорогого обычного стандартного в нейтральном положении стопы: прямого, бокового и косой (ankle mortise) ренгенологического метода можно получить полную информацию о повреждении голеностопного сустава, а сравнительный снимок с другой стороны подтвердить наличие повреждения.
При реконструкции голеностопа, о важности восстановления длины малоберцовой для профилактики пост травматического артроза разбирали в предыдущих дискуссиях. Нарушенную биомеханику голеностопа без восстановления длины малоберцовой, не восстановить только швом медиальной связки.
Расширенная медиальная щель более чем на 4 мм и укорочение малоберцовой более чем 2 мм, а перелом заднего края большеберцовой смещения более 2мм с вовлечением 30% поверхности сустава, считается отходом от нормы голеностопного сустава, и подлежит к оперативному вмещательству.
С мнением «провести позиционный межберцовый винт чуть ниже пластинки в положениий тыльного сгибания стопы» согласен, но я бы нагрузку начал через три недели и удаление шурупа можно провести через 6-8 недель.
Для облегчения удаления сломанных шурупов (случается часто) рекомендую фиксацию двумя 3.5мм кортикальными шурупами на 3 мм длиннее, тот же сломанный шуруп легко удаляется с медиальной стороны.
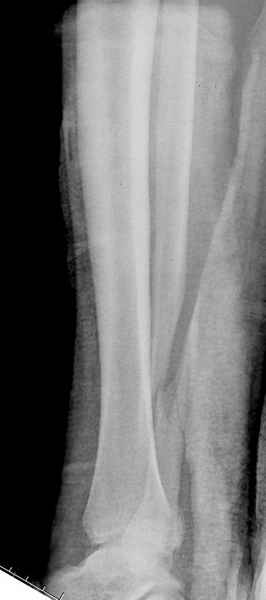
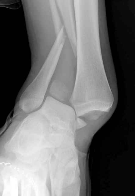
Здесь похожий случай трехнедельной давности, перелом почти сросся и была укорочена малоберцовая, на операции длину малоберцовой смогли восстановить только после того, когда проксимальнее пластины ввели шуруп и использовали его как толкатель, с помощбю дистракционого инструмента (lamina spreader).

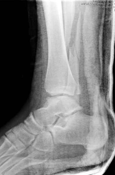
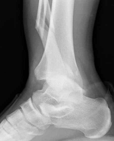
Меньше всего волнует положение медиальной лодыжки - в любое время можно провести остео или реостеосинтез, при несращении можно просто резецировать без ущерба для движений в голеностопе. Здесь обошлись фиксацией одним 4 мм канюлированным шурупом.
Djoldas Kuldjanov, MD
Department of Orthopedic Surgery
St. Louis University Medical Center
|
|
|
Ответить
|
Re: После остеосинтеза лодыжек
Алексей Семенистый 24 Июнь 2006, 23:45
|
> С мнением провести позиционный межберцовый винт чуть ниже пластинки в
> положениий тыльного сгибания стопы согласен, но я бы нагрузку начал
> через три недели и удаление шурупа можно провести через 6-8 недель.
Отсрочченная нагрузка - общепринятый подход. Мы провели наблюдения, разрешая плную нагрузку весом тела без внешней иммобилизапции с 4-7 дня после остеосинтеза лодыжек, и убедились, что реабилитация у этих пациентов прходит быстрее (на 2-3 недели)и комфортнее (костыли не нужны!), чем с отсроченной нагрузкой. 2 случая поторного смещения на более чем 300 операций.
Djoldas Kuldjanov > Для облегчения удаления сломанных шурупов (случается часто)
И как часто?
Djoldas Kuldjanov >рекомендую
> фиксацию двумя 3.5мм кортикальными шурупами на 3 мм длиннее, тот же
> сломанный шуруп легко удаляется с медиальной стороны.
Перелом позиционного винта (одного 3.5 мм введенного через 3 кортикала) наблюдаем в 15% при ранней нагрузке. Винт, введеный через 4 кортикала полностью блокирует ротационные движения м\б кости, и поэтому его перелом более вероятен.
Неудаленная часть винта проблем (жалоб) не вызывает. Межберцовый винт никогда не проводим через синдесмоз. Только выше на 2-3 см, т.е на 4-5 см выше щели г\ст сустава.
Djoldas Kuldjanov > Здесь примерный случай трехнедельной давности, перелом почти сросся и
> была укорочена малоберцовая, на операции длину малоберцовой смогли
> восстановить только после того, когда проксимальнее пластины ввели шуруп
> и использовали его как толкатель, с помощбю дистракционого инструмента
> (lamina spreader).
В застарелых случаях делаем также.
Djoldas Kuldjanov >Меньше всего волнует положение медиальной лодыжки -
> в любое время можно провести остео или реостеосинтез, при несращении
> можно просто резецировать без ущерба для движений в голеностопе.
Согласен на 100%.
С уважением А Семенистый.
|
[
Ответить ]
|
( Ответить )
|
|