AOTRAUMA.ORG Центр Илизарова  

Ортопедия и травматология Общие вопросы/General questions Help Информационные технологии в медицине
 вверх
 отправить
 поиск
 админ
 главная
 Предыдущее
 Весь тред


Re: Перелом шейки плеча
Evgueny Tschekashkin 01 Декабрь 2004, 00:27
Джолдас, Здравствуйте,

Признаться не думал, что представленный случай вызовет такой интерес на ортофоруме :-))
Казалось бы обычный перелом хирургической шейки плеча, с которыми нередко приходится сталкиваться (4-6% по статисткие) в жизни и у каждого травматолога тактика лечения не вызывает сомнения....
Но методика, предложенная Анатолием Фёдоровичем, эффективная и простая на первый взгляд, имеет свои *подводные камни* как оказывается...
Сегодня взял больного повторно в операционную, не скажу, что повторная репозиция через неделю после первой попытки, была простая.
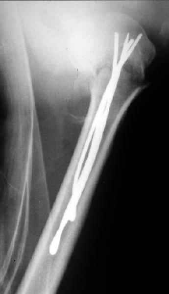
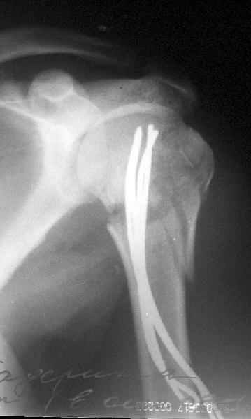
После удаления спиц попытался манипулировать отломками, но безуспешно, поэтому пришлось пользоваться периостальным элеватором, чтобы устранить смещение отломков и перепровести спицы. Проверил и перепроверил стабильность фиксации под ЭОПом, завтра Рг- будет готов, вот и поглядим....

>Пока я пользуюсь методикой принятой у нас (методика Сиэтла), также перкутанный спицевой метод, только сцицы 2.8 мм с резбой на конце.

Обычно перкутанной фиксацией спицами я пользовался у детей и подростков при проксимальных эпифезеолизах, концы загибал и погружал подкожно. Но несмотря на *простительные* процессы сращения у детей с удивительной перестройкой костной мозоли, детишки не очень охотно мобилизовали плечевой сустав, в основном активные движения появлялись только после удаления спиц через 3-4 недели. Очевидно, это связано с миофасциодезом дельтовидной мышцы. В обсуждаемой технике миофасциодеза не возникает так как выступающая спицевая петля находится под мышцей, периоссально, обеспечивая свободное скольжение мышечных волокон, а следовательно и свободу движений.
Именно эти моменты+ дешевизна спиц и делают эту методику доступной практически в любых условиях (актуально для африканского государственного госпиталя). Хотя сейчас, пройдя через *подводные камни* понял , что для быстроты и простоты самой хирургии необходимо пользоваться drill sleeve and
wire guide, позволяющим ротировать пучок при его введении в головку (как объяснил Анатолий Ф.) Чтобы не терять время на поиск входного отверстия под мышцей удобно пользоваться drill sleeve 6,5 мм, удерживая его на кости после сверления отверстия, через него же провести и спицевой пучок, единственный момент который надо учитывать - чтобы размер петли не превышал диаметра протектора иначе придется начинать все сначала или в качестве альтернативы пользоваться разъёмными протекторами.

Спасибо за презентацию вашего случая. Две недели назад у меня был больной с переломовывихом плеча , правда, 4 недельной давности :-((( больной из отдаленной деревни). Закрыто сделать ничего не удалось естественно, при попытке открытого вправления головки она *рассыпалась* на фрагменты и суставной хрящ представлял из себя egg shell, поэтому пришлось ограничиться удалением фрагментов головки и физиотерапией. При таких ситуациях артропластика показана, но к сожалению нет такой возможности в местном госпитале - только в частном :-((

Всего Доброго,
Евгений И Чекашкин
  • Сообщения о Ортопедия и травматология
  • Также Evgueny Tschekashkin
  • Связаться с автором
  • Ответить

    Re: Перелом шейки плеча
    Alexander Chelnokov 01 Декабрь 2004, 00:42


























    ET> быстроты и простоты самой хирургии необходимо пользоваться drill sleeve and
    ET> wire guide, позволяющим ротировать пучок при его введении в головку ( как
    ET> объяснил Анатолий Ф.)Чтобы не терять время на поиск входного отверстия под
    ET> мышцей удобно пользоваться drill sleeve 6,5 мм, удерживая его на кости
    ET> после сверления отверстия, через него же провести и спицевой пучок,

    Как я видел в ЦИТО, используется инструмент-направитель типа зажима с браншами в виде разъемной трубки, наподобие тех, что ЛОРы суют в нос и ухо.

    ET> единственный момент который надо учитывать - чтобы размер петли не превышал
    ET> диаметра протектора иначе придется начинать все сначала или в качестве
    ET> альтернативы пользоваться разъёмными протекторами.

    Да. У нас довольно скромный опыт такого остеосинтеза (по 2 случая - плечо и наружная лодыжка), дошли до использования самого простецкого троакара, через который мы сверлим кость и вводим 6 мм стержни, когда накладываем аппарат. Соответственно, в качестве забойника отлично работает любой стержень от аппарата Илизарова. Еще из наших туземных особенностей - страшная любовь к спицевым дистракторам, поэтому делали в нем. Результат у этой дамы неизвестен, т.к. она из области и уехала рожать сразу после остеосинтеза, сейчас прошло больше 5 месяцев...
    Что-то, наверно, сделали мы не совсем оптимально, поскольку у Анатолия Федровича и его соратников как-то красивее "раскрываются" спицы в головке плеча - надеюсь, он прокомментирует и подскажет, что надо подправить.
    [ Ответить ]


    ( Ответить )

    Powered by Zope  Squishdot Powered MedLink
    Посетитель: 0000008
      "По форме правильно, а по существу - издевательство" В.И.Ленин
    ©2001-2019Orthoforum Coordinator.
    [ Главная | Отправить сообщение | Поиск | Админ ]