AOTRAUMA.ORG Центр Илизарова  

Ортопедия и травматология Общие вопросы/General questions Help Информационные технологии в медицине
 вверх
 отправить
 поиск
 админ
 главная
 Предыдущее


Re: [2/3] Перелом проксимального бедра
Djoldas Kuldjanov 30 Апрель 2006, 00:21


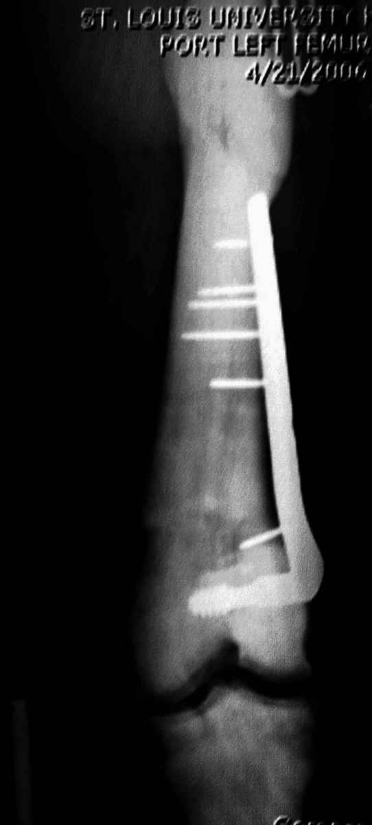
Здесь у меня дополнительные снимки с большим разрешением и в разных режимах, а то те дигитал снимки совсем очень блеклые, может, эти изображени изменят выбор тактики





Djoldas Kuldjanov, MD
Department of Orthopedic Surgery
St. Louis University Medical Center
  • Сообщения о Ортопедия и травматология
  • Также Djoldas Kuldjanov
  • Связаться с автором
  • Ответить

    Re: [2/3] Перелом проксимального бедра
    Алексей Семенистый 01 Май 2006, 00:53
    Любой стандартный штифт для проксимального отдела бедра пройдет. TGN действительно из всех самый короткий, и поэтому предпочтительнее.
    [ Ответить ]

    • Re: [2/3] Перелом проксимального бедра
      Отправитель: Djoldas Kuldjanov, M.D. 01 Май 2006, 19:05
      Не вызывает ли подозрение, что отсутствует медуллярный канал, как просверлить канал?


      [ Ответить ]
      • Re: [2/3] Перелом проксимального бедра
        Отправитель: Алексей Семенистый 01 Май 2006, 23:02
        Djoldas Kuldjanov > Не вызывает ли подозрение, что отсутствует медуллярный канал,

        Канал, возможно, действительно запаян. Но разве большие проблемы его создать и рассверлить (если только это мраморная болезн?) Уверен, в вашей клинике есть для этого всё.

        Djoldas Kuldjanov >как просверлить канал?

        1. Верхушку б\вертела всктыть спицей и рассверлить каннюлированным инструментом (14 мм).
        2. Если в диафизарной части канал запаян, то, используя сам штифт, введенный в проксимальный отломок, как центратор, по нему завести спицу в центр дистального отломка и сформировать канал, сначала тонкий 4 мм.
        3. Гибкими (неканнюлированными) развертками диаметром 6,7 и 8 мм последовательно расширить канал.
        4. Рассверливать каннюлироваными развертками по направляющей спице до нужного диаметра.

        [ Ответить ]
        • Re: [2/3] Перелом проксимального бедра
          Отправитель: Djoldas Kuldjanov, M.D. 02 Май 2006, 18:55
          А как проверить, "если только это мраморная болезнь"? Какие анализы нужны, чтобы подтвердить предполагаемый диагноз?



          [ Ответить ]
          • Re: [2/3] Перелом проксимального бедра
            Отправитель: Алексей Семенистый 04 Май 2006, 08:11
            Диагноз клинико-рентгенологический: характерная рентгенологическая картина, частые патологические переломы... Заболевание наследственное, в наших краях редкое, передается рецессивным геном и прявляется в гомозиготном организме, поэтому важна информация о бабушках, прадедушках, пра-пра....
            Теоретически возможна молекулярно-генетическая диагностика - анализ ДНК

            [ Ответить ]

     

    ( Ответить )

    Powered by Zope  Squishdot Powered MedLink
    Посетитель: 0024829
      "По форме правильно, а по существу - издевательство" В.И.Ленин
    ©2001-2019Orthoforum Coordinator.
    [ Главная | Отправить сообщение | Поиск | Админ ]