вверх
отправить
поиск
админ
главная
|
целесообразность операции |
 |
 |
 |
Отправлено Anton Vladzimirskyy 28 Апрель 2006, 01:34
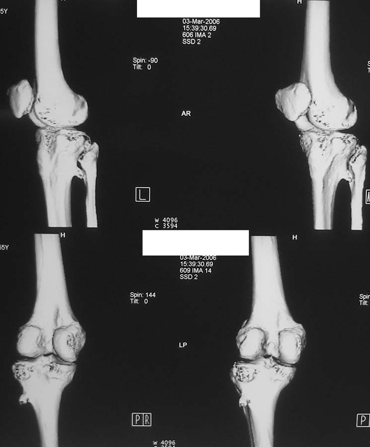
Женщина, 55 лет. С 2002 года - гонартроз. В настоящее время - боли в коленном суставе, стартовые боли, иногда в ночное время (проходит <от перемены положения ноги>).
Принимает НПВС, артрон-комплекс, внутрисуставно гиалган. Ревмопробы отрицательные. На рентгенограмме отметили сужение шейки малоберцовой кости, на спиральной КТ - экзостоз? Ваше мнение о целесообразности операции (велика вероятность повреждения нервов), предварительной биопсии?Спасибо! С уважением, А.В.Владзимирский Донецкий НИИ травматологии и ортопедии Донецк, Украина
<
|
>
|
|
Ответить
|
Re: целесообразность операции
Odessky Jacob M.D. 28 Апрель 2006, 19:16
|
Уважаемый Антон! На мой взгляд прежде всего надо опредилиться что является источником боли - Остеоартроз или Остеохондрома. Я бы в плане обследования начал бы с Скенирования Костей.
В случае, если нет горячего осага в месте Остеохондромы, я бы её вообще не трогал, а лечение направил бы только на Остеоартроз.
Кстати Скенирование может помочь и в выборе тактики леччения Остеоартроза.
С уважением Одесский Я.
|
[
Ответить ]
|
Re: целесообразность операции
Vasily Mamonov 28 Апрель 2006, 19:21
|
Если боли связаны с гонартрозом, то показано тотальное эндопротезирование коленного сустава. Тип эндопротеза - мыщелковый, с сохранением задней крестовидной связки, сейчас таких моделей много (LCS, Balansis, Genesis, Scorpio, КЭКС-01 и другие, всё зависит с какими фирмами Вы работаете). Вопрос об удалении остеохондромы спорный, с одной стороны маловероятно ожидать у женщины 55 лет быстрого перерождения во вторичную хондросаркому при такой рентгенологической картине. Можно спротезировать коленный сустав и проводить рентгенконтроль каждые 6-12 мес. С другой стороны, если спротезировать и оставить остеохондрому, а она начнёт интенсивно рости, то её последующее радикальное удаление может ослабить тибиальный компонент эндопротеза. Проявляя онкологическую настороженность, остеохондрому лучше удалить первым этапом, до эндопротезирования с интервалом между операциями 6 мес. Производить биопсию в данном случае однозначно не целесообразно, так как при перерождении остеохондромы во вторичную хондросаркому на начальных стадиях малигнизации трудно гистологически отличить "добро" от "зла", и в этих ситуациях приоритет отдаётся рентгенологическим признакам. Техника операций при подобной остеохондроме стандартная - краевая резекция. Опасность повреждения малоберцового нерва существует всегда, но она зависит от мастерства хирурга и наличия микрохирургической техники (микроскоп не обязателен :)).
Мамонов Василий, ГНЦ РАМН
|
[
Ответить ]
|
Re: целесообразность операции
Djoldas Kuldjanov 29 Апрель 2006, 00:38
|
Вокруг коленного сустава беcсимптомные экзостозы встречаются очень часто, но они больше с медиальной стороны бедра и большеберцовой кости, и они выявляются при случайных рентгенологических исследованиях. Если нет сиптомов давления на малоберцовой нерв, то нет смысла из трогать, удаляется тогда, когда идет рост, поэтому только
наблюдение.
Насчет протезирования коленного сустава - при таком сохранном суставе навряд ли можно согласиться и совершенно согласен с Яковом, что надо искать источника боли сканированием или магнеторезонансными исследованиями.
Djoldas Kuldjanov, MD
Department of Orthopedic Surgery
St. Louis University Medical Center
|
[
Ответить ]
|
Re: целесообразность операции
Найданов В.Ф. 30 Апрель 2006, 21:26
|
Действительно, надо бы определиться в причине болевого синдрома. Подобные остеомы, как правило, немые. Болевой синдром может быть связан с околосуставнойт патолоией (например, поражение "гусиной лапки") или внутрисуставной. По R - граммам сустав очень даже сохранный (протезировать его явно нет необходимости), а отвергнуть внутрисуставную патологию или сразу ее максимально устранить поможет артроскопическое вмешательство. Повреждения менисков частенько симулируют остеоартроз.
|
[
Ответить ]
|
Re: целесообразность операции
Алексей Семенистый 01 Май 2006, 01:35
|
Суставная щель на вид очень даже приличная. Мне кажется у больной есть варусная деформация колена, и возмможно с этим связано дегенаративное поражение медиального мениска и вся клиническая картина. Если это так, то эндопртезирование это слишком! Может что полегче: артроскопия и медиальная плюс-остеотомия.
Экзостоз скорее всего случайная находка, но динамического наблюдения безусловно требует.
|
[
Ответить ]
|
( Ответить )
|
|