вверх
отправить
поиск
админ
главная
|
Отправлено Alex 20 Апрель 2006, 01:01
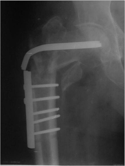
Поступил недавно из области 55-летний пациент с несращением проксимального отдела бедра (травма 4 мес. назад), после несостоятельного остеосинтеза 2 мес. назад - древняя угловая пластина, рядом спонгиозный винт через шейку бедра аж в вертлужную впадину. Внешне все тихо, аккуратный линейный рубец в вертельной области. Анализы спокойные. Во время удаления взял дважды посев (последнее время все удаления на всякий случай сеем) с интервалом минут в 20, с первого же винтика, потом из из ложа пластинки после удаления.Хотели тут же сделать реостеосинтез гамма стержнем, но укрочение и варус одномоментно устранить не удалось, поэтому оставили больного в дистракторе таз-бедро. На следующий день звонят микробиологи - в обоих посевах массивный рост клостридий. Назначили метрогил внутривенно. Через день как раз бумажка про первый посев подоспела - аж perfringens! Плюс еще какие-то стрептококки. Чувствительность есть, оба к амоксиклаву 4+, например. Cунул зонд до кости, взял оттуда посев - вроде ничего поначалу, но день на четвертый выросли опять те же клостридии. Вчера была неделя. Внешне рана спокойна. Температура нормальная. Остеосинтез если не делать - остается неопорная конечность. Так что делать надо. Растянуть аппаратом вроде удалось.Вопросы - как правильно выйти на операцию, и пройти далее? То есть ждать ли N-кратных стерильных посевов перед остеосинтезом? Если ждать, то N равно скольки? После операции - антибиотики? Как долго? Может, расшить зажившую рану после удаления, и положить туда спейсер из цемента с антибиотиками? Еще какие-то соображения-мысли-советы? Вообще, как относиться к высеванию патогенной флоры при отсутствии явной клиники? Отдельный вопрос - как отбиться от скучающих своих и внешних эпидемиологов, которые стойку на слово "клостридия" сделают так активно, что я боюсь даже последствия предполагать. Заранее спасибо.
<
|
>
|
|
Ответить
|
Re: Клостридии без клиники?
Умпутн Miroshnichenko 20 Апрель 2006, 09:06
|
Как думаете, может чего с иммунитетом (анергия какая-то...)?
Если что - прикрыться интерлейкинами...
Но это так, сырая мысля..
С уважением,
Мирошниченко.
|
[
Ответить ]
|
Re: Клостридии без клиники?
Vladimir Yudin 20 Апрель 2006, 09:07
|
Данные посева можно проигнорировать. Подобный случай был у моего больного. Никакой клиники, а материале perfringes. Никаких супердействий я не применял. Больной выписался, без проблем.
|
[
Ответить ]
|
Re: Клостридии без клиники?
Отправитель: Mikhail N. Chekanov 20 Апрель 2006, 09:09
|
> Данные посева можно проигнорировать. Подобный случай был у моего
> больного. Никакой клиники, а материале perfringes. Никаких
> супердействий я не применял. Больной выписался, без проблем.
Не знаю... Отсутствие клиники газовой гангрены еще не есть отсутствие клостридиальной инфекции.
Ссылки по теме:
PMID: 918581
PMID: 805193
PMID: 15684803
--
С уважением,
Михаил Чеканов
Новосибирск
|
[
Ответить ]
|
|
Re: Клостридии без клиники?
Алексей Семенистый 20 Апрель 2006, 11:13
|
Привет Александр!
Был похожий случай (реостеосинтез через 6 месяцев), только получилось одномоментно и о результатах посевов (тоже БЫЛА такая привычка) узнал на следуюший день ( стафилококк и эшерихии ко всему чувствительные)... Три дня цефазолин, и перед операцией конечно... Пронесло!

> Вопросы - как правильно выйти на операцию, и пройти далее? То есть ждать
> ли N-кратных стерильных посевов перед остеосинтезом? Если ждать, то N
> равно скольки? После операции - антибиотики? Как долго?
>Вообще, как относиться к высеванию патогенной флоры при отсутствии явной клиники?
Кто не рискует, тот не пьет шампанское! Возможно мы не всё знаем о микробах и о себе самих, и поэтому не можем обьяснить почему из чистой раны сеется какая-то гадость, а из "сопливой" приходит "роста м\флоры нет"... Все-таки primum клиника. Посмотри ретроспективно, поспрошай - может все-таки будет к чему придраться, в плане хронической инфекции? если нет, рискуй...
Хотя если влипнешь с клостридиями (кстати среди них есть условно патогенные), не отмоешься :(.
> > Отдельный вопрос - как отбиться от скучающих своих и внешних
> эпидемиологов, которые стойку на слово "клостридия" >
Этот вопрос понятно риторический...
Желаю удачи!
А Семенистый.
|
[
Ответить ]
|
Re: Клостридии без клиники?
Отправитель: Alexander Chelnokov 20 Апрель 2006, 21:13
|
АС> Был похожий случай (реостеосинтез через 6 месяцев), только
АС> получилось одномоментно и о результатах посевов (тоже БЫЛА такая
Похожих случаев после пластин у нас штук 60, и когда узнавали про посев не перед, а после всех активных действий, то это вызывает только нервный смех, поскольку все уже сделано, а то и рана успевала зажить.
АС> Кто не рискует, тот не пьет шампанское! Возможно мы не всё
[...]
АС> придраться, в плане хронической инфекции? если нет, рискуй...
Спасибо за моральную поддержку, но в рулетку играть хочется все меньше и меньше. Как-то найти бы надежный алгоритм выигрыша...
АС> Хотя если влипнешь с клостридиями (кстати среди них есть
АС> условно патогенные),
Русским по-белому в бумажке написано уже Cl. perfringens. :((
АС> не отмоешься :(.
:-)) Именно эта дилемма (с одной стороны - "рискуй", с другой - "но если что, не отмоешься") и заставила обратиться с этим вопросом.
>> > Отдельный вопрос - как отбиться от скучающих своих и внешних
>> эпидемиологов, которые стойку на слово "клостридия" >
АС> Этот вопрос понятно риторический...
Да не совсем. может, есть литература об успешных остеосинтезах при бессимптомном носительстве таких или других патогенных микробов?
|
[
Ответить ]
|
Re: Клостридии без клиники?
Отправитель: Алексей Семенистый 20 Апрель 2006, 21:53
|
> Спасибо за моральную поддержку, но в рулетку играть хочется все меньше
> и меньше. Как-то найти бы надежный алгоритм выигрыша...
В первую очередь все обсудить с больным, пусть ОН рискует и принимает решение. Кому больше нужна эта операция Вам или больному?
> Русским по-белому в бумажке написано уже Cl. perfringens. :((
Вообше-то странно , что анаэроб "вырос" в обычном посеве, Ведь для микробиологического обнаружения анаэробов нужны специальные методики и среды. Или вы прицельно брали посев? Может...
А степень обсемененности, вирулентности?
>> > Отдельный вопрос - как отбиться от скучающих своих и внешних
Пусть напишут, что НЕЛЬЗЯ, или, что МОЖНО.
А.Семенистый
|
[
Ответить ]
|
|
Re: Клостридии без клиники?
Alexander Rykov 20 Апрель 2006, 21:49
|
Контаминация раны не равнозначна инфекции. Мы
последние пару лет сеем все подряд, как крестьяне весной в посевную (на всех больших операциях, при вскрытии суставов, при уходе из ран, при удалении
дренажей). Все это при полноценной антибиотикопрофилактике (по нашей науке)
как нам кажется. Так вот в 5-15% посевов сеется разная флора: от условно патогенных сапрофитов до "зверья" типа золотистый стафилококк, стрептококк и протей. При этом никаких нагноений не видим! Кроме того наличие одного типа клостридии в свежей ране - не факт развития анаэробной инфекции. Там по литературе все таки чаще миксты. Как бы поступили мы (по принципу на всякий случай) если в анализах получили анаэроб (это факт в документах). Провели бы а\б терапию, заживили рану и затем делали свое дело. Если бы не знали - то
делали бы согласно плана. Про эпидемиологов - а вы их на консультацию и пусть скажут (нет запишут) как быть. Чиновники много говорят - но о-о-очень
не любят наследить в медицинских документах. И консилиумом их. Себе если что, легче. С ув. А Рыков. Хабаровск.
|
[
Ответить ]
|
Re: Клостридии без клиники?
Антон Андрианов 22 Апрель 2006, 08:34
|
Вообще получить высев анаэробов на обычных средах невозможно,их сеят на среду Кита-Тароцци, которой обычно никогда нет- необходим предварит заказ. Стоит ли после такого результата посева сделать больному поливалентную ПГС? Имел в практике случай гибели больного через год после травмы-закрытого вертельного перелома с исходом в псевдоартроз.После повторной травмы через год поступил в отделение и за 3 суток развился отек, тяжелая интоксикация, санация очага запроздала. Аутопсия-анаэробы, при закрытой травме.
|
[
Ответить ]
|
( Ответить )
|
|