AOTRAUMA.ORG Центр Илизарова  

Ортопедия и травматология Общие вопросы/General questions Help Информационные технологии в медицине
 вверх
 отправить
 поиск
 админ
 главная
 Предыдущее


Re: Вывих коленного сустава
Djoldas Kuldjanov 07 Январь 2005, 11:34





























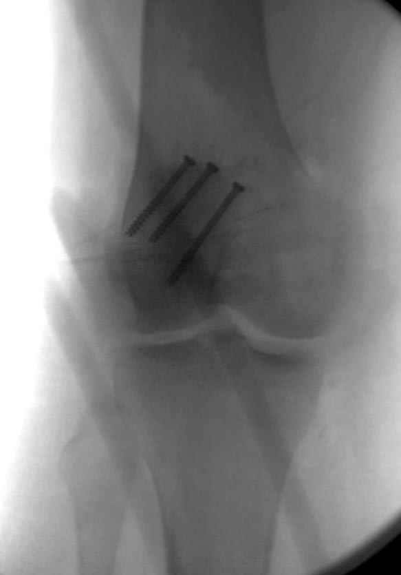
Сегодня досылаю остальные снимки, которые не прошли вчера. Как вчера писал, после фиксации перелома надколенника с дефектом кости и собственной связки, наложили ваккуум и наружный фиксатор. (снимки 4-9)

Внешний фиксатор держим около 6 недель, поэтому был выбран метод фиксации шурупами и еще линия перелома была диагональной, не было нужды в tension band technique, cannulated screws удобнее, провел спицы и по ним шурупы.

Следующий этап - закрытие раны, даже при инфицировании применяем технику ушивания собственной связки монофильными швами, и будем продолжать дебрайдмент.

При открытых переломах Type1-2, придерживаемся следующей тактики: дебрайдмент, фиксация перелома и рана прикрывается мокрой повязкой или ваккуум, т.е. не закрываем рану первично!, через два или три дня, в зависимости от состояния раны пройзводим закрытие. При некрозе кожи продолжается иссечение с повторными дебрайдмент.

Связка ушита обычными сухожильными швами конец в конец, не было нужды проведения шва через надколенник, из-за ех-фиксатора.
Внешний фиксатор снимаем за пару недель до пластики крестообразных связок, мой партнер специалист по спортивной травме, считает оптимально в 6-8 недель, только не могу догадаться, чем будет производить пластику поврежденной собственной связки?

Джолдас Кульджанов
  • Сообщения о Ортопедия и травматология
  • Также Djoldas Kuldjanov
  • Связаться с автором
  • Ответить

    Re: Вывих коленного сустава
    Dr. Castro 09 Январь 2005, 04:36
    Dear Dr. D. Kuldjanov,
    Ja Vas pozdravlaio, za stol' krasivuio rabotu, ito prosto fantastica! Mne, ne poniatny dve tehnicheskie detaly, esli Vam ne trudno mne ih rastolkovat':
    - Chem obeslovlen Vibor Vami mesto provedenjia dvuh proximalnih vintov Ex. Fix? Imeio vvedu, po medialnoi storone bedra...
    - Kakuio oni imeiot zatochku? Menjia interesuet tehnika ih provedenjia...javeliaiotsa li oni self drilling screws, ili Vi im gotovili kanal predvoritelno s pomoshio sverla? "ih ni vidno na snimkah nigde" Poetomu sprashivaio...
    Zaranee blagodaren..
    Dr. Castro


    [ Ответить ]

    • Re: Вывих коленного сустава
      Отправитель: Djoldas Kuldjanov, M.D. 11 Январь 2005, 19:21














      Уважаемый Dr. Castro

      Почти все компании имеют стержни 3-4-5 мм в диаметре для наружного фиксатора и только одна 6 мм с hydroxyapatite покрытием. Стержни имеют различную заточку и self drilling, что связано с патентной проблемой каждой компании, Стержень проводим по двойному проводнику, после предварительного сверления меньшим диаметром сверла, 3.8мм при 5мм, стержень в диафизе предпочтительно провести вручную, за исключением метафиза, где используется дрель.

      На слайдах (не четко обозначены бедро и голень): на бедре по наружно-передней поверхности, между вастус латералис и прямой головками, а на голени по передне-медиальной поверхности, желателен подбор длины резьбовой части стержня по ширине поперечника кости. На снимке: дистальное кольцо, метод проведения стержня через канюлю-проводник.

      P.S. Случаем, не знакомы с Др. Хассан Хамуд из Ливана, fellow по моей прежней работы в Wayne State University в Детройте, который закончил Ростовский Мед Институт.

      С уважением
      Джолдас Кульджанов



      [ Ответить ]
      • Re: Вывих коленного сустава
        Отправитель: Dr. Castro 11 Январь 2005, 20:57
        Uvazaemy Dr. D. Kuldjanov,
        Kakoi tesen nash s Vami mir stal?? Da, ja s Dr. H. Hamud znakom, t.k., ja toze Rostovskii medinstitut zakonchil, no grazdo poze, chem Dr. Hamud, moi uchitel, Professor Golubev George Shotavich, Ja seachas zivu i rabotio v Jordanii, uze 4 goda...Ja rabotal v Rostove 9 let posle okanchanjia inistituta v raznih ortopedo-travmatologicheskih otdelenjiah, i zashitil kandidatskio dessertasio v 1999, posle chego vernulsa v Jordanii, i provel ja v Russii v obshei sloznosty 16 let!
        Sposibo za opisanii tehnologii, t.k., ja hotil posmotrit', kak Vi ito delaete, i ito v obshem, takjia ze technologia, kak mi polzumsa zdes'...
        Ochen' Rad bil' s Vami obshatsa, i proshu Vas, esli predstavitsa vozmoznost', peredat' Dr-u Hamudu, samie naluchie i dobrie pozelenjia ot menjia...

        Yours Dr. Castro

        [ Ответить ]
        • Re: Вывих коленного сустава
          Отправитель: Djoldas Kuldjanov 11 Январь 2005, 23:38
          Dr. Castro,

          Вашу просьбу передал, очень часто общаемся, желает имет ваш персональный э-майл адрес, отправте мне на
          kuldjad(at)slu.edu я переправлю.

          Джолдас

          [ Ответить ]

     

    ( Ответить )

    Powered by Zope  Squishdot Powered MedLink
    Посетитель: 0034909
      "По форме правильно, а по существу - издевательство" В.И.Ленин
    ©2001-2019Orthoforum Coordinator.
    [ Главная | Отправить сообщение | Поиск | Админ ]