AOTRAUMA.ORG Центр Илизарова  

Ортопедия и травматология Общие вопросы/General questions Help Информационные технологии в медицине
 вверх
 отправить
 поиск
 админ
 главная
 Предыдущее


Re: Перелом acetabulum и проксимального отдела бед
Alexey Smirnov 26 Сентябрь 2005, 23:36
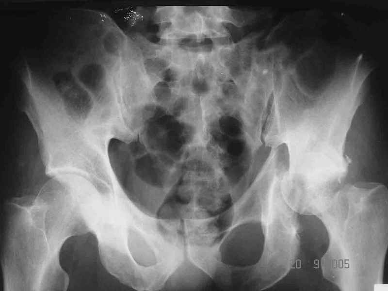
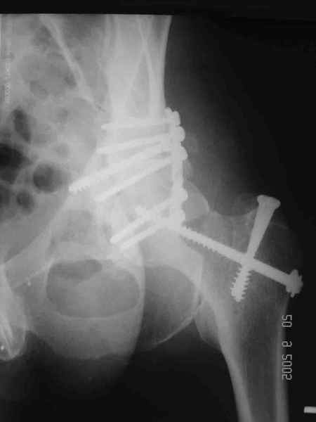
Привет! Вот недавно прооперировали похожий на ваш случай - впадина + шейка (правда у нас впадина поперечный+задний край). После травмы прошло 4 недели. мужчине 46 лет. С такой комбинацией все показания к первичному протезированию. Морально и технически мы к этому уже созрели.Но больной не собрал денег на протез. Выполнили остеосинтез впадины и шейки, прекрасно понимая, что головка вскоре рассосется, мы хотя бы надемся что к этому времени таз срастется, как говорится создали все условия для дальнейшего протезирования (может, и протез в последующем подешевле будет, в смысле, без укрепляющего кольца?). Привет Рункову!
Смирнов Алексей.




























  • Сообщения о Ортопедия и травматология
  • Также Alexey Smirnov
  • Связаться с автором
  • Ответить

    Re: Перелом acetabulum и проксимального отдела бед
    Рунков 27 Сентябрь 2005, 09:57
    Привет Алекей! Сделано неплохо, поздравляю, хотя второй винтик можно было бы и подлиннее в шейку загнать! Пара вопроов: доступ такой же? головка была свободной или висела на капсуле?
    [ Ответить ]

    • Re: Перелом acetabulum и проксимального отдела бед
      Отправитель: Алексей Смирнов 27 Сентябрь 2005, 22:35
      Согласен, можно было и подлиннее. Доступ такой же - чрезвертельный, только разрез кожи прямой (а не Y, чего то я разницы не ощущаю). Головка была абсолютно свободной (то есть во время остеосинтеза таза лежала в стакане и не мешалась). Шансов, что она прирастет 0,00001%. Хотели даже выбросить, но привинтили как временный биологический протез (читай свободный трансплантат), чтоб на период срастания таза бедро проксимально не ушло (может ортопеды потом спасибо скажут). Ну а у вас первичное протезирование при переломе впадины тоже пока полько в планах?

      [ Ответить ]
    Re: Перелом acetabulum и проксимального отдела бед
    Waldemar Kindswater 27 Сентябрь 2005, 17:24
    Хороший результат. Одного не пойму. Почему страховка не оплачивает протеза?

    С уважением

    Вальдемар.
    [ Ответить ]


    ( Ответить )

    Powered by Zope  Squishdot Powered MedLink
    Посетитель: 0020923
      "По форме правильно, а по существу - издевательство" В.И.Ленин
    ©2001-2019Orthoforum Coordinator.
    [ Главная | Отправить сообщение | Поиск | Админ ]