AOTRAUMA.ORG Центр Илизарова  

Ортопедия и травматология Общие вопросы/General questions Help Информационные технологии в медицине
 вверх
 отправить
 поиск
 админ
 главная


И так бывает...
Ортопедия и травматология Отправлено Alexey Mozgounov 30 Март 2005, 00:11
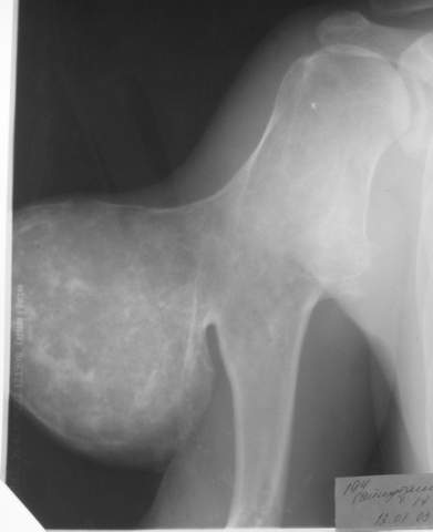
Вот, пришел сегодня утром на работу,фотоаппарат зачем то прихватил.ни о чем таком не думал,а там такоое...:-)
Мужчина, 27 лет, IQ вроде бы нормальный, из района, но не из деревни, а такую штуковину вырастил... аж жуть...


<  |  >

 

  • Сообщения о Ортопедия и травматология
  • Также Alexey Mozgounov
  • Связаться с автором
  • Ответить

    Re: И так бывает...
    Denis Yolkin 30 Март 2005, 03:33
    А каков Ваш диагноз?
    По-моему больше всего похоже на вторичную хондросаркому (озлокачествленный костно-хрящевой экзостоз плеча).
    [ Ответить ]

    • Re: И так бывает...
      Отправитель: Alexey Mozgounov 01 Апрель 2005, 00:51
      Похоже


      [ Ответить ]
      • Re: И так бывает...
        Отправитель: Марикин МВ 02 Апрель 2005, 21:59
        Сколько времени это росло и что думаете делать.
        Может быть не все так плохо.


        [ Ответить ]
        • Re: И так бывает...
          Отправитель: Alexey Mozgunov 04 Апрель 2005, 15:58
          ММ> Сколько времени это росло

          Честно?
          Не знаю.
          Не расправшивал, ибо пришли не ко мне, а к начальнику.
          Посмотрел, сфотографировал (начальник попросил)... Больному дали памятку, скоро должен явиться на госпитализацию.
          Вот тогда и порасспрашиваем...
          Но помоему - что-то около 3 лет, со слов начальника, хотя, думаю, и он особо не вникал...

          ММ> и что думаете делать.

          Резать.
          :-)

          ММ> Может быть не все так плохо.
          А кто говорил что все так плохо?
          Или это диагноз "хондроСАРКОМА" смущает?

          Хм... терпел-терпел...
          :-)
          Вот были вопросы - какой диагноз?
          Может я чего не понимаю?
          Что это озлокачествленный экзостоз - очевидно...
          Но тактика лечения при любых раскладах одна - удалять.
          О метастазах при таких хондросаркомах я нигде не читал.
          Значит другого лечения не требуется...
          Окромя наблюдения.
          Или требуется?

          Кстати,
          в красной ЦИТОвской книжке в одной главе говорится о вторичной ХОНДРОМЕ, а в другой о вторичной ХОНДРОСАРКОМЕ.
          (Это не к тому, что я вчера об этом прочитал, а к тому, что есть такой
          разнобой.)
          Но если с точки зрения гистолога (правда, смотря какого...) это важно, то с нашей точки зрения?
          Все одно - - удалять. И наблюдать.

          Закончу ВВ Маяковским:
          (вот это его высказывание действительно вычитал с этак неделю назад, подходит под многое)

          В коммунизм из книжки верится с трудом,
          Мало ли что в книжках можно написать...

          [ Ответить ]
    Re: И так бывает...
    Nikolaj Wolfson 03 Апрель 2005, 00:46
    Skoree vsego хондросаркомa вторичнaя, na osnove Multiple osteochondomatosis.

    Udachi

    Nikolaj Wolfson
    [ Ответить ]


    ( Ответить )

    Powered by Zope  Squishdot Powered MedLink
    Посетитель: 0026614
      "По форме правильно, а по существу - издевательство" В.И.Ленин
    ©2001-2019Orthoforum Coordinator.
    [ Главная | Отправить сообщение | Поиск | Админ ]