AOTRAUMA.ORG Центр Илизарова  

Ортопедия и травматология Общие вопросы/General questions Help Информационные технологии в медицине
 вверх
 отправить
 поиск
 админ
 главная
 Предыдущее


Re: Перелом acetabulum и проксимального отдела бед
Максим Агалаков 22 Сентябрь 2005, 16:55
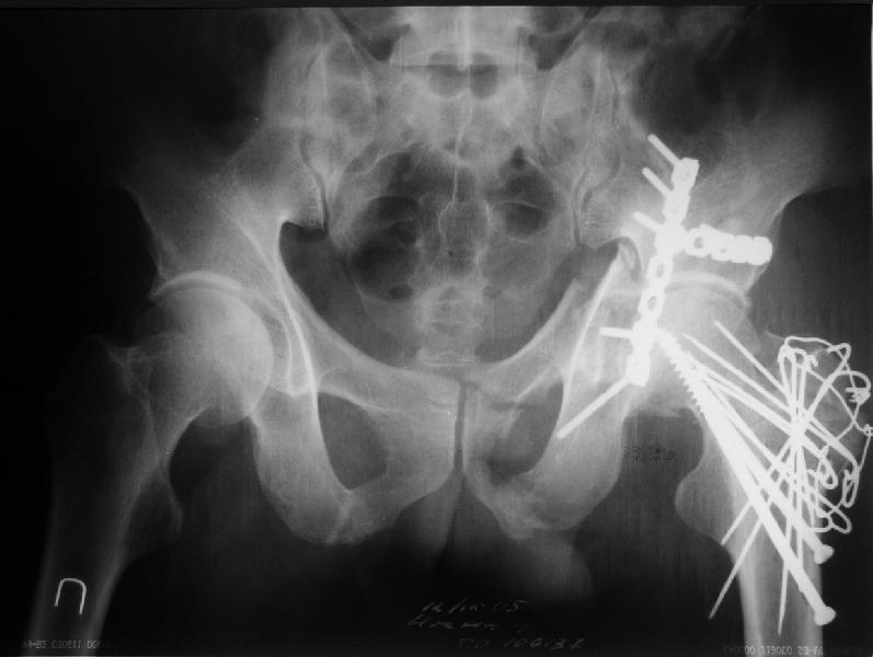
Уважаемые коллеги. Больной был оперирован в одну сессию 25 августа. Сначала на голень наложен спице-стержнвой аппарат. Затем выполнен остеосинтез вертлужной впадины Y-образным доступом. Пришлось дополнительно отсекать вертел. Шейка синтезирована спонгиозными винтами и спицами, вертел - спицами и стягивающей петлей. После операции находился на вытяжении 3 нед. Раны зажили первичным натяжением. Сейчас уже дома. Будет и дальше без нагрузки на левую ногу. Будем наблюдать в динамике. Ждем комментарии.










  • Сообщения о Ортопедия и травматология
  • Также Максим Агалаков
  • Связаться с автором
  • Ответить

    Re: Перелом acetabulum и проксимального отдела бед
    Anton Vakulenko 22 Сентябрь 2005, 20:50
    > дополнительно отсекать вертел. Шейка синтезирована спонгиозными
    > винтами и спицами,

    Мы бы ограничились фиксацией шейки 3 спонгиозными винтами. Это стабильнее пучка спиц...

    > вертел - спицами и стягивающей петлей. После
    > операции находился на вытяжении 3 нед.

    Была ли необходимость в вытяжении? Разве не достаточно простой ортопедической укладки?
    [ Ответить ]

    • Re: Перелом acetabulum и проксимального отдела бед
      Отправитель: Максим Агалаков 22 Сентябрь 2005, 21:41
      > Мы бы ограничились фиксацией шейки 3 спонгиозными винтами. Это стабильнее пучка спиц...

      Обычно мы поступаем так же, однако в этом случае имелся дефект верхней части шейкии, перелом и остеотомия вертельной области, так же с дефектами, спицы - вынужденная мера. Здесь ведь пучок спиц не вместо трех винтов, а в дополнние к двум. Эти-то два пришлось провести чуть ли не с уровня диафиза, проксимальнее было сплошное крошево.

      >Была ли необходимость в вытяжении? Разве не достаточно простой ортопедической укладки?

      Как тут узнать, достаточно или нет? Хотелось сделать максимум возможного, т.е. разгрузить сустав, исключить контактное давление ишемизированных суставных поверхностей даже за счет мышечной тяги. Напомню, и бедренный, и вертлужный компонент сустава были тяжело повреждены, оба подверглись открытой репозиции. То есть это профилактика аваскулярного некроза головки и впадины. Да и вытяжение "дисцплинирует" больного.

      Привет Донецку, с уважением, Агалаков.

      [ Ответить ]
    • Re: Перелом acetabulum и проксимального отдела бед
      Отправитель: Рунков А.В. 23 Сентябрь 2005, 12:14

      Наконец добрался до компьютера, прочитал коментарии, хочу внести дополнения к сообщенному.
      Перелом шейки был многооскольчатйй очень медиальный, по сути шейку и вертел расколотило об подвздошную кость с кучей мелких фрагментов, вертел был полностьб вовлечен в перелом, головка заподлицо скрывалась в расширенной вертлужной впадине. Качество кости приличное. Остатки дуги Адамса с предварительно проведенными винтами я вколотил в головку и компрессировал винтами - оказалось прочно, но образовался дефект верхнего отдела шейки, который был заплнен фрагментами фиксироваными трансфрактурными спицами - отсюда пучек.
      Вертел во время доступа пришлось еще рубить, т.к.
      переломы распространялись чересчур дистально.
      Отсюда еще пучек спиц.
      На счет вытяжения - пациент по русски общался на уровне "твоя моя не понимай" - чистокровный китайца. Словарик не помог. Не в силах объянить правила поведения, я его привязал от греха подальше.



      [ Ответить ]
      • Re: Перелом acetabulum и проксимального отдела бед
        Отправитель: Anton Vakulenko 24 Сентябрь 2005, 09:58
        Тогда все понятно! Иногда сами так делаем :) А вообще меня обычно огорчают попытки некоторых врачей проводить "профилактику" АВН головки бедра "разгрузкой" сустава вытяжением. 21 век все-таки, пора меняться...
        --
        С уважением,
        А. В. Вакуленко
        Донецкий НИИ травматологии и ортопедии, Украина

        [ Ответить ]
        • Re: Перелом acetabulum и проксимального отдела бед
          Отправитель: Alexander Chelnokov 24 Сентябрь 2005, 10:01
          А что не так с разгрузкой сустава вытяжением?

          [ Ответить ]
          • Re: Перелом acetabulum и проксимального отдела бед
            Отправитель: Anton Vakulenko 24 Сентябрь 2005, 10:03
            IMHO, АВН возникает не в результате давления суставных поверхностей друг на друга, а в результате глубоких нарушений кровоснабжения головки бедра при разрыве капсулы сустава (что имеет место при вывихе или в ходе травматичного оперативного доступа). Дополнительная тракция едва ли способствует лучшей циркуляции крови в оставшихся сосудах капсулы (если
            таковые есть) и абсолютно бессмысленна при отсутствии таковых...

            --
            С уважением,
            А. В. Вакуленко
            Донецкий НИИ травматологии и ортопедии, Украина

            [ Ответить ]
            • Re: Перелом acetabulum и проксимального отдела бед
              Отправитель: Vitaly Kazennov 24 Сентябрь 2005, 10:04
              Уважаемые коллеги,

              > АВН возникает не в результате давления суставных поверхностей друг
              > на друга, а в результате глубоких нарушений кровоснабжения головки бедра
              > при разрыве капсулы сустава

              А почему мы говорим только о головке? А реакция поврежденной вертлужной впадины на ранннюю нагрузку? Тракция imho не ради "разгрузки" а ради исключения нагрузки! Чем вы кроме скелетного удержите пациента в койке?

              С уважением,

              В.Е.Казеннов, кафедра травматологии-ортопедии ДВГМУ, Хабаровск

              PS Привет Владзимирскому!

              В.К.

              [ Ответить ]
              • Re: Перелом acetabulum и проксимального отдела бед
                Отправитель: Anton Vakulenko 24 Сентябрь 2005, 18:20
                > А почему мы говорим только о головке? А реакция поврежденной вертлужной
                > впадины на ранннюю нагрузку?

                Асептическому некрозу все-таки намного чаще подвержена головка (именно ввиду ее "несовершенной" васкуляризации). Во впадине по нашим наблюдениям чаще развивается вторичный артроз уже на фоне имеющегося АВН головки.

                > Тракция imho не ради "разгрузки" а ради исключения нагрузки!
                > Чем вы кроме скелетного удержите пациента в койке?

                Если речь идет о non-complient пациентах, то я обеими руками за вытяжение (хотя отдельные уникумы умудряются и со скобами ходить).. Если же речь о разумном больном, то постельного режима вполне достаточно. В любом случае, пациент не лежит пластом в койке. Те же процедуры с судном
                вызывают вполне определенную нагрузку на т/б сустав, но избежать этого imho невозможно. А пассивная разработка движений в т/б суставе во время вытяжения весьма затруднительна....

                >
                > PS Привет Владзимирскому!

                Да он тут и так регулярно бывает, но при встрече передам лично! :)
                --
                С уважением,
                А. В. Вакуленко
                Донецкий НИИ травматологии и ортопедии, Украина

                [ Ответить ]
                • Re: Перелом acetabulum и проксимального отдела бед
                  Отправитель: Vitaly Kazennov 24 Сентябрь 2005, 18:24
                  Уважаемый А.В.Вакуленко!

                  Извините, не знаю Вашего имени-отчества, попытался посмотреть, может где на сайте есть -- с интернетом не коннектится, да ладно.

                  Вы пишете:

                  > Во впадине по нашим наблюдениям
                  > чаще развивается вторичный артроз уже на фоне имеющегося АВН головки.

                  Конечно! Но как быть с теми, у кого и головка-то вроде более или менее сохранна, а сустав стремится к ограничению движений и нагрузки всеми имеющимися у него средствами?

                  > Если речь идет о non-complient пациентах, то я обеими руками за
                  > вытяжение (хотя отдельные уникумы умудряются и со скобами ходить).

                  Это и у нас бывает... Отдельные уникумы в кокситной повязке умудряются камасутру практиковать...

                  Если
                  > же речь о разумном больном, то постельного режима вполне достаточно.

                  Извините, но что такое "разумный больной"? Если у него нет СИЛЬНЫХ болей -- он что, будет пользоваться уткой и судном? А если к нему подруга или жена придет -- он будет изображать умирающего лебедя и не проводит ее?


                  > любом случае, пациент не лежит пластом в койке. Те же процедуры с судном
                  > вызывают вполне определенную нагрузку на т/б сустав, но избежать этого
                  > imho невозможно.

                  Это физиологические нагрузки на разгруженный горизонтальным положением сустав. Это не вертикальные нагрузки при ходьбе и стоянии.

                  >А пассивная разработка движений в т/б суставе во время
                  > вытяжения весьма затруднительна....

                  А зачем она нужна, эта "разработка", и что это вообще такое? Это типа "Закаляйся, как сталь!"? Аэробикой, что ли, ему после травмы потребуется развлекаться, ногу за ухо закладывать? Опорная безболезненная нога, да чтобы хотя бы ночами не болела -- вполне приемлемый исход повреждений тазобедренного сустава, imho. Или "шпагат" показывать они должны? На бревне...

                  > Да он тут и так регулярно бывает, но при встрече передам лично! :)

                  Спасибо!

                  Кстати, две недели назад исполнилось -- страшно подумать! -- 30 (тридцать) лет, как в Донецком мединституте проводили Всесоюзную конференцию научных студенческих работ, на которой мне посчастливилось побывать. Посетил тогда и ДонНИИТО, он у вас такой полукруглый, кажется.

                  С наилучшими пожеланиями,
                  Казеннов

                  [ Ответить ]
                  • Re: Перелом acetabulum и проксимального отдела бед
                    Отправитель: Anton Vakulenko 25 Сентябрь 2005, 21:18
                    > Извините, не знаю Вашего имени-отчества,

                    Антон Валерьевич

                    > А пассивная разработка движений в т/б суставе во время
                    > вытяжения весьма затруднительна....
                    >
                    > А зачем она нужна, эта "разработка", и что это вообще такое? Это типа
                    > "Закаляйся, как сталь!"? Аэробикой, что ли, ему после травмы потребуется
                    > развлекаться, ногу за ухо закладывать? Опорная безболезненная нога, да чтобы
                    > хотя бы ночами не болела -- вполне приемлемый исход повреждений
                    > тазобедренного сустава, imho. Или "шпагат" показывать они должны? На
                    > бревне...

                    Имеется ввиду простое выполнение принципа при повреждениях суставов "раняя функция - поздняя нагрузка". В странах развитого капитализма для
                    этих целей успешно применяются всякие там constant passive motion machine. У нас для этих целей успешно применяются лечащие врачи :)

                    > Кстати, две недели назад исполнилось -- страшно подумать! -- 30 (тридцать)
                    > лет, как в Донецком мединституте проводили Всесоюзную конференцию научных
                    > студенческих работ, на которой мне посчастливилось побывать. Посетил тогда и
                    > ДонНИИТО, он у вас такой полукруглый, кажется.

                    Именно так! Снаружи довольно красиво выглядит, внутри - увы... :(
                    Картинка здесь: http://avv.boom.ru/dniito.htm

                    [ Ответить ]
                • Re: Перелом acetabulum и проксимального отдела бед
                  Отправитель: Alexander Chelnokov 24 Сентябрь 2005, 19:00
                  Приветствую, Антон,

                  Saturday, September 24, 2005, 4:22:35 PM, you wrote:

                  АВВ> Асептическому некрозу все-таки намного чаще подвержена головка (именно в

                  При сочетании тяжелого перелома вертлужной впадины и шейки бедра, после открытого остеосинтеза и того, и другого, впадина в немногим лучшей ситуации...

                  АВВ> же речь о разумном больном, то постельного режима вполне достаточно. В
                  АВВ> любом случае, пациент не лежит пластом в койке. Те же процедуры с судном

                  Хочется принять любые меры, которые хотя бы потенциально полезны, на уровне здравого смысла. При прочих равных снижение давления суставных поверхностей друг на друга должно способствовать их выживанию. Даже не говоря о меньшей вероятности нарушения постельного режима, когда есть скоба со спицей.

                  [ Ответить ]
                  • Re: Перелом acetabulum и проксимального отдела бед
                    Отправитель: Anton Vakulenko 25 Сентябрь 2005, 21:16
                    > после открытого открытого остеосинтеза и того, и другого, впадина в
                    > немногим лучшей ситуации...

                    Согласен.

                    > Хочется принять любые меры, которые хотя бы потенциально полезны, на
                    > уровне здравого смысла.

                    Вот тут мы вступаем на скользкую тропинку, уводящую нас вдаль от EBM ;)
                    Кто определит, что потенциально полезно, что бесполезно, а что вредно?
                    Только слепые рандомизированные и т.д. исследования. Таких по данному вопросу я не нашел (правда, возможно плохо искал)...

                    > При прочих равных снижение давления суставных
                    > поверхностей друг на друга должно способствовать их выживанию.

                    См. выше

                    > Даже не говоря о меньшей вероятности нарушения постельного режима, когда
                    > есть скоба со спицей.

                    Еще раз повторю, что я говорю о вменяемом пациенте (т.е. таком, для которого достаточно устных указаний врача о соблюдении ортопедического
                    режима)..

                    --
                    С уважением,
                    А. В. Вакуленко
                    Донецкий НИИ травматологии и ортопедии, Украина

                    [ Ответить ]
                    • Re: Перелом acetabulum и проксимального отдела бед
                      Отправитель: Alexander Chelnokov 25 Сентябрь 2005, 21:44
                      АВВ> Вот тут мы вступаем на скользкую тропинку, уводящую нас вдаль от EBM ;)
                      АВВ> Кто определит, что потенциально полезно, что бесполезно, а что вредно?

                      В отсутствие доказательных данных приходится руководствоваться упомянутым здравым смыслом. Скажем, вполне традиционно сохранение небольшого растягивающего усилия на уровне сустава при использовании шарнирных аппаратов. Пролежни заживают более благоприятно при подвешивании больного за аппарат на тазу... И тэдэ и тэпэ.

                      АВВ> Только слепые рандомизированные и т.д. исследования. Таких по данному

                      Вряд ли мы по этому вопросу мы скоро дождемся randomized controlled trials, не говоря уже о мета-анализах. Тут и этические трудности - все ли доступные меры были приняты, пусть даже их польза не доказана на уровне RCT? Вред вытяжение в такой ситуации самоочевидно не приносит, максимум это может оказаться "балластный" метод. Ну и чисто методологические проблемы - набор сопоставимых больных (шейка+вертел+впадина - вообще можно до пенсии не встретить), плацебо-вытяжение...

                      [ Ответить ]
                      • Re: Перелом acetabulum и проксимального отдела бед
                        Отправитель: Anton Vakulenko 27 Сентябрь 2005, 17:34
                        В отношении вреда на ум приходят контрактура коленного сустава и воспаление мягких тканей в области спицы (последнее, конечно же, во многом зависит от качества ухода за спицей).

                        PS. однако, какой большое обсуждение вызвала эта, в общем-то, банальная тема! :) Наглядный пример пользы формума!..

                        --
                        С уважением,
                        А. В. Вакуленко
                        Донецкий НИИ травматологии и ортопедии, Украина

                        [ Ответить ]

     

    ( Ответить )

    Powered by Zope  Squishdot Powered MedLink
    Посетитель: 0021023
      "По форме правильно, а по существу - издевательство" В.И.Ленин
    ©2001-2019Orthoforum Coordinator.
    [ Главная | Отправить сообщение | Поиск | Админ ]