ВХОД ДЛЯ ПАЦИЕНТОВ
вверх
поиск
админ
главная
исходное
|
Re: Повреждение таранной кости
послал Djoldas Kuldjanov 19 Январь 2006, 22:36
|

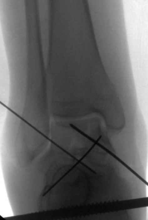
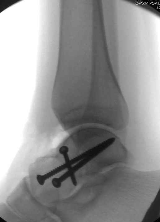
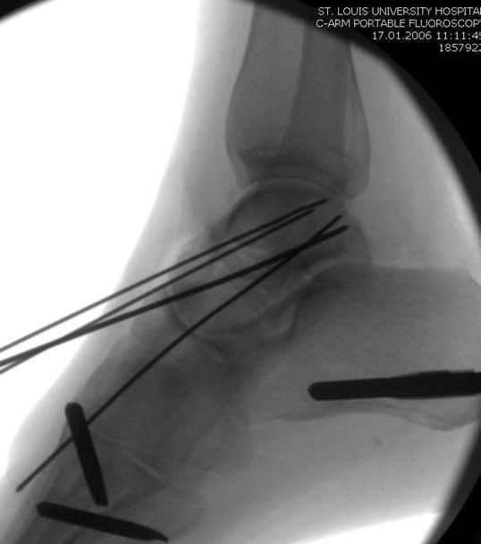
Вдогонку по поводу перелома таранной кости, больная 81, не страдает диабетом, перелом закрытый, в первый же день поступления ограничились временным наружным фиксатором (как на снимке).
Планировалась открытая фиксация после спадения отека, но больная пожелала лечиться по месту жительству в другом штате..
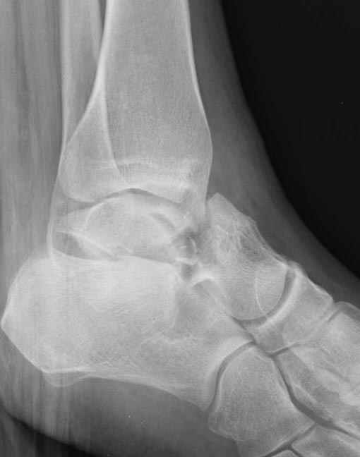
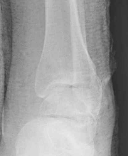
За пару недель насчитал 5 больных с переломом таранной кости, из них двое с двусторонним повреждением.
Из-за отека на стопе тактика лечения у всех была
одинаковая: временная наружная фиксация до спадения отека, при изолированных переломах они выписывались домой и через дней 7 госпитализировались на оперативное лечение.
Примеры на снимке...
Djoldas Kuldjanov, MD
Department of Orthopedic Surgery
St. Louis University Medical Center
|
| Послать ответ |
Обратите внимание: Поля с жирными названиями обязательны.
Старайтесь отвечать в рамках обсуждаемой темы, а не начинать новые обсуждения.
Указывайте адекватную тему сообщения, чтобы было ясно, о чем оно.
Не послайте сообщений не по теме (оффтопик), раздраженных, грубых или обидных комментариев. Здесь это неуместно.
|