AOTRAUMA.ORG Центр Илизарова  

Ортопедия и травматология Общие вопросы/General questions Help Информационные технологии в медицине
 вверх
 отправить
 поиск
 админ
 главная
 Предыдущее


Re: Как классифицировать?..
Djoldas Kuldjanov 15 Июль 2005, 23:22
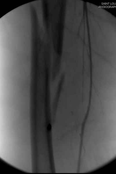
Второй случай тоже репозиция из малого доступа, больному 19 лет, множественные огнестрельные повреждениия конечностей, живота и черепа, правая конечность холодная, без пульсации. Ортопедический диагноз: огнестрельный перелом правого бедра. При срочной ангиографии повреждения сосудов не подтвердилось, конечность из-за ургентности состояния больного зафиксирована временным наружным фиксатором и больной оставлен на операционном столе для срочной лапаротомии хирургической службой.

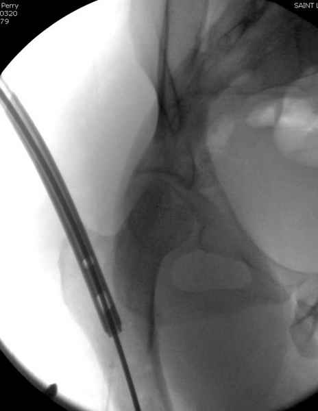
Больной долго оставался нестабильным, только на 14 день удалось заменить на антеградный интромедуллярный штифт TFN (trochanteric femoral nail) SmithNephew. После неудачной попытки закрытой репозиции, несмотря на использование "joystick", проксимальный стержень от
наружного фиксатора, (перелом начал срастаться) репозицию провели из малого доступа, затем остальные этапы операции.


































































Случай был представлен из-за того, что больного оперировали после наружной фиксации и был риск инфекцирования через места проведения стержней (на снимках), прошло больше 3 месяцев, выписан из амбулаторной службы из-за отсутсвия надобности дальнейшего наблюдения.
Джолдас Кульджанов


Djoldas Kuldjanov, MD
Department of Orthopedic Surgery
St. Louis University Medical Center


  • Сообщения о Ортопедия и травматология
  • Также Djoldas Kuldjanov
  • Связаться с автором
  • Ответить

    Re: Как классифицировать?..
    Alexander Chelnokov 15 Июль 2005, 23:35
    Мы полых стальных гвоздей в таких случаях опасаемся, делаем титановые сплошные.
    [ Ответить ]


    ( Ответить )

    Powered by Zope  Squishdot Powered MedLink
    Посетитель: 0012780
      "По форме правильно, а по существу - издевательство" В.И.Ленин
    ©2001-2019Orthoforum Coordinator.
    [ Главная | Отправить сообщение | Поиск | Админ ]