AOTRAUMA.ORG Центр Илизарова  

Ортопедия и травматология Общие вопросы/General questions Help Информационные технологии в медицине
 вверх
 отправить
 поиск
 админ
 главная


SI joint injury
Ортопедия и травматология Отправлено Evgueny Tschekashkin 19 Декабрь 2004, 23:00
Уважанемые коллеги,Признателен за ваш совет по тактике лечения.
Больная 28 лет от роду попала в ДТП 12.12.04Что бы вы предложили.заранее признателен,Евгений И Чекашкин

<  |  >

 

  • Сообщения о Ортопедия и травматология
  • Также Evgueny Tschekashkin
  • Связаться с автором
  • Ответить

    Re: SI joint injury
    Vladimir 20 Декабрь 2004, 22:27
    Какое общее состояние больной ? Как первый этап -скелетное вытяжение за мыщелки бедренной кости ( слева) + гамак, в последующем - оперативное лечение ( исходя из RTG - контроля).
    [ Ответить ]

    Re: SI joint injury
    Alexander Chelnokov 20 Декабрь 2004, 22:38
    У нас бы аппаратом все вправили, потом ввели закрыто винты через крестцово-подвздошное, а сперелди - пластину.
    А какой аспект вызывает вопросы?
    [ Ответить ]

    • Re: SI joint injury
      Отправитель: Evgueny Tschekashkin 20 Декабрь 2004, 22:45
      Саша, приветствую,

      Спасибо за совет.

      > ET> Что бы вы предложили.
      >
      > У нас бы аппаратом все вправили, потом ввели закрыто винты через
      > крестцово-подвздошное, а сперелди - пластину.
      > А какой аспект вызывает вопросы?

      Положение больного при фиксации К-П сочленения - на боку или на животе и последовательность: симфиз потом КП или наоборот? Я оперировал на здоровом
      боку... и начал с симфиза.
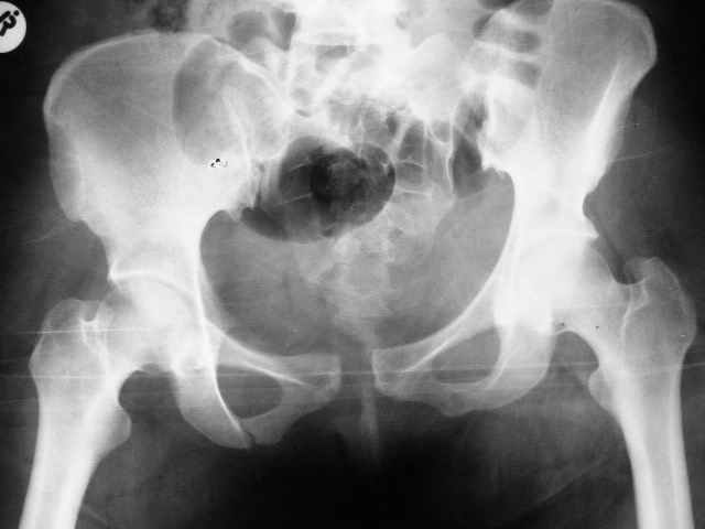
      Сегодня утром прооперировал: на симфиз пластину на 4 винтах и два 6.5 мм винта с неполной резьбой на левое крестцово подвздошное сочленение. (пришлось открыть - девушка весьма внушительной комплекции и пропальпировать крыло и ости не представлялось возможным, спасительного в таких случаях набора канюлированных винтов в госпитале нет). Проконтролировал качество репозиции ЭОПом - остался доволен.

      К всеобщему глубокому сожалению и огорчению, больная погибла через 40 мин после возвращения из операционной в палату,по всей видимости, от тромбоэмболии. (внезапное нарушение сознания, кардиореспираторный дистресс)
      хотя с первого дня поступления , опасаясь ТЭЛА (женщина, полная, постельный режим, травма таза первые три недели...) я назначил ей гепарин. Реанимировали в течении 30-40 мин (интубировали, дефибриллировали непрямой массаж сердца и тд... но безуспешно...

      ВСе, пока,

      Евгений


      [ Ответить ]
    Re: SI joint injury
    Djoldas Kuldjanov, M.D. 21 Декабрь 2004, 03:17
    Привет, Женя,

    Очень печально. что так случилось.

    При таких переломах я применил бы ургентно в первый же день поступления переднюю фиксацию таза, хотя спереди, но создастся относительная стабилизация таза.

    Наружный фиксатор на уровне spina anterior inferior в месте прикрепления прямой головки четырехглавой, где хорошая масса кости, провожу стержень под углом в направлении sciatic notch, который фиксируется дуговым стержнем, как на снимке, но возможны и другие различные варианты.








    С первого дня создается стабильность таза, дает время на обдумывание плана, затем при желании перевод к передней фиксации пластиной, а потом только перкутанный метод фиксацию rрестцово-подвздошного сочленения.

    Джолдас
    [ Ответить ]

    • Re: SI joint injury
      Отправитель: Evgueny Tschekashkin 22 Декабрь 2004, 10:25
      Джолдас, День Добрый,

      Исход неожиданный и печальный, хотя при первом взгляде на пациентку при поступлении возникли опасения где-то в подзознании, что может быть эмболия.... ( маленькая, полная + повреждение таза), но сразу назначать
      гепарин не стал (боясь усугубить кровопотерю), а только со следующего дня.
      Мысли одни: как можно предотвратить в наших условиях такие исходы, профилактические кава фильтры, допплер - в госуд. госпитале это не реально - много организационного плана причин, которые бесполезно здесь обсуждать. Были сомнения относительно метода фиксации SI joint, поэтому и отправил случай на форум. Описанный подход интересный, особенно для полных пациентов (передние ости даже у этой категории больных можно прощупать).
      Вечером перед операцией покрутил модель таза, но до предлагаемого решения не додумался (показалось, что винт, проведенный в направлении sciatic notch, *провалится* в забрюшинное пространство)пришлось открывать левое К-П
      сочленение (канюлированных винтов пока нет в операционной, а в таком объеме тканей (природно-конституционные особенности африканских женщин) найти просверленный канал технически сложно при закрытой технике. Доступ сложностей не составил и двумя винтами в боковую массу крестца
      зафиксировал сочленение.
      В следущий раз непременно возпользуюсь предложенной техникой, длинные винты Шанца -не проблема, контроль, как я понял, ЭОПом в инлет проекции - очень элегантная техника , спасибо.
      Сегодня сходил на аутопсию : большой тромб на бифуркации лёгочной артерии.....


      Всего Доброго,
      Евгений И Чекашкин

      [ Ответить ]
    Re: SI joint injury
    Anatoly F. Lazarev 21 Декабрь 2004, 16:31
    Женя, привет! Поностью согласен с Джолдасом, только дал бы тягу за правую ногу по длине с гтперкоррекцией, а потмо наложил аппарат с 2-мя стержнями с каждой стороны в надацетабулярной зоне под острым углом друг к другу. Если же совсем упростить и сделать конфетку из ... то можно больног туго запеленать через крылья и вертелы и зашить - постельгый режим до 1,5 - 2 мес. А еще раньше мы таких лечили в гамаке. А сейчас, если ты помнишь наши разговоры о тазе - оперируем в cрочном порядке после подготовки из надлобкового доступа большими пластинами на 10 - 12 отв., которые позволяют после домоделирования восстановить конфигурацию тазового кольца и устранить смещение и спереди и сзади. Поднимать можно на следующий день без опоры на левую ногу на стороне порвежденного КПС, если хочешь м опорой - то надо еще 2 винта провести через КПС закрыто. ЛАФ.
    [ Ответить ]

    • Re: SI joint injury
      Отправитель: Evgueny Tschekashkin 22 Декабрь 2004, 16:23
      Анатолий Федорович, Приветствую,

      Спасибо за советы.
      Да, я помню метод лечения в гамаке или поясе Гельфердинга - при одноплоскостной горизонтальной нестабильности( неполное повреждение К-П сочленения в комбинации с разрывом симфиза), но за это время больной устает от врача и врач от больного - долго и нудно , да и проблемы с общим уходом.
      Поэтому ежели такой пациент попадает, то методом выбора для меня стал аппарат на переднее полукольцо с ранней мобилизацией на костылях и домой, а через 8 недель аппарат снимаю и повторные снимки. Хотя такой метод тоже далеко не идеален и не для каждого больного - проблема с инфекцией вокруг винтов ( разные люди и относятся к гигиене по-разному:-((, поэтому после обсуждения с вами и больным с определнными характерологическими чертами скорее думаю о фиксации пластиной на 4 винтах.
      Наблюдений мало, чтобы делать какие-то радикальные выводы, опираясь на свой опыт, но пока остановился на внутренней фиксации. Техника, предложенная Джолдасом, очень оригинальна: винтами фиксируется КП и одновременно переднее полукольцо - одним выстрелом - двух зайцев !!! Сложнее для
      меня обстоит дело с комбинированной (вертикальной и горизонтальной) нестабильностью.
      В представленном ранее случае вертикальное смещение левой половины таза было минимальным и после плэйтин лонного сочленения незначительное вертикальное и заднее смещение полутаза было устранено, поэтому задняя фиксация и не составила проблемы. Но это свежий случай, оперированный через неделю, отсроченная фиксация, видимо, не будет столь простой. У меня спонтанно сложился подход к стабилизации переломов таза с нарушением тазового кольца: сначала передний отдел (пластина), потом задний - 2 винта. Имея ввиду свежие случаи, у вас такая же последовательность или наоборот. Про фиксацию реконструктивной пластиной на 10-12 винтах в данном случае даже и не подумал (обещали привести тазовый набор, но как- то не очень уверенно- праздники и у основной массы рождественское настроение), к тому же слишком обширная диссекция тканей, когда можно было обойтись меньшей кровью, да и передняя колонна вроде бы не задействована... Помимо ранней активизации и эластического бинтования ног или чулков как вы проводите профилактику тромбоэмболий, как рано после травмы назначаете антикоагулянты.
      Обнимаю,
      Евгений

      [ Ответить ]

     

    ( Ответить )

    Powered by Zope  Squishdot Powered MedLink
    Посетитель: 0000083
      "По форме правильно, а по существу - издевательство" В.И.Ленин
    ©2001-2019Orthoforum Coordinator.
    [ Главная | Отправить сообщение | Поиск | Админ ]