AOTRAUMA.ORG Центр Илизарова  

Ортопедия и травматология Общие вопросы/General questions Help Информационные технологии в медицине
 вверх
 отправить
 поиск
 админ
 главная


Перелом голени
Ортопедия и травматология Отправлено Djoldas Kuldjanov 16 Сентябрь 2005, 23:57
У меня молодой врач на линии, снимки отправил через эл. почту,
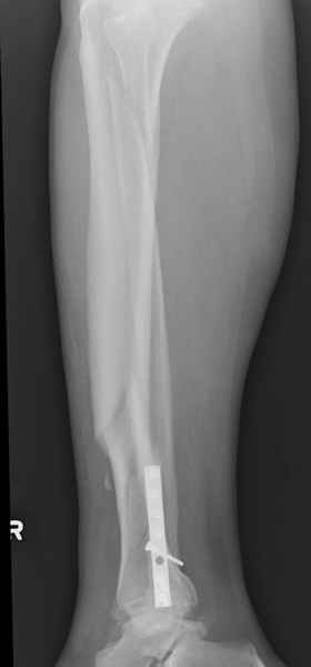
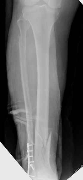
спрашивает что делать с больным который поступил недавно, фермер 55 лет падение при пьяной драке в баре, года два назад перенес операцию на лодыжке, на снимках и КТ перелом без вовлечения сустава,
какие будут рекомендации?Djoldas Kuldjanov, MDDepartment of Orthopedic SurgerySt. Louis University Medical Center

<  |  >

 

  • Сообщения о Ортопедия и травматология
  • Также Djoldas Kuldjanov
  • Связаться с автором
  • Ответить

    Re: Перелом голени
    Alexander Chelnokov 17 Сентябрь 2005, 00:02
    Повреждение такой локализации, на которой применимы и аппарат (классический Илизарова или гибридный), пластина, особенно Locked Plate, и гвоздь с блокированием. В нашей клинике был бы выполнен закрытый интрамедуллярный остеосинтез. Желательно использовать гвоздь с возможностью провести более чем 2 обычных фронтальных винта в дистальном отломке.
    [ Ответить ]

    Re: Перелом голени
    Alexander Chelnokov 17 Сентябрь 2005, 12:24
    А может, этот случай как раз подходит для лечения функциональным методом - Sarmiento brace? Насколько сейчас этот метод в Америке распространен?
    [ Ответить ]

    Re: Перелом голени
    А.В.Владзимирский 17 Сентябрь 2005, 16:28
    Я думаю вполне можно спицевой АВФ (из 3 или 4 колец). Тем более, что с ЭОПом проблем не будет.
    [ Ответить ]

    Re: Перелом голени
    Castro 17 Сентябрь 2005, 19:49
    odnomomentnia zakritjia repozisia pod narkozom, gybsovjia poviazka above knee..
    [ Ответить ]

    Re: Перелом голени
    Alexander Rykov 18 Сентябрь 2005, 15:52
    Закрыто наложил бы аппарат внешней фиксации., к переломам бы не лез.
    А. Рыков. Хабаровск.

    [ Ответить ]

    Re: Перелом голени
    Виталий Евгеньевич Казеннов 18 Сентябрь 2005, 15:54
    Добрый день, Джолдас!

    Выбор тактики зависит от того,
    -- что умеет делать молодой врач,
    -- что за учреждение, в котором он работает,
    -- чем оснащено это учреждение,
    -- кто будет дальше вести пациента,
    -- каково семейное\имущественное состояние пострадавшего,
    -- что за населенный пункт, в котором это происходит,
    -- что значит "поступил недавно",
    -- что уже сделано (как начато лечение),
    -- какие традиции существуют при лечении подобных повреждений в данной местности (community),
    -- к чему привыкли работники страховой компании, которая будет оплачивать лечение (если пациент застрахован).

    Что касается предшествующей травмы, то на это не стоит обращать внимания, IMHO, помятуя однако о возможной нестабильности поясничных сегментов -- чего это он повадился одну и ту же ногу ломать?

    И последнее: если бы это была моя нога, я бы пролечился по Сармиенто -- повязка из скотч-каста от колена до стопы, хорошо отмоделированная, после
    образования фиброзной спайки. Стояние-то вполне приличное, а возможное укорочение до 15 мм - ерунда. Наиболее безопасный, необременительный и экономичный метод. Конечно, нам бы только резать да резать, да железки запихивать/прикручивать, это понятно...

    С пожеланием успехов,

    Виталий Евгеньевич Казеннов,
    доцент кафедры травматологии-ортопедии ДВГМУ, Хабаровск
    [ Ответить ]

    Re: Перелом голени
    Djoldas Kuldjanov 18 Сентябрь 2005, 16:32
    Конечно, в данном случае функциональный консервативный метод был предложен больному, от которого он категорично отказался. Кстати, Др.
    Сармиенто до сих пор работает на кафедре, ведет учебную программу с резидентами, также продолжает популяризовать свой метод, на нашей последней встрече в ААОС высказал желание посетить Россию.
































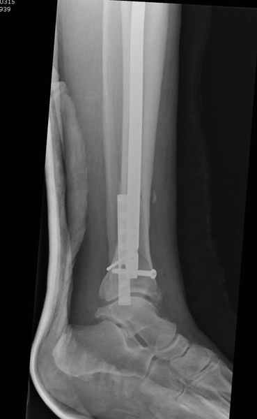
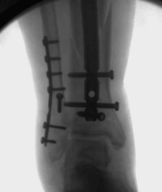
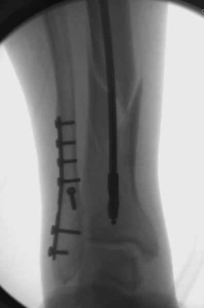
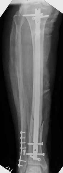
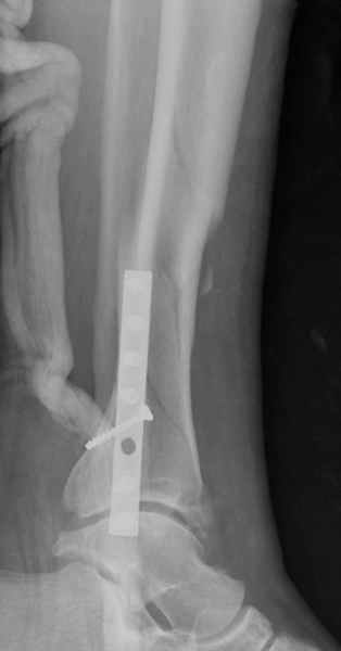
    Здесь мы использовали новый Synthes Nail с дополнительными дырками, в проксимальной части 4: по две косых и поперечные (один стандартный а другой динамический), в дистальной части две поперечные, прямая и косая. Вес больного более 120 кг, нагрузку начнем через месяц.


    Djoldas Kuldjanov, MD
    Department of Orthopedic Surgery
    St. Louis University Medical Center
    [ Ответить ]

    • Re: Перелом голени
      Отправитель: Alexander Chelnokov 18 Сентябрь 2005, 22:58
      DK> предложен больному, от которого он категорично отказался. Кстати, Др.
      DK> Сармиенто до сих пор работает на кафедре ведет учебную программу с

      Какой примерно процент больных с диафизарными переломами костей голени лечится функциональными брэйсами в Ваших краях?

      DK> Здесь мы использовали новый Synthes Nail с дополнительными дырками, в
      DK> проксимальной части 4: по две косых и поперечные (один стандартный а

      Получилось красиво, поздравляю. Вверху можно было ограничиться одним винтом во фронтальное статическое отверстие, зачем два 45-градусных?
      При такий спирали задний край tibia может быть сломан - нет ли этого в данном случае? На всякий случай можно было ввести 1-2 винта 4,5 мм спереди назад мимо гвоздя. Хотя самый дистальный блокирующий винт, возможно, зацепил этот отломок. А какой тут диаметр гвоздя и locking винтов?

      DK> косая. Вес больного более 120 кг, нагрузку начнем через месяц.

      Если там и правда сломан задний край, то лучше с нагрузкой подождать, даже будь больной полегче.

      [ Ответить ]

     

    ( Ответить )

    Powered by Zope  Squishdot Powered MedLink
    Посетитель: 0021031
      "По форме правильно, а по существу - издевательство" В.И.Ленин
    ©2001-2019Orthoforum Coordinator.
    [ Главная | Отправить сообщение | Поиск | Админ ]