вверх
отправить
поиск
админ
главная
Предыдущее
Весь тред
|
Re: Проксимальный и дистальный переломы tibia
Christian Veillette 21 Май 2006, 22:28
|
Here are two more recent articles about fibular fixation in distal tibia
fractures.
*1: * Egol KA, Weisz R, Hiebert R, Tejwani NC, Koval KJ, Sanders
RW.
Related
Articles,
Links [image:
Abstract]
Does
fibular plating improve alignment after intramedullary nailing of distal
metaphyseal tibia fractures?
J Orthop Trauma. 2006 Feb;20(2):94-103.
PMID: 16462561 [PubMed - in process]
*2: * Egol KA, Amirtharajah M, Tejwani NC, Capla EL, Koval
KJ.
Related
Articles,
Links [image:
Abstract]
Ankle
stress test for predicting the need for surgical fixation of isolated
fibular fractures.
J Bone Joint Surg Am. 2004 Nov;86-A(11):2393-8. Erratum in: J Bone Joint
Surg Am. 2005 Apr;87(4):857. J Bone Joint Surg Am. 2005 Jan;87-A(1):161.
Amirtharage, Mohana [corrected to Amirtharajah, Mohana].
PMID: 15523008 [PubMed - indexed for MEDLINE]
Regards
Christian
|
|
|
Ответить
|
Re: Проксимальный и дистальный переломы tibia
Alexander Chelnokov 21 Май 2006, 23:15
|
I assume the articles analyze mostly traditional nailing techniques, don't they?
There are some more tricks which allow not to plate the fibula and provide good alignment and stability. A small wire distractor can provide alignment and restore length of both tibia and
fibula. Angular stability of the tibia is provided by insertion of more than two conventional medial-lateral locking screws. To maintain the position of the fibula perQ insertion of a single position screw often could be enough. I bet the articles didn't analyze the options.
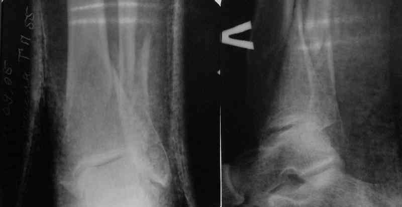
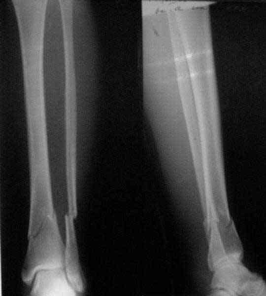
A typical case is attached, also an image with intra-op reduction obtained by a small wire distractor, in the moment of insertion a Poller wire in AP direction. Fixation by a SIGN nail. Despite the fibula was not fixed healing was obtained with the unchanged alignment.
|
[
Ответить ]
|
Re: Проксимальный и дистальный переломы tibia
Отправитель: T. Derek V. Cooke 21 Май 2006, 23:18
|
Alex:
Very interesting application, but is the final position in a little distal varus with some fibula
distraction? Would that have been eliminated by fibula plating?
Derek
|
[
Ответить ]
|
Re: Проксимальный и дистальный переломы tibia
Отправитель: Alexander Chelnokov 21 Май 2006, 23:21
|
TDVC> Very interesting application, but is the final position in a
TDVC> little distal varus with some fibula distraction?
At least both the ankle mortise and tibial alignment look acceptable, don't they?
TDVC> Would that have been eliminated by fibula plating?
I am just trying to illustrate that prevention of 1)tibial valgus and 2)loss of reduction can be provided without fibular plating. Small changes of conventional nailing techniques allow to maintain reduction of the tibia reliably without adjunctive fibular stabilization.
In delayed cases acute length restoration performed only in the tibia may leave the fibula shortened thus change the mortise. So it is reasonable to restore length of both bones simultaneously by distractor and fix the fibula not with open reduction and plating but just by a single perQ screw. Example attached.

|
[
Ответить ]
|
Re: Проксимальный и дистальный переломы tibia
Отправитель: T. Derek V. Cooke 22 Май 2006, 22:10
|
Understand
Derek
|
[
Ответить ]
|
Re: Проксимальный и дистальный переломы tibia
Отправитель: K.R.Rajesh 21 Май 2006, 23:19
|
Alex, this is a fracture which can easily be managed in a cast.Why would you want to nail it?
Rajesh
Mr.K.R.Rajesh,MS,DNB,FRCS,FRCS(Orth)
Consultant Upper Limb Surgeon,
Division of Upper Limb & Joint Replacement Surgery.
Cosmopolitan Hospital,
Trivandrum,Kerala,
India
|
[
Ответить ]
|
Re: Проксимальный и дистальный переломы tibia
Отправитель: Alexander Chelnokov 21 Май 2006, 23:23
|
Even in case of full recovery with a cast it occurs much later than after nailing. In a cast such a patient hardly ever would have been walking with weight-bearing to 3-4 weeks. In our unit cast is never used for the tibia fractures in adults.
Also the particular patient had unstable injury of the pelvis and open fracture of the humerus.
|
[
Ответить ]
|
|
( Ответить )
|
|