вверх
отправить
поиск
админ
главная
|
Фиксация вертлужного компонента? |
 |
 |
 |
Отправлено Leonid Pollyak 05 Декабрь 2004, 17:16
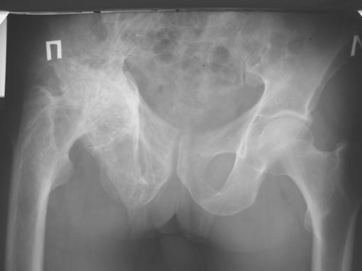
Больной 55 лет, страдает болезнью Педжета. Сформировалась грубая сгибательно-приводящая контрактура, ортопедическое укорочение 6см, движения в суставе - минимальные. Вызывает сомнение стабильность фиксации вертлужного компонента.
<
|
>
|
|
Ответить
|
Re: Фиксация вертлужного компонента?
Ильдар Ф. Ахтямов 05 Декабрь 2004, 17:17
|
Привет, Леонид Наумович!
Мне кажется, что бесцементная чашка "пресс-фит" встанет без особых проблем и будет стабильна, возможна и установка чашки типа Цваймюллера. АИФ.
|
[
Ответить ]
|
Re: Фиксация вертлужного компонента?
Виктор П. Волошин 05 Декабрь 2004, 21:47
|
Леонид Наумович, есть ли альтернатива(кроме - не оперировать)?
Ваши сомнения представляются обоснованными из-за качества кости. М.б. при достаточном размерном выборе получится плотная посадка полусферического компонента, но я бы имел в виду и укрепляющие опоры RRM или RCB-S и цементирование чашки.
Не совсем по этиологии: псевдоартроз шейки с большим смещением у больной ССДермией, гормонально тучной, не умеющей произвольно напрягать мышцы, с остеопорозом, когда на РТГ кость прозрачная, а при операции под пальцем "дышит" как губка, леваторами не упрешься - только на крючках, а ягодичные мышцы подшить к вертелу (ибо они давно от него отделились)все равно что к хлебному мякишу. Антилюксационную чашку ставить - быстро раскачается, обычную - так же быстро вывихнется. Поставили на цемент обычную, очень деликатно убрав суставной хрящ - вывих головки через несколько недель, закрытое вправление и повторный вывих. "На цыпочках" с еще большими трудностями, с потерей кости из впадины переставили на антилюксационную - раскачалась с вывихом через 2 мес. Тогда рекомендовал миакальцик + CaD3никомед и еще раз повторили замену вертлужного компонента на стандартный с козырьком через 3 мес. : поразился, что кость за это время действительно стала прочнее. Мышцы удалось подшить. 5 мес. п/о пока не вывихивается и не раскачивается.
А как Ваша дама с дисплазией?
ВВП
|
[
Ответить ]
|
тХЙЯЮЖХЪ БЕПРКСФМНЦН ЙНЛОНМЕМРЮ?
Nikolaj Wolfson 07 Декабрь 2004, 10:37
|
Hello Leonid:
I would treat Paget▓s as any other arthritic joint.
In my experience there is no problem using press fit cup. Make sure you have large sizes. The acetabulum is in protrusio (medialized). When you bring it out with a large cup and use femoral component with appropriate size neck you will lengthen this patient▓s leg. Concern: sciatic nerve. While traditional 2.5 cm lengthening is the maximal amount without risking much sciatic nerve (reference?), in situation like this, when shortening took place gradually, even larger amount of lengthening can be done safely. Take into account 2 factors when you deal with the short extremity:
1. Shortening is due to the flexion contracture of the hip, and when you release it you will lengthen the extremity
2. Fixed pelvic obliquity: check it before the operation. If you do not take it into account, while the pelvic x ray may look very accurate the functional leg length is not the same.
If you have electodiagnostic tools you may use them during the operation to monitor condition of the sciatic nerve.
Good luck,
Nikolaj Wolfson, MD, FRCSC
West Virginia
|
[
Ответить ]
|
Re: Фиксация вертлужного компонента?
Волокитина Елена Александровна 07 Декабрь 2004, 13:16
|
Уважаемый Леонид Наумович!
Согласна с Ильдаром Фуатовичем, что оптимальной будет пресс-фит чашка, а пластику протрузионного дефекта дна впадины выполнить костной крошкой, что позволит устранить излишнюю медиализацию имплантационного ложа. Для мобилизации бедра выполнить возможные тено-,мио-, фасциотомии.
С уважением Е.А.Волокитина
|
[
Ответить ]
|
Re: Фиксация вертлужного компонента?
Марикин МВ 17 Январь 2005, 23:10
|
Уважаемый Леонид Наумович.
Как Вы смотрите на установку резьбовой чашки V-Type (Waldemar Link) при протрузионном коксартрозе. Суть ее в плоском дне. Что позволяет выполнять аутопластику в оптимальном количестве после установки чашки. Мне кажется это не плохой вариант. Позвоните при желании.
Марикин МВ
|
[
Ответить ]
|
( Ответить )
|
|