вверх
отправить
поиск
админ
главная
|
Отправлено Aleksey V. Mozgounov 03 Май 2005, 09:18
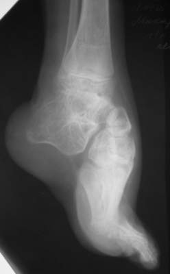
Уважаемые коллеги,Ребенок, мальчик, 11 лет...Врожденная косолапость,до 4 лет лечился консервативно, в 4 года оперирован у нас - операция по типу Зацепина, далее аппаратИлизарова...Предоперционная картина - как на рис "case 1 a" (фото другогобольного)...При операции использовался аппарат с "моноблоком" стопы -см. "case 1 b" (фото другого больного) -в связи с чем интраоперационно провели достаточно выраженную одномоментнуюкоррекциюпосле чего возник некроз в областиоперационных ран в результате чего "вывалился" "кусок" по внутреннейповерхностих...аппарат сняли... больного перевели в отделениемикрохирургии... с другой голени делали пересадку... прижилось...больного выписали...все это было 7 лет назад...3 года назад больной лечился в Астрахани...Никаких выписок нет (не видел...)(хэллоу, астраханцы!!! если есть - отзовитесь...),но со слов мальчика и его матери ему делали удлинение на уровневерхней трети голени плюс исправляли стопу... опять-таки со слов -сразу же после коррекции стопу загипсовали на 6 нед, после чегопрописали ночные тутора плюс ортообувь... т.е. после коррекции стопу ваппарате не выдерживали и гипсовали всего 1,5 мес.... через 6 месстопа "ушла" в исходное положение...с которой он пришел к нам сейчас... (case 2-9)В настоящее время у мальчика эквино (!!!)-варус... в подтаранномсуставе полный анкилоз... (см. Ro)Были предложения исправить деформацию аппаратно с остеотомией черезладью...Передумали:-)...Лично у меня возникают также вопросы на счет плюсне-клиновидныхсусутавов... и так я их Ro-фировал, и эдак (снимки не представлены), авсе равно не могу избавиться от впечталения, что и в них имеется некоефиброзно-костное анкилозирование...А на КТ у больных денег нету...Короче...Наложили аппарат...Попытаемся растянуть стопу + "подкоррегировать" варус иубрать эквинус...А после этого определиться с уровнем остеотомии (это официальноемнение...)Я же хочу сделать все тоже, за исключением остеотомии (при условии чтонет того самого анкилозирования на уровне плюсне-клиновидныхсусутавов...)Убрать варус и эквинус на фоне удлинения...коррекция с гипер-...плюс подержать в этом положении 1-1,5 мес...Но не лежит рука к остеотомии...Единственное, после коррекции есть желание "отсепарировать" подошвенные связки с костной "основой" от пяточной кости и загипсовать в таком положении во избежание возможного рецидива...А там посмотрим...мнения ???
<
|
>
|
|
Ответить
|
Re: косолапость
А.Р.Пулатов 04 Май 2005, 14:13
|
Убрать варус и эквинус на фоне удлинения... коррекция с гипер-... плюс подержать в этом положении 1-1,5 мес...
И скорей всего будет рецидив
Но не лежит рука к остеотомии...
В этом возрасте, при такой деформации предпочтительней - корригирующая остеотомия на уровне среднего тарза
Единственное, после коррекции есть желание "отсепарировать" подошвенные связки с костной "основой" от пяточной кости
сомнительное желание, не проще рассечь подошвенный апоневроз
и загипсовать в таком положении во избежание возможного рецидива... А там посмотрим...
не спасает
|
[
Ответить ]
|
Re: косолапость
Отправитель: Alexey Mozgounov 09 Май 2005, 10:10
|
АРП> И скорей всего будет рецидив
Если ограничиться только этим - то, наверное, будет. Именно поэтому вопрос и задавался...
>>Но не лежит рука к остеотомии...
АРП> В этом возрасте, при такой деформации предпочтительней -
АРП> корригирующая остеотомия на уровне среднего тарза
Только остеотомия?
Одномоментная?
Без предварительной коррекции в аппарате?
>>Единственное, после коррекции есть желание "отсепарировать"
>>подошвенные связки с костной "основой" от пяточной кости
АРП> сомнительное желание,
А почему? (только просьба - не отвечать "а потому" :-) )
Стопа растянута и исправлена,
подошвенные "тяжи" отсепарированы, а
1,5 мес гипсиммобилизации - вполне достаточный срок для образования срастания между пяточной костью и отсеченным от нее костным фрагментом...
АРП> не проще рассечь подошвенный апоневроз
А ниже подошвенного апоневроза лежит еще столько всего..., что тянет и удерживает...
>> и загипсовать в таком положении во избежание возможного рецидива...
>> А там посмотрим...
АРП> не спасает
Так вот однозначно?
;-)
|
[
Ответить ]
|
|
Re: косолапость
Evgueny Tchekashkine 09 Май 2005, 10:05
|
Алексей, приветствую,
Извиняюсь за запоздавшее письмо.
Личного опыта в коррекции запущенных случаев эквино-варусной деформации стопы в аппарате у меня нет.
Слушал сообщение на ЭФОРТе в 2001 году, по упомянутой теме из продемонстрированные результаты постепенной коррекции регидных деформаций прозвучали очень оптимистично, демонтсрация картинок прооопрерованных детей 9-13 лет - варус и эквинус откоррегирован. после снятия аппарата практиковались сменные этапные гипсовые повязки до года.
Как метод - подход оправдан, отрицательный, на мой взгляд момент, - лечение растянуто по времени и требует постоянного контроля за ребенком, перепоручать кому-то в соседней области (как это и случилось в вашем случае) дальнейшее наблюдение за ребенком не стоит. Поэтому, если родители ребенка не торопят и располагают временем, то можно остановиться и на *бескровной* продолжительной коррекции.
К нам обычно присылают детей либо сразу после рождения (для этапной коррекции в гипсе. Обычно консервативное лечение проводим до 6 мес возраста
ребенка, если сохраняется ригидная деформация, то выполняется задне-медиальный релиз по сути - операция Зацепина: Z-образное удлинение сухожилий тиб. постериор, длинного сгибателя пальце, длинного сгибателя большого пальца, с пересечением связки - хенри нотч, ахиллова сухожилия, задняя капсулотомия голеностопного и подтаранного суставов, устранение подвывиха в таранно- ладьевидном суставе, пересечение подошвенного апоневроза и капсулотомия пяточно-кубовидного сустава , заднего межберцового синдесмоза при необходимости)с последующей иммобилизации в этапных гипсовых повязках (каждые 4 недели) до момента начала стояния и попыток ребенка ходить. После этого гипс меняем на пронационные ботинки.
Как вариант при запущенных ригидных деформациях применялась Эванс остеотомия пяточно-кубовидного сустава с фиксацией скобкой в сочетании с задне-медиальным релизом и гипсовой иммобилизацией 4 недели. У одного ребенка с артрогрипозом (аналогичная деформация представленная на
первой фотографии) была произведена первичная талэктомия с восстановлением подошвенной установки стопы.
В приложении посмотрите статью по отдаленным результатам лечения проблемы остеотомией Эванса.
Всего Доброго,
Евгений
КСтати , как кисть у ребенка, после * мясорубки*?
 Dillwyn Evans procedure for relapsed club foot
|
|
[
Ответить ]
|
( Ответить )
|
|