вверх
отправить
поиск
админ
главная
Предыдущее
Весь тред
|
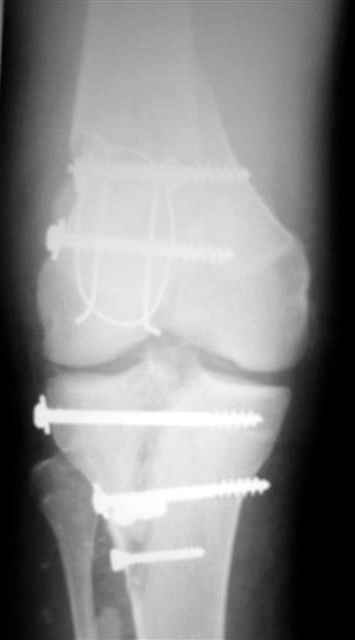
Re: открытый перелом мыщелков бедра, латерального
Alexander Chelnokov 14 Декабрь 2004, 18:23
|
ET> обработку и внешнюю фиксацию, картинки в приложении.
Т.е. все сделано оптимальным образом.
ET> При обработке опять иссекал ушибленные неркотизированные мышцы, частично
ET> кожный лоскут( явные признаки демаркации).
А контузионный некроз был виден сразу, увы, тут невозможно спасти было этот "пятак". Иногда мы пытаемся этот участок мумификации сохранить в качестве "биологической повязки", чтобы он хоть кость изолировал от воздуха, а под ним с краев наползали бы грануляции.
ET> связка надколенника разволокнена и выглядит едва ли
ET> жизнеспособной, пришлось частично убрать * лохмотья*.
ET> Беда в том , что иссекая нежизнеспособные ткани происходит
ET> обнажение кости
Еще, бывает, заливаем такие участки водорастворимыми мазями типа левомеколя - без особого успеха. Джолдас и его коллеги за океаном -
кладут цементные бусы с антибиотиком, специальную губку, покрывают пленкой и создают вакуум под ней.
ET> Образовался обширный дефект наружной группы мышц.Литров 10
ET> стерильного физ раствора извел на промывание раны.
Обеспечивает ли увеличение количества литров пропорциональное повышение жизнеспособности тканей?..
ET> Жду результатов посевов раневого отделяемого.
Мне кажется, нет большой разницы, что сейчас там сеется. Некроз уже есть, он обусловлен собственно травмой, т.е. механическими факторами, не микробами. Ну поселится там что-то, безусловно, но развиться вряд ли ты позволишь - все поверхности открыты, все дренируется, удается провести полноценный туалет. Если в плане - закрытие полнослойным лоскутом с микрососудистым анастомозом через 5-7 дней, то действительно бы сделать местное депо антибиотиков (beads). А если
нет, т.е. ждать грануляций, то неспецифических местных мер должно быть достаточно безотносительно к посевам.
|
|
|
Ответить
|
Re: открытый перелом мыщелков бедра, латерального
Evgueny Tschekashkin 14 Декабрь 2004, 18:25
|
> Еще, бывает, заливаем такие участки водорастворимыми мазями типа
> левомеколя - без особого успеха. Джолдас и его коллеги за океаном -
> кладут цементные бусы с антибиотиком, специальную губку, покрывают
> пленкой и создают вакуум под ней.
Левосин и левомиколь.... По рекомендации Джолдаса съимпровизировал вакуумное дренирование ран, посмотрим как эта система работает, картинки отправлю отдельной почтой. Некроз кожного лоскута прогрессирует.....
> ET> Образовался обширный дефект наружной группы мышц.Литров 10
> ET> стерильного физ раствора извел на промывание раны.
>
> Обеспечивает ли увеличение количества литров пропорциональное
> повышение жизнеспособности тканей?..
Не думаю, чтобы промывание оказывало какой -либо эффект на жизнеспособность тканей скорее просто механическое удаление бактериальной пленки.
> ET> Жду результатов посевов раневого отделяемого.
>
> Мне кажется, нет большой разницы, что сейчас там сеется. Некроз уже
> есть, он обусловлен собственно травмой, т.е. механическими факторами,
> не микробами. Ну поселится там что-то, безусловно, но развиться вряд
> ли ты позволишь - все поверхности открыты, все дренируется, удается
> провести полноценный туалет. Если в плане - закрытие полнослойным
> лоскутом с микрососудистым анастомозом через 5-7 дней, то
> действительно бы сделать местное депо антибиотиков (beads). А если
> нет, т.е. ждать грануляций, то неспецифических местных мер должно быть
> достаточно безотносительно к посевам.
Микрохиругии у нас нет, поэтому закрытие лоскутом на сосудистой ножке отпадает.
Вакуумное дренирование и ожидание грануляций и окончательной демаркации, посмотрим дальше, может быть, возникнет необходимость повторной обработки,
пока боли стихли, температура нормализовалась.
Евгений И Чекашкин
|
[
Ответить ]
|
Re: открытый перелом мыщелков бедра, латерального
Evgueny Tschekashkin 14 Декабрь 2004, 18:41
|

Вид раны на сегодня...
4 cутки после травмы.
|
[
Ответить ]
|
Re: открытый перелом мыщелков бедра, латерального
Отправитель: Castro 15 Декабрь 2004, 02:17
|
Ja niskolko dnei nabludaio za itim bolnim, Kraene tiazelia trauma! Kak on kstate sebjia (in General status) chuvstvuet? Daete li Vi emu nizkomolekularny hyparin? Esli da, to kakoi? V kakih dosirovkah?
Da, Kollega, Vi sdelali velikuio rabotu, i mene kazitsa, chto luche>>>> PROSTO NILZA, chto ze kassaetsa Gubky i cement s antibiotikami, to NI ZALAETE, chto ego u Vas net, ITO LUCHE dla Vashego patienta, chto ego net!
Po drugomu stoiat dela s plasticheskoi hirurgii,, ito bessporno pomoglo bi Vashego bolnogo. Bog v pomosh,
Yours Castro
|
[
Ответить ]
|
Re: открытый перелом мыщелков бедра, латерального
Отправитель: Иван Сиротин 15 Декабрь 2004, 21:54
|
А чем так плохи губки с антибиотиком?
|
[
Ответить ]
|
Re: открытый перелом мыщелков бедра, латерального
Отправитель: Evgueny Tschekashkin 16 Декабрь 2004, 09:08
|
Уважаемый Д-р Кастро,
Спасибо за комментарии. Травма тяжелая с проблематичным прогнозом для функции коленного сустава( изначально травма разгибательного аппарата с последующим частичным некрозом собственной связки надколенника и о обнажением рефиксированного фрагмента бугристости большеберцовой кости, дефектом центрального отдела суставной поверхности большеберцовой кости и медиального отдела капсулы сустава).
Общее состояние вполне приличное, температура до 37 гр.,при поступлении Гб -9 г/л, после обработки на следующий день 5,5 г/л, поэтому перелили 3 дозы Эр.массы. Боли на удивление в покое не беспокоят (для обезболивания - панадол)
Низкомолекулярный гепарин не назначал (хотя наверное и имело смысл) только аспирин 150 мг ежедневно.
Продолжаем вакуум дренирование раны (отделяемого практически нет). Учитывая отсутствие болей, нормальную температуру, отсутствие активной инфекции (5 сутки с момента травмы) взял на себя смелость отменить антибиотики - нет показаний для продолжения, судя по клиническим проявлениям и адекватности дренирования ран воспалительный процесс локализовался, на завтра планирую перевязку с продолжением вакуум дренирования и посевом из раны.
Спасибо за пожелания и добрые слова,
Евгений И Чекашкин
|
[
Ответить ]
|
|
( Ответить )
|
|