AOTRAUMA.ORG Центр Илизарова  

Ортопедия и травматология Общие вопросы/General questions Help Информационные технологии в медицине
 ВХОД ДЛЯ ПАЦИЕНТОВ
 вверх
 поиск
 админ
 главная
 исходное
 последующие


Re: дистальный тиб.фиб. перелом
послал Alexey Mozgounov 30 Март 2005, 00:42
Dear Леонид Николаевич,

LNS> Подробная информация о методе Модульной Трансформации чрескостных аппаратов
LNS> представлена в проаннонсированной недавно РосНИИТО монографии по
LNS> чрескостному остеосинтезу; надеюсь выйдет в свет в апреле (не реклама :-) ).

А можно ли как-то заказать через Инет?

А пока несколько вопросов...
А в чем практическое преимущество
LNS> Модульной Трансформации чрескостных аппаратов
?

1) Снижение веса аппарата? - Но не такие уж они тяжелые...
2) Эстетика? - Но больному не до эстетики, а чтобы держало хорошо и
срасталось надежно...
3) Удобство при ношении одежды? - Но с точки зрения брюк. что два
полукольца. что два кольца... кольца даже удобнее... а с точки зрения
юбки...
4) Устранение риска спице-стержневого остеомиелита в проксим.
метафизе? - вот это вполне возможно... но такие осложнения встречаются
крайне редко... причем как правило на фоне личной неаккуратности
больных... а при этом условии данное осложнение может быть где
удобно...
5) Профилактика контрактур в суставах? - Но и при циркулярном аппарате
можно спицы провести так (в проксим. опоре), чтобы мышцы особо не
прошивались... а для голеностопа... что полукольцо, что кольцо - они
одинаково мешают (или не мешают) тыльной флексии...
6) Какое-то влияние на процесс консолидации - ???

Тогда в чем? Не в шаманстве же etc.?

LNS> Под рукой прилагаемый пример. Как видите,

Исходя из него главное преимущество "двух полуколец" - это полный объем сгибания в
коленном суставе, но...
незначительно он отличается от варианта "два кольца"...
и есть ли практический смысл достигать на фоне ношения аппарата такого
объема движений?

LNS> В случае, который представил
LNS> Евгений, характер повреждения позволил бы сразу использовать аппарат на
LNS> основе 2 колец;

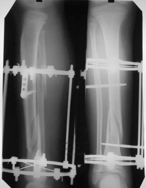
В аттачтах №№ 1 и 2 - примеры, когда 2 кольца не позволили послеоперационно
исправить смещение фрагментов большеберцовой (по ширине и вальгусное).
А казалось бы (#2) - поиграй на штангах и все влетит.
Оперировал не я
:-)




















1


1a


2


3a


3b


3c


PS.
В аттачте № 3 - один из примеров полукольцевого аппарат...
Это уже я баловался.
Итог? Работы больше (по времени и
интраоп "подгонке"), срастается также, а особого преимущества по сравнению с
"чиста" кольцевым (вес, удобство ношения и пр.) - я, по крайней мере,
не нашел.
Теперь не балуюсь.
Может быть зря?
;-)

--
Best regards,

~~~~~~~~~~~~~~~~~~~~~~~~~~~~~~~~~~~~~~~~~~~~~~
Aleksey V. Mozgounov, M.D., Ph.D.,
Department of Pediatric and Adolescents
Traumatology and Orthopaedics,
Research Centre of Tatarstan
"Rehabiltation Traumatology and Orthopaedics",
3, Gorky str., Kazan 420015, Russia
~~~~~~~~~~~~~~~~~~~~~~~~~~~~~~~~~~~~~~~~~~~~~~

Послать ответ

Имя
Email
Уведомление Сообщить мне по e-mail об ответах на это сообщение
Название
Комментарий
(Проверьте URL! Не забудьте написать http://!)
Кодировка
Если не знаете, что выбрать, выберите "Просто текст"!
Приложение
Можно приложить к сообщению файл c изображением, который затем будет доступен увидевшим сообщение.
Подготовка иллюстраций:
  • Рентгенограммы: черно-белые полутоновые изображения в формате JPEG (8 bit, greyscale) с разрешением от 300х200 до 1024х768 пикселов;
  • Клинические фотографии: полноцветные изображения в формате JPEG (24 bit, truecolor) с разрешением от 300х200 до 1024х768 пикселов;
  • Схемы и рисунки: черно-белые (2 bit) штриховые (line-art) изображения в формате GIF или compressed TIFF
  • Подберите степень сжатия файла JPEG и размер изображения таким образом, чтобы необходимые детали были различимы, но размер файла не превышал 75 кб.
  • Учтите, что текущая версия программного обеспечения Форума позволяет приложить к одному сообщению лишь один файл-вложение. Поэтому, если необходимо отправить несколько изображений, можно либо послать каждое как отдельное сообщение, либо в графическом редакторе объединить изображения в одно (сделать коллаж).
  • Если при подготовке изображений встречаются трудности, не стесняйтесь обратиться к координатору Форума.

  • Введите видимые символы в обратном порядке. Enter the above characters in reverse order (*Обязательно)
    В тексте сообщения можно использовать теги HTML <B> <I> <P> <A> <LI> <OL> <UL> <EM> <BR> <TT> <HR> <STRONG> <BLOCKQUOTE> <DIV .*> <DIV> <P .*>
  • Обратите внимание: Поля с жирными названиями обязательны.
  • Старайтесь отвечать в рамках обсуждаемой темы, а не начинать новые обсуждения.
  • Указывайте адекватную тему сообщения, чтобы было ясно, о чем оно.
  • Не послайте сообщений не по теме (оффтопик), раздраженных, грубых или обидных комментариев. Здесь это неуместно.
  • Powered by Zope  Squishdot Powered MedLink
    Посетитель: 0023923
      "По форме правильно, а по существу - издевательство" В.И.Ленин
    ©2001-2019Orthoforum Coordinator.
    [ Главная | Отправить сообщение | Поиск | Админ ]