AOTRAUMA.ORG Центр Илизарова  

Ортопедия и травматология Общие вопросы/General questions Help Информационные технологии в медицине
 вверх
 отправить
 поиск
 админ
 главная
 Предыдущее


Re: Проксимальный и дистальный переломы tibia
Myles Clough 18 Май 2006, 15:32
From the Xrays it seems as though the proximal fracture is relatively undisplaced. I thought that Poller screws were mostly used to prevent displacement of the fracture while the nail was being inserted. In this case I would think that you could hold the reduction temporarily either with a clamp, crossed K wires or a lag screw. Then insert the nail and place a proximal blocking screw only if you need to. Will the proximal locking screws fix the proximal fragment? Are you going to fix the fibula?

Myles Clough mylesclough@shaw.ca
Consultant Orthopaedic Surgeon (Retired), Kamloops, BC, Canada
Clinical Instructor, University of British Columbia
Editor, OWL (Orthopaedic Web Links) http://www.orthopaedicweblinks.com
Orthogate Workshop Pages http://www.orthogate.com/clough/index.htm
  • Сообщения о Ортопедия и травматология
  • Также Myles Clough
  • Связаться с автором
  • Ответить

    Re: Проксимальный и дистальный переломы tibia
    Alexander Chelnokov 18 Май 2006, 21:00
    MC> From the Xrays it seems as though the proximal fracture is relatively
    MC> undisplaced.

    Yes.

    MC> I thought that Poller screws were mostly used to prevent
    MC> displacement of the fracture while the nail was being inserted.

    The Poller screw here can easily lead to displacement because nail acts as a changing lever during insertion, and its angle to the shaft at initial and final postions are different. So the proximal fragment can be pushed backwards initially, then returned back - but likely with some residual displacement. So most reasonable are measures you mentioned:

    MC> In this case I would think that you could hold the reduction
    MC> temporarily either with a clamp, crossed K wires or a lag screw.

    Or by a small plate with monocrtical screws. My preference is a small wire distractor.

    MC> Then insert the nail and place a proximal blocking screw only if
    MC> you need to.

    If locking screws are inserted usually it is unnecessary.

    MC> Will the proximal locking screws fix the proximal fragment?

    Depends on nail design. I am going to make an additional hole in the proximal nail end.

    MC> Are you going to fix the fibula?

    No. Why?
    [ Ответить ]

    • Re: Проксимальный и дистальный переломы tibia
      Отправитель: Myles Clough 19 Май 2006, 16:58
      The subject of valgus malalignment of the distal fragment in distal tibial fractures is one which I was asked to look into for the SIGN bibliography. There are a number of studies suggesting that malalignment is less common if the fibula is fixed. The following is taken from the SIGN bibliography section on PubMed searches on the subject.

      a.. Search String - "Tibial Fractures"[MeSH]AND "Fracture Fixation, Internal"[MeSH] AND "Fibula"[MeSH]
      a.. Kumar A, Charlebois SJ, Cain EL, Smith RA, Daniels AU, Crates JM. Effect of fibular plate fixation on rotational stability of simulated distal tibial fractures treated with intramedullary nailing. J Bone Joint Surg Am. 2003 Apr;85-A(4):604-8.Full Text Related Articles, Commentary by James Kellam
      b.. Steinberg E. Effect of fibular plate fixation on rotational stability of simulated distal tibial fractures treated with intramedullary nailing. J Bone Joint Surg Am. 2004 Jan;86-A(1):185; author reply 185-6. No abstract available. Related
      Articles, c..

      Weber TG, Harrington RM, Henley MB, Tencer AF. The role of fibular fixation in combined fractures
      of the tibia and fibula: a biomechanical investigation.
      J Orthop Trauma. 1997 Apr;11(3):206-11. Related Articles, a.. Search String effect fixation fracture fibula
      a.. Whorton AM, Henley MB.The role of fixation of the fibula in open fractures of the tibial shaft with fractures of the ipsilateral fibula: indications and outcomes.
      Orthopedics. 1998 Oct;21(10):1101-5. Related Articles,
      b.. Morrison KM, Ebraheim NA, Southworth SR, Sabin JJ, Jackson WT. Plating of the fibula. Its
      potential value as an adjunct to external fixation of the tibia.
      Clin Orthop Relat Res. 1991 May;(266):209-13.

      [ Ответить ]
      • Re: Проксимальный и дистальный переломы tibia
        Отправитель: Alexander Chelnokov 21 Май 2006, 22:27
        Fixation of the fibula can help to prevent valgus it other options are not used. If alignment is reached by distractor and maintained by locking screws it is not necessary to touch the fibula unless its displacement affects the ankle joint involving the lateral border of the mortise.
        Maybe the problem is of special interest for SIGN nail users because both distal holes of the nail are oval not round so may cause lack of stability in frontal plane in very low fractures. As a solution one may insert two locking screws into one hole.

        [ Ответить ]
      • Re: Проксимальный и дистальный переломы tibia
        Отправитель: Christian Veillette 21 Май 2006, 22:28
        Here are two more recent articles about fibular fixation in distal tibia
        fractures.

        *1: * Egol KA, Weisz R, Hiebert R, Tejwani NC, Koval KJ, Sanders
        RW.
        Related
        Articles,
        Links [image:
        Abstract]
        Does
        fibular plating improve alignment after intramedullary nailing of distal
        metaphyseal tibia fractures?
        J Orthop Trauma. 2006 Feb;20(2):94-103.
        PMID: 16462561 [PubMed - in process]
        *2: * Egol KA, Amirtharajah M, Tejwani NC, Capla EL, Koval
        KJ.
        Related
        Articles,
        Links [image:
        Abstract]
        Ankle
        stress test for predicting the need for surgical fixation of isolated
        fibular fractures.
        J Bone Joint Surg Am. 2004 Nov;86-A(11):2393-8. Erratum in: J Bone Joint
        Surg Am. 2005 Apr;87(4):857. J Bone Joint Surg Am. 2005 Jan;87-A(1):161.
        Amirtharage, Mohana [corrected to Amirtharajah, Mohana].
        PMID: 15523008 [PubMed - indexed for MEDLINE]

        Regards

        Christian

        [ Ответить ]
        • Re: Проксимальный и дистальный переломы tibia
          Отправитель: Alexander Chelnokov 21 Май 2006, 23:15
          I assume the articles analyze mostly traditional nailing techniques, don't they?
          There are some more tricks which allow not to plate the fibula and provide good alignment and stability. A small wire distractor can provide alignment and restore length of both tibia and
          fibula. Angular stability of the tibia is provided by insertion of more than two conventional medial-lateral locking screws. To maintain the position of the fibula perQ insertion of a single position screw often could be enough. I bet the articles didn't analyze the options.




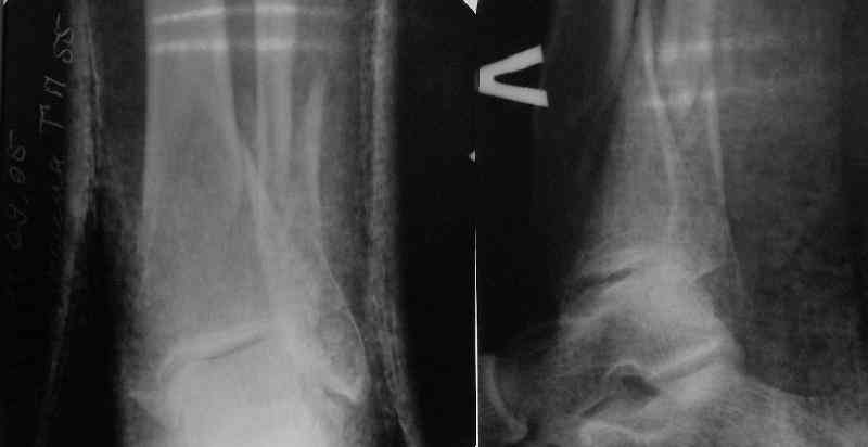
          A typical case is attached, also an image with intra-op reduction obtained by a small wire distractor, in the moment of insertion a Poller wire in AP direction. Fixation by a SIGN nail. Despite the fibula was not fixed healing was obtained with the unchanged alignment.

          [ Ответить ]
          • Re: Проксимальный и дистальный переломы tibia
            Отправитель: T. Derek V. Cooke 21 Май 2006, 23:18
            Alex:
            Very interesting application, but is the final position in a little distal varus with some fibula
            distraction? Would that have been eliminated by fibula plating?
            Derek

            [ Ответить ]
            • Re: Проксимальный и дистальный переломы tibia
              Отправитель: Alexander Chelnokov 21 Май 2006, 23:21
              TDVC> Very interesting application, but is the final position in a
              TDVC> little distal varus with some fibula distraction?

              At least both the ankle mortise and tibial alignment look acceptable, don't they?

              TDVC> Would that have been eliminated by fibula plating?

              I am just trying to illustrate that prevention of 1)tibial valgus and 2)loss of reduction can be provided without fibular plating. Small changes of conventional nailing techniques allow to maintain reduction of the tibia reliably without adjunctive fibular stabilization.
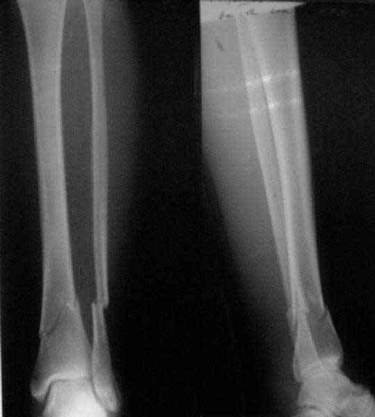
              In delayed cases acute length restoration performed only in the tibia may leave the fibula shortened thus change the mortise. So it is reasonable to restore length of both bones simultaneously by distractor and fix the fibula not with open reduction and plating but just by a single perQ screw. Example attached.




              [ Ответить ]
              • Re: Проксимальный и дистальный переломы tibia
                Отправитель: T. Derek V. Cooke 22 Май 2006, 22:10
                Understand
                Derek

                [ Ответить ]
          • Re: Проксимальный и дистальный переломы tibia
            Отправитель: K.R.Rajesh 21 Май 2006, 23:19
            Alex, this is a fracture which can easily be managed in a cast.Why would you want to nail it?

            Rajesh

            Mr.K.R.Rajesh,MS,DNB,FRCS,FRCS(Orth)
            Consultant Upper Limb Surgeon,
            Division of Upper Limb & Joint Replacement Surgery.
            Cosmopolitan Hospital,
            Trivandrum,Kerala,
            India

            [ Ответить ]
            • Re: Проксимальный и дистальный переломы tibia
              Отправитель: Alexander Chelnokov 21 Май 2006, 23:23
              Even in case of full recovery with a cast it occurs much later than after nailing. In a cast such a patient hardly ever would have been walking with weight-bearing to 3-4 weeks. In our unit cast is never used for the tibia fractures in adults.
              Also the particular patient had unstable injury of the pelvis and open fracture of the humerus.


              [ Ответить ]
    Re: Проксимальный и дистальный переломы tibia
    Dr Ramesh P Singh 18 Май 2006, 21:03
    We have failed in maintaining the reduction of the proximal fragment even with 2 proximal interlocking screws, the poller screw acts as 3 point fixation as the nail with the 2 proximal screws act as a single unit and the proximal fragment is very dynamic so leave the screw till the end.

    Thanks
    RAMESH
    [ Ответить ]

    • Re: Проксимальный и дистальный переломы tibia
      Отправитель: Alexander Chelnokov 18 Май 2006, 21:04
      DRPS> We have failed in maintaining the reduction of the proximal fragment
      DRPS> even with 2 proximal interlocking screws,


      It depends on the distance from the proximal nail end to the screw holes, and how loose are screws in the holes.

      DRPS> the poller screw acts as 3 point fixation as the nail with the
      DRPS> 2 proximal screws act as a single unit and the proximal fragment


      Yes, this "artificial narrowing" of the medullary canal by blocking screws helps to obtain more tight fit of the nail.

      [ Ответить ]

     

    ( Ответить )

    Powered by Zope  Squishdot Powered MedLink
    Посетитель: 0026895
      "По форме правильно, а по существу - издевательство" В.И.Ленин
    ©2001-2019Orthoforum Coordinator.
    [ Главная | Отправить сообщение | Поиск | Админ ]