AOTRAUMA.ORG Центр Илизарова  

Ортопедия и травматология Общие вопросы/General questions Help Информационные технологии в медицине
 вверх
 отправить
 поиск
 админ
 главная


дефект бедра
Ортопедия и травматология Отправлено Anton Vladzimirskyy 23 Декабрь 2004, 18:52
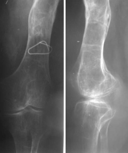
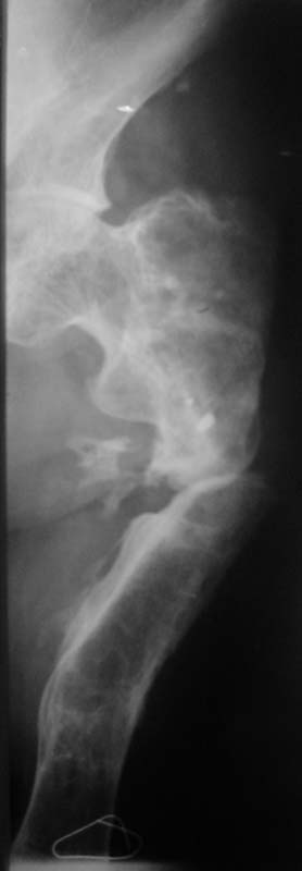
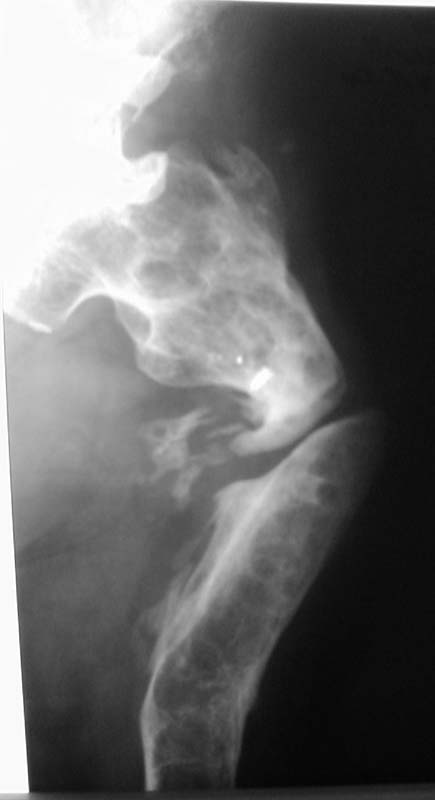
Коллеги! Прошу оказать консультативную помощь! Мужчина, 42 года.В 1994 году - перелом бедра, операция - накостный остеосинтез пластиной.
Осложнение - остеомиелит. Удаление пластины, резекция кости на протяжении 15 см, неудачная попытка замещения дефекта по Илизарову. Сращения не было. В течение 6 лет свищей нет. Укорочение - 13 см. Соматически без особенностей.Лечение? Заранее благодарю! С уважением,А.В.ВладзимирскийДонецкий НИИ травматологии и ортопедииДонецк, Украина

<  |  >

 

  • Сообщения о Ортопедия и травматология
  • Также Anton Vladzimirskyy
  • Связаться с автором
  • Ответить

    Re: дефект бедра
    Alexander Chelnokov 23 Декабрь 2004, 20:07
    AV> неудачная попытка замещения дефекта по Илизарову. Сращения не
    AV> было. В течение 6 лет свищей нет.

    Что мешало попытаться предпринять более удачную попытку замещения дефекта? Да и со свищами вполне вроде можно и удлинять, и дефекты формировать/замещать...
    Что сейчас с функцией суставов и нагрузкой на ногу? Как формулируется задача, которую надо решить? Добиться сращения как есть? Восстановить длину? Улучшить опороспособность?

    AV> Укорочение - 13 см. Соматически без особенностей. Лечение?

    А оно ему и правда нужно? Чего хочет сам больной? Где-то попадался вывод английских, что ли, иследователей о том, что реабилитационные мероприятия после травм надо успевать провести в течение ближайших трех лет. Если не уложиться, они малорезультативны, т.к. у пациента успевает сформироваться "комплекс иждивенца".
    [ Ответить ]

    Re: дефект бедра
    Barry Armstrong 23 Декабрь 2004, 23:59
    Anton:

    Discussed this with my local orthopedic expert. Dr. Porter thinks that you need stability, internal fixation, autologous graft and allograft of bone.

    He would place long locking plate or plates, with strut grafts (allograft from bone bank) to bridge the 15 cm. defect. He would place cable internal fixation around the strut grafts, and fill with autologous bone graft (from his iliac crest) and use a bone growth stimulator like BMP1.

    Routine antibiotic prophylaxis is necessary, but we think that is all...

    Good luck.


    Barry Armstrong
    General Surgeon
    Thunder Bay, Ontario, Canada
    [ Ответить ]

    Re: дефект бедра
    крылов андрей 24 Декабрь 2004, 03:28
    Антон,
    Сращение ложного суства и удлинение конечности методом КДО возможно, но врядли пациент, который уже однажды перенес подобный метод длительной, довольно неудобной и, к сожалению, безрезультатной фиксации врядли согласиться еще раз испытать судьбу.
    Поэтому посоветовавшись, предлагаю следующее:
    1 этап - удлинение мягких тканей аппаратом внешенй фиксации.
    2 этап: после удаления фиброзных тканей, рассверливания или "формирование"костно-мозгового канала на максимально возможном расстоянии. Нужной учитывать, что рассверливание склерозированной кости может занять много времени и не одно сверло.
    3 этап коррегирующая остеотомия в с\3
    Дефект замещается трубчатым трансплантатом и фиксируется штифтом.
    Если срастется после этих манипуляций хоть один из фрагментов трансплантант-кость - то это уже успех.Укрочение устранено.
    Дальнейшую тактику подскажет жизнь.
    конечно очень хорошо провести радиоизотопное исследование возможных очагов остеомиелита, но это уже "чем богаты".
    Успехов. Андрей Крылов
    С Рождеством и новым годом.
    [ Ответить ]

    Re: дефект бедра
    Jacob Odessky 24 Декабрь 2004, 17:03
    Здравствуйте уважаемые коллеги!



    Речь идёт о мужчине 42 лет, здоровом, 10 лет после перелома будра с дефектом кости около 15 см.

    На мой взгляд вопрос о лечении должен стоять однозначно, никакой комплех иждевенца не должен остановить врача помочь такому больному! Подобные работы основывались на методах лечения, практически не способных восстановить антомию и функцию поражённой конечности в доилизаровскую эру.

    Мой совет, перед началом планирования оперативного лечения, провести больному скенирование костей – Технеций и Галий, или, что лучше – Индиум с меченными лейкоцитами. Это необходимо для того, чтобы знать есть ли очаги остеомиелита.

    1.В случае, если не будет остеомиелита: В данном случае классическое показание к применению метода Илизарова.

    Необходимо сделать снимок на всю длину конечности и бедра для планирования операции. А также СТ для точного измерения анатомического укорочения, полагаю, что часть из 15 см. Будет исправлено при
    устранении деформации.

    Судя по представленному снимку, есть 3 деформации – Варусная в области ложного сустава - 70°, Вальгусная - 35° в средней трети бедра, и ещё одна вальгусная 8° в области дистального метаэпифиза бедренной кости. Если бы пациент попал ко мне, я сделал бы трилокальный остеосинтез – Открытый погружной копрессионный в области ложного сустава, остеотоми на вершине деформации средней трети бедра для удлинения и коррекции деформации и коррегирующую остеотомию через верхний край мыщелков бедренной кости. Для оппонентов такой тактики сразу оговорюсь, что коррекция анатомической и механической оси при наличии срастающегося ложного сустава критична для профилактики рефрактуры.

    Хотя я полагаю, что открытый билокальный остеосинтез тоже может иметь место в данной ситуации, при котором откратый погружной остеосинтез ложного сустава будет сочетаться с остеотомией средней трети бедра для коррекции механической оси (я подчёркиваю механической) бедра. Для этого надо произвести перерасчёты в конце удлинения по снимкам бедра на всю длину.

    По поводу операции на ложном суставе: необходимо убрать все фиброзные ткани между концами отломков, вскрыть каналы проксимального и дисталного отломков для улучшения кровообращения в месте сращения, проксимальному отломку придать овальную форму вершиной вверх и погрузить дистальный отломок в проксимальный на пол сантиметра, это необходимо для увеличения площади контакта между отломками. Будьте осторожны с одномоментным устранением деформации! Следите за пульсом на дистальной части ноги. Не забывайте, что аппарат Илизарова позволяет устранить деформацию постепенно, что более физиологично для мягких тканей.

    Компановка аппарата: Маленькая дуга с 4-5 полустержнями типа Шанца, 6 мм диаметре , желательно конусовидные (один из них обязательно должен быть проведён в малый вертел – даёт очень прочную фиксацию) 2 – в шейку бедра.

    Кольцо на средний фрагмент, с 2-мя спицами 2-3 полустержнями типа Шанца. 2 кольца на дистальный фрагмент на спицах. В случае второй остеотомии – колцо в области мыщелков с 2-мя спицами и 2-мя полустержнями типа Шанца, проведёнными в плоскости кольца по одному в каждый мыщелок с зади к переди в соответствии со строением каждого мыщелка.

    Если укорочение большое, не обязательно проводить лечение в один этап. Можно на первом этапе срастить ложный сустав и удлинить частично, а на втором доудлинить и сравнять длину ног.

    2. В случае остеомиелита, необходимо планирование при получении более полной картины.

    Желаю удачи.!
    [ Ответить ]

    Re: дефект бедра
    Виталий Евгеньевич Казеннов 24 Декабрь 2004, 20:00
    Уважаемый Антон!

    Просится "русский замок" с последующим удлинением на двух уровнях. Нельзя ли посмотреть тазобедренный сустав?

    С уважением,
    Казённов,
    Хабаровск
    [ Ответить ]

    Re: дефект бедра
    Jitoko Cama 24 Декабрь 2004, 23:44
    As a general surgeon,this is one good example why I decided not to do orthopaedics...they can always come back with complications like this that will last for life-time. My comments would be to try everything possible to save the limb with either graft or internal fixation. If he can still mobilise with that leg, then maybe consider just leaving him alone... otherwise amputation is an option if its a damn nuisance.

    Best of luck with this case!

    Jitoko Cama
    CWMHospital
    Suva
    Fiji
    [ Ответить ]

    Re: дефект бедра
    Djoldas Kuldjanov, M.D. 25 Декабрь 2004, 00:05
    При согласии больного на длительное лечение и если он не отягощен другими заболеваниями (курение, алькоголь), учитывая, что уже 6 лет отсутствуют свищи, я бы порекомендовал лечение ложного сустава длинным 4.5 mm Locking plate или Proximal Femur Locking Plate, при их отсутствии, коротким лезвием в шейку Blade Plate.
    После обнажения место перелома Subvastus dissection, края ложного сустава должны срезаться таким образом, что при наложении друг на друга, должны составлять идеальную поверхность, замкнуться друг к другу межфрагментарным компрессионным lagging technique, затем только наложить пластинку, о необходимости костной пластики подскажет состояние ложного сустава.

    Проблема больного: ложный сустав и укорочение, хотя заманчивое, но целесообразности решения проблемы одним методом в данном случае я не вижу, по моему, если срастить его ложный сустав, т.е. сделать опороспособной его конечность, может сам не найдет силу на второй этап, если да, потом, после улучшения его трофики и более стабильным
    настроением (психики), что немаловажно в лечении, можно ему предложить аппаратное удлинение за более дистальный отрезок кости.

    Джолдас Кульджанов
    [ Ответить ]

    • Re: дефект бедра
      Отправитель: Alexander Chelnokov 25 Декабрь 2004, 00:58
      Мне представляется, что можно бы было сделать чрескостный остеосинтез, не могу предложить, скольки-локальный -надо бы посидеть со скиаграммами, но с максимальной, даже с запасом, компенсацией укорочения, и восстановлением оси. Что при этом с суставами будет, не зная что сейчас - можно только гадать.

      Дальше. Растянули-выпрямили. Можно сделать чрескожную остеотомию обоих концов "сосулек", см по 2-3. Это можно сделать и заранее, а потом спицами с упорами, либо остро, в одну сессию, закрыто отклонить их в сторонку, чтобы был торец у отломка. Закрыто сформировать канал. Ну и закрыто же заштифтовать мощным стержнем, введя по 3-4 locking винта, а эти остеотомированные и отклоненные концы "сосулек" будут как бы пристеночными графтами.

      Или - можно их ("сосульки")закрыто вдоль расщепить, с последующим разведением половинок для формирования регенерата, пока на диафизе идет удлинение.

      Или - после удлинения - резекция зоны ложного сустава с формированием сегментарного дефекта, заполняемого кейджем, и - тот же гвоздь. Проф.
      Лазарев и коллеги демонстрировали успешное использование такого подхода.

      В общем, для владеющего аппаратными методиками тут большой простор для творческого планирования. Ну а блокируемый стержень позволит максимально быстро от аппарата освободиться, и начать функциональную реабилитацию без тех ограничений, которые создают аппараты на бедре.

      И все-таки, интуиция подсказывает, что, видимо, есть какие-то неназванные сопутствующие обстоятельства, которые могут повлиять на выбор метода. Вот этот 6-летний период нелечения, когда уже не было свищей - чем обусловлен?

      [ Ответить ]
    Re: дефект бедра
    Michael Berenstein 25 Декабрь 2004, 23:46
    Уважаемый Антон,
    Замечательная ортопедическая задача, не из простых.
    Если состояние мягких тканей позволяет и больной подходящий - не курит, выполняет требования
    врача и хочет выздороветь то стоит пойти на весь банк.
    Я бы применил методику удлиннения на гвозде LON.
    На операции нужно открыть ложный сустав, освежить и выровнять края костей, сделать остеотомию на уровне деформации тем самым выровнить канал, после вставления проводника рассверлить канал и установить гвоздь толщиной 11 мм минимум. Гвоздь нужно взять длинее чтобы выступал над вертелом на 10 см по крайней мере. Затем поставить дистальный замыкающий шуруп. К ложному суставу нужно добавить дольшое количество губчатой кости из подвздошной кости (BONE GRAFT).
    поле этого с наружной поверхности поставить стержневой аппарат для удлиннения по принятой методике и через неделю начать удлиннение. После того как гвоздь втянется в бедро до состояния что можно проксимальными блокирующими шурупами зафиксировать проксимальный отдел бедра нужно остановить удлиннение. когда на снимке будет хорошо видимый регенерат можно установить проксимальй блок и снять аппарат. Если захотите удлиннить ещё то в будующем можно вновь установить аппарат для удлиннения, вновь остеотомия, убрать дистальный шуруп и добавить недостающие сантиметры. В конце удлиннения вернуть шуруп и снять аппарат.
    Проще простого :-)). Проект года на два.
    Удачи!
    [ Ответить ]

    • Re: дефект бедра
      Отправитель: Alexander Chelnokov 27 Декабрь 2004, 08:51
      MB> Я бы применил методику удлиннения на гвозде LON.
      MB> На операции нужно открыть ложный сустав, освежить и выровнять
      [...]
      MB> удлинение. когда на снимке будет хорошо видимый регенерат можно
      MB> установить проксимальй блок и снять аппарат. Если захотите

      В предложенном удлинении по варианту LON очевидны следующие негативные моменты в сравнении с LTN (Lengthening then nail) -
      -очень травматичная первичная операция,
      -длительный период с чрезмерным выстоянием гвоздя проксимально,
      -ограниченность места для элементов аппарата,
      -из-за этого бОльшие сложности и риски периода дистракции (при прорезании спиц/стержней, трудности с их заменой или дополнительным
      проведением),
      -риск инфицирования имплантата,
      Зачем-то предложен очень длительный период в аппарате ("когда на снимке будет хорошо видимый регенерат") - отчего не запереть гвоздь немедленно по достижении желаемой длины?

      [ Ответить ]
      • Re: дефект бедра
        Отправитель: Michael Berenstein 27 Декабрь 2004, 08:54
        Приветствую Александр
        - Чрезмерное выстояние гвоздя на самом деле не так страшно т.к. гвоздь далек от нерва и находится под фасцией. Вспомните ошибки при введении гвоздя через перелом когда остается 4-5 см, ну немного мешает, а тут состояние временное месяца 3. Я применяю выступающий гвоздь давно, а на последнем ASAMI в Стамбуле товарищи из Турции показали тоже самое и тоже без проблем.
        - Естественно методика сложна, но вполне приемлема и не для начинающих.
        - Для того что бы осталось место для проведения стержней нужно применять гвозди относительно тонкие. В процессе удлиннения на гвозде я разрешаю полную нагрузку на ноги , если удлиннение значительное, то до образования регенерата есть опасность деформации гвоздя или прорезания шурупов.
        - Техника удлиннения на гвозде имеет много особенностей и не стоит начинать использование этой техники без предворительной подготовки.
        С уважением
        Михаил Беренштейн

        [ Ответить ]
        • Re: дефект бедра
          Отправитель: Alexander Chelnokov 27 Декабрь 2004, 08:57
          MB> - Чрезмерное выстояние гвоздя на самом деле не так страшно т.к. гвоздь далек
          [...]
          MB> Стамбуле товарищи из Турции показали тоже самое и тоже без проблем.

          И тем не менее, выстоящий на 10 см гвоздь радости доставляет больному мало, а при LTN этого нет.
          Применяются ли в Ваших условиях телескопируемые гвозди, известные здесь по работам А.И.Блискунова? Насколько я знаю, есть несколько таких систем сейчас - Albizzia, ISKD (Orthofix), еще какие-то...

          MB> - Естественно методика сложна, но вполне приемлема и не для начинающих.

          В первую очередь стоило бы подумать не о сложности исполнения, а о травматичности предлагаемой первичной операции. В сравнении с аппаратным остеосинтезом с чрескожными остеотомиями и без одномоментных грубых изменений оси, без обширной костной пластики.
          Ну и сложность тут, скорее, в виде грабель, которые сам себе и кладешь. Скажем, начнет из-за локального остеопороза вырезаться
          проксимальная подсистема, а стержень в канале, даже относительно тонкий, будет ограничивать возможности дополнительного проведения спиц/стержней - сравним с состоянием без имплантата в канале.

          MB> - Для того что бы осталось место для проведения стержней нужно применять
          MB> гвозди относительно тонкие. В процессе удлиннения на гвозде я разрешаю
          MB> полную нагрузку на ноги , если удлиннение значительное, то до образования
          MB> регенерата есть опасность деформации гвоздя или прорезания шурупов.

          Возможность нагрузки в период дистракции определяется только свойствами аппарата, не так ли? Если необходимо ждать в аппарате до той поры, когда уже за счет прочности сформировавшегося регенерата исчезает "опасность деформации гвоздя или прорезания шурупов", то это месяцы - теряются преимущества closed nailing. А желательно и возможно получить максимальные выгоды от него: как только удлинение закончено, и отломки далее надо только фиксировать - аппарат уже не нужен, поэтому на следующий день его уже и нет. Тем более, что все проблемы со спицами/стержнями в виде инфицирования каналов как раз и проявляются в период фиксации.
          При LTN это возможно с точным подбором гвоздя по длине, и можно взять гвоздь максимального диаметра.

          MB> - Техника удлиннения на гвозде имеет много особенностей

          Основные особенности IMHO - это только линейное удлинение по анатомической оси, и аппарат с урезанными возможностями.

          MB> и не стоит начинать использование этой техники без предворительной
          MB> подготовки.

          А в чем она заключается?

          [ Ответить ]
          • Re: дефект бедра
            Отправитель: Michael Berenstein 27 Декабрь 2004, 09:01
            Здравствуйте Alexander

            Удлиннение бедра на гвозде обладает следующими преимуществами:
            - абсолютно сохраняется продольная ось на протяжении всего лечения
            - позволяет использовать простые стержневые аппараты
            - минимально количство спицевых ран и естественно их инфекционных осложнений
            - укорочивается время использования наружного фиксатора и естественно осложнений и "приятных ощущений" у пациента

            Телескопические гвозди: в серию пошли два основных ISKD and FITBONE.
            ISKD работает подобно гвоздю Блискунова - механический FITBONE с электрическим микродвигателем - фантастика - энергия передается на антену которая находится под кожей и 100% управляемость дистракцией. У обоих один недостаток - очень очень дорогие. По этой причине личного опыта работы с этими гвоздями пока нет, но над этим работаю :-)).

            АС> При LTN это возможно с точным подбором гвоздя по длине, и можно взять
            гвоздь максимального диаметра.

            - тут сталкиваемся с уже обсуждаемой проблемой "Как менять наружный фиксатор на гвоздь" - снимать аппарат, чистить спицевые раны и ждать 2-3 недели что на фоне антибиотика пока раны заживут. А что с регенератом? :-)

            АС> В первую очередь стоило бы подумать не о сложности исполнения, а о
            травматичности предлагаемой первичной операции.

            - что вы имеете в виду? Если говорим об обсуждаемом случае то открывать ложный сустав все равно нужно, остеотомия те же 3 см для кортикотомии ну еще 4 см для введения гвоздя. За то стержней всего 4 - 6 и все по наружной поверхности без сосудов, нервов и почти без мышц. Так что травматичней?

            АС>В сравнении с аппаратным остеосинтезом с чрескожными остеотомиями и без
            > одномоментных грубых изменений оси, без обширной костной пластики

            А что плохого в одномоментном исправлении угловой деформции на диафизе?

            АС> А в чем она заключается?

            Если хотите пользоватся этой методикой нужно как следует освоить закрытое гвоздевание, владеть принципами удлиннения костей, нужно полноценное техническое обеспечение (гвозди, аппараты, ЭОП, инструменты). Есть много ньюансов по-этому стоит посмотреть методику в опытных руках.

            АС> Ну и сложность тут, скорее, в виде грабель, которые сам себе и кладешь.

            Вся наша профессиональная дорога выстлана граблями, а приобретенный опыт в виде шишек на собственном лбу или наблюдения шишек на лбу коллег, направляет наши ноги в правильном направлении :-))

            С уважением
            Михаил Беренштейн

            [ Ответить ]
            • Михаилу Беренштейну: из Алматы (Казахстан)
              Отправитель: Дубников 30 Октябрь 2007, 13:13
              Могу ли я удлинить свою ногу..???
              Правая нога стала короче левой после сращения перелома бедра (где-то в его середине был перелом) теперь я хожу со штифтом внутри ноги - хромаю и ЗНАЮ, что нога стала короче. В настоящее время жду операции: когда удалят эту железку из ноги. Но уже сегодня ясно, что я стану хромать и без нее... но это будет в феврале (ровно год спустя операции).
              Итого вопрос: Удлинить бедро надо на 2 см, не больше, а может и меньше... Когда это надо делать - сразу, одновременно с удалением штифта или только после ее удаления? Если возьметесь, то дайте контакты, куда обратиться и к кому?

              Благодарю заранее за ответ.


              [ Ответить ]
    • Re: дефект бедра
      Отправитель: Алексей Смирнов 27 Декабрь 2004, 08:59
      Лучший способ убеждения - это показать на кокретном примере. Надеюсь многие хотели бы увидеть ваш
      проект!

      [ Ответить ]
    • удлинение ног
      Отправитель: эля 21 Ноябрь 2008, 23:32
      здраствуйте!хочу удлинить ноги...посоветуйте каким методом лучше...заранее спасибо

      [ Ответить ]

     

    ( Ответить )

    Powered by Zope  Squishdot Powered MedLink
    Посетитель: 0011987
      "По форме правильно, а по существу - издевательство" В.И.Ленин
    ©2001-2019Orthoforum Coordinator.
    [ Главная | Отправить сообщение | Поиск | Админ ]