AOTRAUMA.ORG Центр Илизарова  

Ортопедия и травматология Общие вопросы/General questions Help Информационные технологии в медицине
 вверх
 отправить
 поиск
 админ
 главная
 Предыдущее


Re: Hip joint
Djoldas Kuldjanov 18 Ноябрь 2004, 00:16












































Со всеми рекомендациями согласен, и по этой схеме хотели продолжить наше обследование, но учитывая то, что вывих не смогли вправить, решение приняли - ургентно оперерировать.

Утро:
5:10 Поступил больной в приемное отделение, врачами приемного назначается рентгенограмма.

5:24 Рентгенограмма таза, вызывают врача ортопеда (снимок N1), его диагноз: закрытый переломо-вывих правого тазабедренного сустава, получает добро на закрытую репозицию в приемном отделении

5:38 Дважды неудачная попытка закрытой репозиции в приемном отделении
N 2

6:20 ответстенный врач принимает решение о репозиции в условиях операционной, предупреждаются родственники и больной, что при неудачной закрытой репозиции, о возможности открытой репозиции и фиксации задней стенки вертлужной впадины.

7:30 начало операции, больной на спине, попытка репозиции после анестезии N3, укладка больного на боку, доступ Kocher- Langenbeck, состояние седалищнего нерва около 2.5см кровоподтек, через joistick головка бедра приподнята, освобовождение сустава, фрагмент заднего края более 3х4 см репонирован на свое место. После промывания
сустава, репозиция вывиха (N4), фиксация фрагмента 2.7(4) мм шурупами и допольнительно реконструктивной пластиной на 8 дырок, фиксация 3.5мм шурупами проксимально и дистально.
Интраоперционные N5 косая запирательная и N6 подвздошный снимок

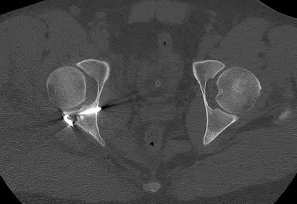
11:50 больной в послеоперационной, рентгенограмма N7, компьютерная томограмма в тот же день N8-10

Через 48 часов первая перевязка, пареза седалищного нерва нет, удаление дренажных трубок Начало физиотерапии, движение в суставе до 30 градусов сгибания и до полного разгибания, вставание на костыли без нагрузки, назначение Indocin по 25 мг три раза в день для профилактики гетеротопической оссификации.

Третий день Послеоперационная рана сухая, назначена профилактическая доза (тромбоз) Lovenox 30 mg. Перед выпиской доплер сосудов нижных конечностей. Выписан, продолжение физиотерапии и явка на осмотр через две недели.

Джолдас Кульджанов
  • Сообщения о Ортопедия и травматология
  • Также Djoldas Kuldjanov
  • Связаться с автором
  • Ответить

    Re: Hip joint
    Alexander Chelnokov 18 Ноябрь 2004, 00:50
    k> Со всеми рекомендациями согласен, и по этой схеме хотели продолжить
    k> наше обследование, но учитывая то, что вывих не смогли вправить,
    k> решение приняли - ургентно оперерировать.

    Замечательный, можно сказать, образцово-показательный случай. Все сделано настолько правильно и своевременно, что аж дух захватывает, и радуешься за коллег. "Я вам не скажу за всю Одессу", но в нашем уральском регионе ни в одной больнице так лихо подобный случай не был бы "прокручен". В нашей клинике было бы в конце концов сделано что-то подобное, но спустя энное время, необходимое для решения организационных проблем с переводом больного плюс оперировали бы не раньше 2-3 дня с момента поступления...

    k> Третий день Послеоперационная рана сухая, назначена профилактическая
    k> доза (тромбоз) Lovenox 30 mg.

    У нас он, видимо, известен как клексан. На сколько назначаете после травм таза, бедра? Какие еще методы профилактики тромбозов широко используются на практике в Ваших условиях?

    k> Перед выпиской доплер сосудов нижных конечностей. Выписан,
    k> продолжение физиотерапии

    Что подразумевается под "физиотерапией"? Уж наверно, не токи Бернара и электрофорез? Как, кстати, вообще в US с физиотерапией в советском
    понимании - все эти бесконечные электроаппараты, терапевтические лазеры, грязи и массаж?

    k> и явка на осмотр через две недели.

    А эти две недели пациент будет дома?
    [ Ответить ]

    • Re: Hip joint
      Отправитель: Djoldas Kuldjanov, M.D. 19 Ноябрь 2004, 23:58

      Спасибо за комментарии и одобрительные слова, увы, не всегда так гладко, как в этом случаи.

      Продолжая эту тему - как бы наши другие коллеги поступили бы примерно при этом сценарии, какой доступ считается более адекватным, если больной поступает, например, ночью, и какой послеоперационный режим?

      k> Третий день Послеоперационная рана сухая, назначена
      k> профилактическая доза (тромбоз) Lovenox 30 mg.

      AC> У нас он, видимо, известен как клексан. На сколько назначаете
      AC> после травм таза, бедра? Какие еще методы профилактики тромбозов
      AC> широко используются на практике в Ваших условиях?

      Профилактике тромвоза уделяем очень серьезное внимание в лечении травматических больных, особенно с политравмой - множественными переломами конечностей в сочетании с травмой живота, грудной клетки и больных "вскормленных продуктами МасДональдс" с повышенным весом, из-за их неподвижности.
      Работаем вместе с хирургами-травматологами (в штатах все травмированные больные поступают, как больные хирургической службы, ортопед выступает в качестве консультанта), т.е. мы даем рекомендации о проведении профилактики тромбоза, совместно решаем о проведении фильтра - вена кава фильтр (см. приложение).









      Если вена кава фильтр, хирурги проводят эту процедуру, а медикаментозную профилактику назначаем сами.
      Из лекарств: Lovenox, Heparin, Arixtra, Fragmin, каждый на свое усмотрение, почему-то общие хирурги предпочитают гепарин, хотя за последнее 6-7 лет кому не лень проводили исследования профилактики тромбоза, но к консенсусу не пришли, ортопеды-травматологи - Lovenox, Hip and knee reconstructive Surgeons - Arixtra, персонально считаю - кто с чем работает, тем и пользуются.

      Продолжения антикоагулянта до условной активности больного, если больной самостоятельно передвигается с помощью костылей, считаю, можно решить о прекращении профилактики.

      k> Перед выпиской доплер сосудов нижных конечностей.

      Больные с ацетабулярными и тазовыми переломами, идущие на операцию, по протоколу исследуется до операции на состояния сосудистой системы доgплером, который повторяется после операции перед выпиской (были множество случаев позднего развития ДВТ в после операционном периоде)


      AC> Что подразумевается под "физиотерапией"? Уж наверно, не токи
      AC> Бернара и электрофорез? Как, кстати, вообще в US с физиотерапией в
      AC> советском понимании - все эти бесконечные электроаппараты,
      AC> терапевтические лазеры, грязи и массаж?

      Нет конечно, под physical therapy (PT) мы понимаем реабилитацию - терапию на разработку, доведения больного до предтравматической кондиции с помощью различных методов восстановления:
      -например, механическими средствами: CPM – Continuous Passive Motion machine, т.е. каждый больной имеет со второго дня получают механическую машину для разработки конечности, у которой регулируется доза и амплитуда.

      -с помощью подключенных в реабилитационный процесс больничных физикал терапистов, кстати, утренний обход они делают с нами и получают назначения, что делать на сегодня. Они решают, насколько безопасно без риска можно выписать больного домой, т.е. оценивают амбулаторный статус, ставят они на костыли или walker.

      По их параметру - больной передвигается безопасно с костылями, тогда больной выписывается домой, если нет - больной отправляется в реабилитационные больницы, где доводятся до кондиции в течение нескольких дней.

      Еще зависит от социального фактора, одинокий или нет, сколько ступеней в доме, на эти вопросы в ответе службы социального сервиса в каждой больнице, которым решать судьбу больного.
      Врачу нет необходимости ломать голову, куда отправить "бомжа”, и я помню трудности в старые союзные времена, выписать бомжей и одиноких пожилых больных после перелома шейки бедра, кстати, здесь они идут в приют, где даже делают перевязки.


      Имеем физиотерапию, как прывыклы в союзе, но в таком зачаточном состоянии, мало кто понимает вообще физиотерапию, все больные опять же получают двигательные упражнения, как в фитнес клубах.


      Джолдас Кульджанов


      [ Ответить ]

     

    ( Ответить )

    Powered by Zope  Squishdot Powered MedLink
    Посетитель: 0043705
      "По форме правильно, а по существу - издевательство" В.И.Ленин
    ©2001-2019Orthoforum Coordinator.
    [ Главная | Отправить сообщение | Поиск | Админ ]