вверх
отправить
поиск
админ
главная
Предыдущее
|
Re: открытый перелом мыщелков бедра, латерального плато большеберцовой кости. надколенника
Dr. Castro 16 Декабрь 2004, 02:20
|
Da, ito bila moda, odno vremjia! Ja imeio nibolshoi, no pechalny opit' s ispolzovaniem cementa s antibiotikom dla zakrevanjia kostnih defectov pre ostroi otkritoi traume v epimetafizarnih zonah:
Tak, sam ja premenial itot metod dva raza, i lechil 5 bolnih u kotorih cement bil' premenen drugimi vrachami, tolko u odnogo bolnogo iz vseh semy dela shli kak nado: u 5 iz nih zaregestrirovanna razlichnoi stepeny i flory infeksjii (v tom chesle flora chuvstvitelna k antibiotiku, kotory bil' so cementom!), u dvuh iz nih infeksia bila agressivnoi do ugrozoi amputasii konechnosty, a u teh, u kogo ni bila ita ugroza prehodilos' ili chastechno ili polnostio "inogda s horoshimi kuskami kosty" udaliat'! Ubezden, chto ni targocid ni kakoi drugoi antibiotik ni spasaet ot infeksii v takih sytuasiah. Na moi vzglad',da, mozno ispolzovat' itot metod "later on" i mozno vesty cement bez razrezov, pod "screen", kogda sytuasia budet bolee menee jasna v plane infeksii kostnoi tkany,no ni seachas. Poetomu, ja schitaio, chto doctor bil' prav, kogda on vzal posev s rany cherez 48-72 chasa posle traumy. Vot poetomu, daze te, kto bili jarie storoniky itogo metoda v nashei strany, nachili ot nego otkazatsa i stavit' dla ego premenenjia zestkie pokazanjia! Chto ze kassaetsa togo facta, chto Cement s antibiotikami ispolzuetsa dla zakrtii deffectov miakih tkany to Ja ni obladio opitom i informasio,
Sposibo za vnemanii
|
|
|
Ответить
|
Re: открытый перелом мыщелков бедра, латерального
Alexander Chelnokov 16 Декабрь 2004, 23:48
|
Коллега Кастро, а Вы не путаете описанное Джолдасом использование цементных бус или спейсеров с введением еще мягкого цемента в полость? Когда цемент полимеризуется уже в кости, с разогревом градусов до 150?
|
[
Ответить ]
|
Re: открытый перелом мыщелков бедра, латерального
Отправитель: Castro 17 Декабрь 2004, 01:12
|
Dr. Alexander
Vi imeete vvdeu antibiotic-impregnated cement interval spacers? dla lechenjia knee or hip prosthesis infection? Dumaio ni ob itom shla rech! Esli ja ni tak ponjial, to ja izveniaus' za "miss understanding"!
No daze Doctor, kotori demostriroval sluchai: pisal" sement mi ostavlaem dla "total knee replacement"- Ok, ja imeel vvedu, chto u nas bila odno vremjia "moda" ispolzoat' obichny " kostny cement s antibioticami dla zapolnenjia deffectov kostei v blizy sustavov, i ito praktika okazalas' porochnoi
Castro
|
[
Ответить ]
|
Re: открытый перелом мыщелков бедра, латерального
Отправитель: Evgueny Tschekashkine 18 Декабрь 2004, 15:15
|
Уважаемый Иван,
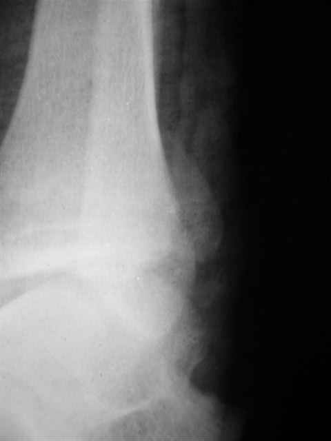
> Если Вас не затруднит, пришлите, пожалуйста, рентгенограммы. Я
> интересуюсь тактикой лечения повреждений голеностопного сустава.
> Хочется посмотреть, как лечат коллеги.
Ничего сверхъестественного, но если есть интерес, то в понедельник пересниму Рг-граммы и отправлю.
Всего наилучшего,
Евгений
|
[
Ответить ]
|
Re: открытый перелом мыщелков бедра, латерального
Отправитель: Evgueny Tschekashkin 19 Декабрь 2004, 23:02
|

Уважаемый Иван,
Я предупреждал, что ничего сверхъестественного. Каюсь, что одна из спиц прошла несколько дальше, чем нужно было, но главное - перелом стабилизирован и больной работает суставом в полном объёме, несмотря на представленную раннее травму коленного сустава.
Всего вам Доброго,
Евгений И Чекашкин
|
[
Ответить ]
|
|
Re: открытый перелом мыщелков бедра, латерального
Djoldas Kuldjanov 18 Декабрь 2004, 10:24
|

Уважаемый Др. Кастро,
Да, у вас небольшой, всего 7 случаев, опыт с цементом. Пожалуйста назовите Вашу страну и адрес, возможно, производители цемента найдут новые маркетинговые возможности для своего продукта, может, какая то доля процента достанется нам с Вами (шутка).
Не желая быть "Salesman, рекламирующим цементные продукты" только на основании личного опыта, могу убедительно сказать, что цемент с антибиотиком бесспорно помогает в лечении тяжелых форм инфекции с мягкоткаными и костными дефектами.
Впервые цемент в ортопедической практике применил Otto Rohm в Германии, в 1960 Bucholz применил с антибиотиком и по данным Keating et al 1996 уменьшение инфекции открытого перелома голени с 16% до 4% - Reamed Nailing of Open Tibial Fractures: Does the Antibiotic Bead Pouch Reduce the Deep Infection Rate?
JF Keating, PA Blachut, PJ O'brien, RN Meek, and H. Broekhuyse. J. Orthop. Trauma. 1996. Vol 10, No 5. p 298-303.
Effectiveness of bone cement containing tobramycin. An in vitro suseptibility study of 99 organisms found in infected joint arthroplasty. CP Scott et al. JBJS. Vol 81-B. No 3. May 1999 p. 440
Только две публикации из множества, которые можно посмотреть в интернете, доказывающие, как широко цемент с антибиотиком применяется в ортопедической практике.
Palacos или Simplex cement, Тobramycin, Vancomycin, Gentamycin (Septopal), Erithromycin, Cefazolin -компоненты для приготовления цемента с антибиотиком и по форме могут быть различными: бусы, интрамедуллярный штифт, просто цилиндрический блок в диафизе. Обычно цемент в любой форме не применяется для закрытия эпиметафизарных дефектов при острой травме, если только кость остеопорозная и не держит шуруп, тогда показано применение цемента, который вводится через просверленные отверсия, затем вводится шуруп.
Для приготовления "бус" не обязательно пользование "Bead Maker" как на картинке в предыдущем выступлении, обычные шарики из цемента, с проведенной ниткой, применяются для заполнения (spacer) при дефектах костей и мягких тканей. При инфицированном ложном суставе трубчатых костей (бедро и голень) применяется антибиотический штифт.
Для лечения инфицированного ложного сустава после удаления инфицированного штифта, проводим reaming канала на пару миллиметров больше диаметром, в хорошо промытый инфицированный канал вводится
приготовленный антибиотический гвоздь.
По контуру удаленного гвоздя, т.е. соблюдением кривизны из 3.2 мм длинной спицы-направителя делаем внутренную арматуру гвоздя с кольцом или изгибом в концах для облегчения последующего удаления, потом спица помешается в трубку 10 мм в диаметре от Chest tube, приготовленный антибиотик с цементом заливается в трубку с одного конца, после затвердения цемента трубка срезается и
гвоздь с антибиотиком готов.
Рану закрываем как обычно при интрамедулляроном остеосинтезе, через пару недель, если рана закрыта и нет признаков инфекции, то производится смена на настоящий металлический штифт, опять же с просверливанием канала на мм диаметр больше.
Вся идея в закрытии мертвого пространстыа в канале, иначе возможность инфицирования собравшейся гематомы.
По этому принципу лечения мягкотканых дефектов, т.е. чем меньше пространство, тем меньше возможность инфицирования.
С уважением,
Джолдас Кулджанов
|
[
Ответить ]
|
( Ответить )
|
|