Ответить
|
Re: Посстравматическая деформация колена
Evgueny Tchekashkine 12 Ноябрь 2005, 20:42
|
Уважаемый Леонид Наумович,
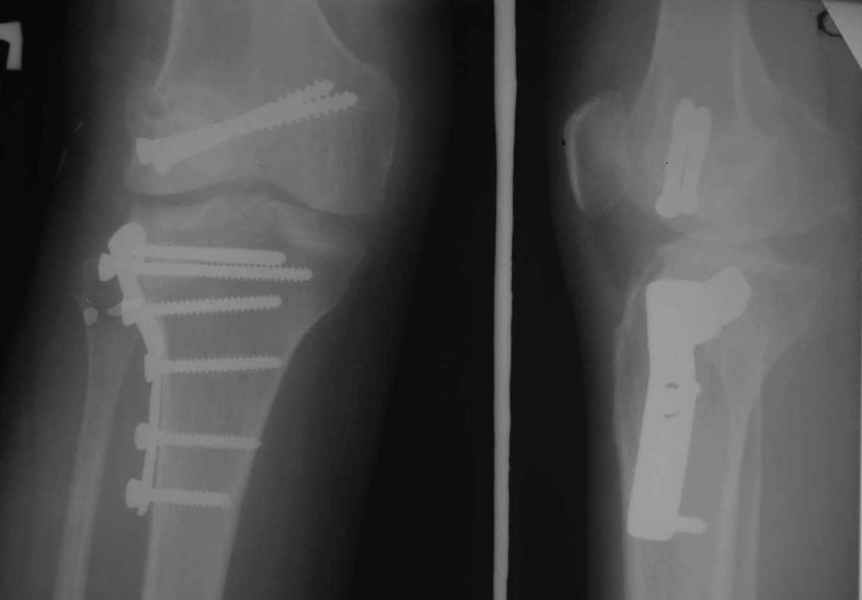
Как вариант решения прогрессирующей вальгусной деформации коленного сустава я бы предложил косую остеотомию дистального отдела бедра с фиксацией пластиной и компрессирующим винтом.
Не думаю , что артропластика или геми протезирование подходящее решение в этой ситауции.
Взгляните на снимки , может быть это вам поможет.



Около 5 лет применяю этот тип дистальной остеотомии бедра для коррекции механической оси Н/К ( более 20 случаев) - достаточно эффективная операция.
Было одно осложнение у молодого пациента - ятрогенное повреждение бедренной артрерии, которое решилось васкулярной пластикой без каких -либо последствий для функции конечности.
Е.И. Чекашкин
|
[
Ответить ]
|
Re: Посстравматическая деформация колена
Отправитель: Leonid Pollyak 12 Ноябрь 2005, 21:02
|
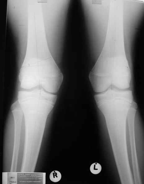
Уважаемый Евгений ! Спасибо за ответ, но мне представляется, что в нашем случае основной проблемой является не столько прогрессирующий вальгус конечности, сколько несросшийся перелом мыщелка бедра и дефект мыщелка большеберцой кости - вероятно первичная репозиция выполнялась без пластики.
Мы обсуждали вопрос первичного протезирования коленного сустава. На мой взгляд, данная больная не лучший кандидат для этого метода - большой дефект мыщелка бедра потребует первично использовать ревизионный протез. Обсуждался и вариант, аналогичный предложению В.Е.Казеннова - постепенное исправление деформации (вероятно с остеотомией голени) - большие сомнения в эффективности из-за наличия дефекта мыщелка б\б кости, расчет только на наличие в суставе массивнй рубцовой интерпонирующей "подушки".
|
[
Ответить ]
|
Re: Посстравматическая деформация колена
Отправитель: Evgueny Tchekashkine 12 Ноябрь 2005, 21:04
|
На своем горьком опыте убедился, что синтезировать мыщелковые импрессионные внутрисуставные переломы б\б кости без костной пластики - дело неблагодарное, рецидивируе деформация, мыщелок всегда *проваливается*. Чистые split type переломы можно ограничиваться и одной только межфрагментарной компрессией.
С *внутрисуставной массивной рубцовой интерпонирующей подушкой* встречаться не приходилось (обязательно перед решением тактики : остеотомия или артропластика выполняется артроскопия сустава и нередко при неправильно сросшихся мыщелковых переломах обнаруживается повреждение мениска соответствующего компартмента, незначительно выраженная фиброзная ткань по линии перелома, иногда только нарушение рельефа суставной поверхности - частично гиалиновый хрящ все-таки регенирирует - хрящевая флоатация)
Может стоит сначала добиться сращения наружного мыщелка бедра( костная пластика) и коррекции оси?
Мне представляется, что прогрессирующий вальгус и обусловлен несросшимся переломом мыщелка бедра (томограммы -зона межфрагментарного склерозирования), а циклические нагрузки на сустав во время ходьбы усугубляют ситуацию. Как вы думаете, в этой ситуации насколько вероятен риск развития аваскулярного некроза мыщелка бедра?
|
[
Ответить ]
|
Re: Посстравматическая деформация колена
Отправитель: Alexander Chelnokov 12 Ноябрь 2005, 21:39
|
DP> мыщелка бедра и дефект мыщелка большеберцой кости - вероятно
DP> первичная репозиция выполнялась без пластики.
Именно.
DP> Мы обсуждали вопрос первичного протезирования коленного сустава.
DP> На мой взгляд, данная больная не лучший кандидат для этого метода
DP> - большой дефект мыщелка бедра потребует первично использовать
DP> ревизионный протез.
А что остаается? Пересадка алломыщелка? Какие-то другие варианты костной пластики? Еще вариант, если операция по каким-то причинам пока откладывается - шарнирный брэйс, разгружающий наружный отдел сустава (т.е. варизирующий). Штука недешевая, но эндопротез дороже.
DP> Обсуждался и вариант, аналогичный предложению В.Е.Казеннова
Не видел этого сообщения - Виталий Евгеньевич, продублируйте, pls.
DP> - постепенное исправление деформации (вероятно с
DP> остеотомией голени) - большие сомнения в эффективности из-за
Это аналогично тому, что предложил Евгений - коррекция оси конечности путем околосуставной остеотомии.
|
[
Ответить ]
|
Re: Посстравматическая деформация колена
Отправитель: Leonid Pollyak 13 Ноябрь 2005, 11:06
|
Относительно "рубцовой подушки" я имел в виду остатки мениска ( частично вколоченного в дефект мыщелка и фрагменты хряща), все таки на рентгенограммах суставная щель в этом отделе чем то заполнена. Что касается некроза мыщелка бедра, то мне кажется он уже наступил - томограмма ноябрь5.
С учетом всего сказанного - наличия прогессирующего вальгуса конечности, довольно приличного объема движений, имеющегося, вероятно, некроза мыщелка бедра, наиболее рациональным представляется удалить пластину с б\б кости, произвести остеотомию б\б кости с коррекцией вальгуса, разгрузив тем самым наружный отдел сустава, и синтезировать фрагменты голени накостным фиксатором. Максимально тано начать восстановление движений в суставе. Скорее всего рано или поздно речь о протезировании всеже возникнет, но мы хотя бы будем иметь приличную ось конечности.
|
[
Ответить ]
|
Re: Посстравматическая деформация колена
Отправитель: Evgueny Tchekashkine 13 Ноябрь 2005, 11:08
|
Леонид Наумович,
С *вколоченным* мениском встречаться не приходилось, нередко при импрессионных переломах наблюдал центральную дислокацию мениска по типу bucket handle, что в этой ситуации может объяснить сгибание сустава до 90 и разгибание 160 градусов, отчасти невозможность полностью разогнуть ногу при Рг графии сустава затрудняет интерпретацию прямой проекции сустава.
Сканирование с Тс99 поможет верифицировать наличие некроза мыщелка бедра, если использовались титановые винты, то магнитно-резонансное исследование будет более информативным. При подтверждении некроза, бедренная или всокая тибиальная остеотомии, очевидно, будут малоуспешны, поэтому альтернатив артропластике похоже не останется. Наблюдений реваскуляризации мыщелка бедра после туннелизации у меня нет, надо покопаться в литературе.
Удачи,
Е,И, Чекашкин
|
[
Ответить ]
|
Re: Посстравматическая деформация колена
Отправитель: Alexander Chelnokov 12 Ноябрь 2005, 21:37
|
Тут ситуация совсем другая. Деформация не около-, а самая что ни на есть внутрисуставная. Покорректировать внешний вид конечности путем остеотомии дистального отдела бедра и high tibia (плюс или минус клин, одномоментно-постепенно, аппарат-пластина-стержень - дело третье) не сильно сложно, но это не решение проблемы. У больной, по
сути отсуствует латеральный отдел коленного сустава, что требует костно-пластических вмешательств непосредственно на артикулирующих
поверхностях.
Может быть, целесообразней сразу протез, чем тот же протез, но после сложных, но сомнительно результативных операций типа замещения алломыщелком, моделирующих резекций и т.п.? Ну и в любом случае движения лучше бы разработать получше до любой операции.
|
[
Ответить ]
|
Re: Посстравматическая деформация колена
Отправитель: Evgueny Tchekashkine 13 Ноябрь 2005, 10:56
|
e> Около 5 лет применяю этот тип дистальной остеотомии бедра для
e> коррекции механической оси Н/К ( более 20 случаев) - достаточно
Тут ситуация совсем другая.
- Конечно, другая: я применял этот тип остеотомии при различных состояниях, приводящих к деформации механической оси сустава, но техника её тандартна,
расчеты индивидуальные.
Деформация не около-, а самая что ни на есть внутрисуставная.
-???? Будь ласков, разъясни...
-Деформация оси сустава может быть варусной или вальгусной, причины - структурные изменения в латеральном -или медиальном отделе сустава (переломы, патология зон роста, дисплазии, дегенеративные процессы) результат лечения внутри- или внесуставного перелома и восстановление оси обуславливается анатомичностью репозиции и адекватностью фиксации. Нередко в запущенных -неправильно срасшихся unicompartmental внутрисуставных переломах восстановление оси и опороспособности достигается периартикулярными
остеотомиями...
Может быть, целесообразней сразу протез, чем тот же протез, но после сложных, но сомнительно результативных операций типа замещения алломыщелком, моделирующих резекций и т.п.? Ну и в любом случае движения лучше бы разработать получше до любой операции.
- *как разбитую чашку не клей - все равно новой она уже не станет*, - поэтому при подтверждении некроза мыщелка бедра в сочетании с деструкцией тибиального плато, артропластика остаётся единственной альтернативой для восстановления функции и опорности ноги.
Е,И. Чекашкин
|
[
Ответить ]
|
Re: Посстравматическая деформация колена
Отправитель: Alexander Chelnokov 13 Ноябрь 2005, 11:02
|
e> Деформация не около-, а самая что ни на есть внутрисуставная.
e> -???? Будь ласков, разъясни...
e> -Деформация оси сустава может быть варусной или вальгусной, причины -
Сравни состояние артикулирующих поверхностей в представленном тобой примере и обсуждаемом случае.
e> - поэтому при подтверждении некроза мыщелка бедра в сочетании с деструкцией
e> тибиального плато, артропластика остаётся единственной
Ото ж.
|
[
Ответить ]
|
|
Re: Посстравматическая деформация колена
Alexander Chelnokov 12 Ноябрь 2005, 20:55
|
А какая сейчас амплитуда движений в коленном суставе?
Вообще, про какие восстановительные операции не думается, все равно в сторону эндопротезирования мысль сворачивает... Тотальное, однокомпартментное ли, это гуру виднее.
|
[
Ответить ]
|
Re: Посстравматическая деформация колена
Отправитель: Leonid Pollyak 12 Ноябрь 2005, 20:57
|
Сгибание до 90гр., разгибание да 160гр.
|
[
Ответить ]
|
|
( Ответить )
|
|