AOTRAUMA.ORG Центр Илизарова  

Ортопедия и травматология Общие вопросы/General questions Help Информационные технологии в медицине
 ВХОД ДЛЯ ПАЦИЕНТОВ
 вверх
 поиск
 админ
 главная
 исходное
 последующие


Re: Hip joint
послал Djoldas Kuldjanov 23 Ноябрь 2004, 18:11













































Уважаемые друзья,

a>>> Это касается и клиновидных резекций.

AC>> Какая у тебя точка зрения на клиновидные остеотомии?

a>Точка зрения - резко отрицательная.

Как я понял из выступления - резковато отрицательная реакция к клиновидной остеотомии…, или мой ограниченный русский язык не дает полную картину, о чем Александр пишет. Что имелось ввиду - рекомендации только поперечной остеотомии? И я не уверен, что с этим мнением согласятся все участники форума.

a> ”Представьте себе, во что обходится вырубание клина: большой
a> разрез, кровопотеря, выпиливание с какими-то мнимыми расчетами
a> каких-то углов. Сколько знаю, всё это выливается в так называемые
a> технические трудности. В итоге - укорочение, рубцы, в проксимальном
a> отделе б/б кости - повреждение малоберцового нерва, неадекватная
a> коррекция и пр.”

Как в фильме ужасов….

Как же без предоперационного плана при реконструкционных работах, без расчета, расчет градусов, почему только аппаратом Илизарова (никто не оспаривает преимущество метода), даже метод Илизарова тоже требует расчета, и еще ведь существуют и другие методы коррекции и фиксации.

a> Но должен сказать, что клиновидная остеотомия неубиваема.

Согласен.

AK> -Полностью с Вами согласен, хотя никогда в жизни мне не
AK> приходилось делать клиновидную остеотомию. Но как-то и надобности
AK> не возникало. Всегда хватало и поперечной. А без иллюстрации
AK> остеотомии бедра по Богоразу учебник был бы не так красив;

Интересная мысль.

AP> Вы хотите этим сказать, что можно при одномоментной коррекции до
AP> 25 град оставить диастаз. Вопрос, почему именно 25 град. Не
AP> припоминаю, работ обосновывающик такую тактику, в т.ч. и из Кургана

Ничего не понимаю, при чем эти магические 25 градусов, откуда взяли эти цифры? Что за работа?

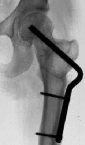
Несколько снимков из моей коллекции, чтобы разьяснить, почему мы до сих пор делаем различные варианты остеотомии.

На рисунке N1 предоперационный план лечения ложного сустава шейки бедра- линия ложного сустава, угол и направление введения импланта, клиновидная остеотомия в градусах и миллиметрах, второй снимок после коррекции, расчет, на сколько удлиняется конечность и размеры импланта;
N3 рисунок окончательный снимок, после операции моя рентгенограмма должен выглядеть примерно как эта картина. На N4 снимке клин перед удалением; N5 послеоперации 3 нед.; N6 окончательная рентгенограмма.
(доложен в Ст. Петербурге 2003 и в Москве 2004)

варус при проксимальном отделе 95 градусной пластиной.


С уважением Джолдас
Кулджанов


Послать ответ

Имя
Email
Уведомление Сообщить мне по e-mail об ответах на это сообщение
Название
Комментарий
(Проверьте URL! Не забудьте написать http://!)
Кодировка
Если не знаете, что выбрать, выберите "Просто текст"!
Приложение
Можно приложить к сообщению файл c изображением, который затем будет доступен увидевшим сообщение.
Подготовка иллюстраций:
  • Рентгенограммы: черно-белые полутоновые изображения в формате JPEG (8 bit, greyscale) с разрешением от 300х200 до 1024х768 пикселов;
  • Клинические фотографии: полноцветные изображения в формате JPEG (24 bit, truecolor) с разрешением от 300х200 до 1024х768 пикселов;
  • Схемы и рисунки: черно-белые (2 bit) штриховые (line-art) изображения в формате GIF или compressed TIFF
  • Подберите степень сжатия файла JPEG и размер изображения таким образом, чтобы необходимые детали были различимы, но размер файла не превышал 75 кб.
  • Учтите, что текущая версия программного обеспечения Форума позволяет приложить к одному сообщению лишь один файл-вложение. Поэтому, если необходимо отправить несколько изображений, можно либо послать каждое как отдельное сообщение, либо в графическом редакторе объединить изображения в одно (сделать коллаж).
  • Если при подготовке изображений встречаются трудности, не стесняйтесь обратиться к координатору Форума.

  • Введите видимые символы в обратном порядке. Enter the above characters in reverse order (*Обязательно)
    В тексте сообщения можно использовать теги HTML <B> <I> <P> <A> <LI> <OL> <UL> <EM> <BR> <TT> <HR> <STRONG> <BLOCKQUOTE> <DIV .*> <DIV> <P .*>
  • Обратите внимание: Поля с жирными названиями обязательны.
  • Старайтесь отвечать в рамках обсуждаемой темы, а не начинать новые обсуждения.
  • Указывайте адекватную тему сообщения, чтобы было ясно, о чем оно.
  • Не послайте сообщений не по теме (оффтопик), раздраженных, грубых или обидных комментариев. Здесь это неуместно.
  • Powered by Zope  Squishdot Powered MedLink
    Посетитель: 0028723
      "По форме правильно, а по существу - издевательство" В.И.Ленин
    ©2001-2019Orthoforum Coordinator.
    [ Главная | Отправить сообщение | Поиск | Админ ]