AOTRAUMA.ORG Центр Илизарова  

Ортопедия и травматология Общие вопросы/General questions Help Информационные технологии в медицине
 ВХОД ДЛЯ ПАЦИЕНТОВ
 вверх
 поиск
 админ
 главная
 исходное
 последующие


Re: Сращение - что это такое?
послал Alexander Chelnokov 25 Сентябрь 2004, 14:41














JOM> Я решил ответить на английском языке, чтобы коллеги, не знающие
JOM> русский могли присоединиться к нашей дискуссии.

Сомневаюсь, поскольку она изначально была на русском.

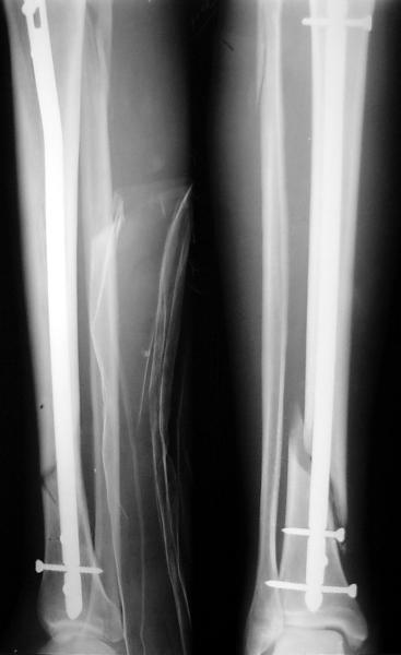
JOM> Вы не послали послеоперационный снимок, поэтому трудно судить о
JOM> состоянии редукции после операции.

А зачем о ней судить - речь ведь не об этом. Мы, помнится, обсуждали возможность ранней нагрузки после остеосинтеза.

JOM> Установка с медиальной стороны гвоздя в области дистального фрагмента
JOM> дополнительного шурупа помогло бы Вам репонировать и удержать перелом

Да, конечно. Но сочли, что и достигнутое положение приемлемо. Тем более, для non-compliant и low demanding пациента.
А если вспомнить лечение аналогичных повреждений функциональными брэйсами (Sarmiento), там рентгенограммы могут быть еще менее привлекательными, однако результаты вполне приемлемы.

JOM> Кстати, если можно пошлите послеоперационный снимок.

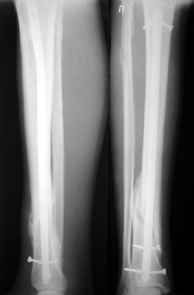
Ok. А также и следующий, в 3 месяца.

JOM> не очень хорошее решение вопроса, аппарат Илизарова или Тэйлора,
JOM> позволяющие призвести закрытую анатомическую редукцию и отличное

Конечно, чем ближе перелом к суставу, тем больше стрелка нашего "компаса" поворачивает в сторону аппарата. Но все же этот перелом - далеко не самый дистальный, который может быть с успехом вылечен на гвозде. Ну и, как Вы знаете, аппарат у недисциплинированных больных может не только не решить имеющиеся, но и создать новые проблемы.

JOM> Пример, приведённый Вами в нашей дискуссии по времени нагрузки после
JOM> остеосинтеза не совсем удачный...

Это наглядная демонстрация возможности ранней полной нагрузки при нестабильном по оси повреждении, причем не в самых благоприятных механических условиях - при плохом сопоставлении, со слабым фиксатором.

JOM> Ваш больной имеет счастье, что первым согнулся проксимальный
JOM> замыкающий винт, а не дистальный и гвоздь не пенетрировал

Это не счастье, а тонкий инженерный расчет ;-))
Сверху - один статический винт, а снизу - три. Что раньше сломается? Конечно, он потом и нижние сломал, и Вы правы, если бы верхний динамичесий винт уже уперся бы в нижний край отверстия, будь гвоздь подлинее, перфорировал бы сустав как пить дать.

Как я уже говорил, мы сделали выводы из этого и других подобных случаев. Очевидно, решений проблемы два - либо уменьшить нагрузку, либо увеличить прочность фиксатора. Первое решение работает не со всеми больными, так что пошли по второму пути - мы больше не используем гвозди с запирающими винтами диаметром 4 мм.
Послать ответ

Имя
Email
Уведомление Сообщить мне по e-mail об ответах на это сообщение
Название
Комментарий
(Проверьте URL! Не забудьте написать http://!)
Кодировка
Если не знаете, что выбрать, выберите "Просто текст"!
Приложение
Можно приложить к сообщению файл c изображением, который затем будет доступен увидевшим сообщение.
Подготовка иллюстраций:
  • Рентгенограммы: черно-белые полутоновые изображения в формате JPEG (8 bit, greyscale) с разрешением от 300х200 до 1024х768 пикселов;
  • Клинические фотографии: полноцветные изображения в формате JPEG (24 bit, truecolor) с разрешением от 300х200 до 1024х768 пикселов;
  • Схемы и рисунки: черно-белые (2 bit) штриховые (line-art) изображения в формате GIF или compressed TIFF
  • Подберите степень сжатия файла JPEG и размер изображения таким образом, чтобы необходимые детали были различимы, но размер файла не превышал 75 кб.
  • Учтите, что текущая версия программного обеспечения Форума позволяет приложить к одному сообщению лишь один файл-вложение. Поэтому, если необходимо отправить несколько изображений, можно либо послать каждое как отдельное сообщение, либо в графическом редакторе объединить изображения в одно (сделать коллаж).
  • Если при подготовке изображений встречаются трудности, не стесняйтесь обратиться к координатору Форума.

  • Введите видимые символы в обратном порядке. Enter the above characters in reverse order (*Обязательно)
    В тексте сообщения можно использовать теги HTML <B> <I> <P> <A> <LI> <OL> <UL> <EM> <BR> <TT> <HR> <STRONG> <BLOCKQUOTE> <DIV .*> <DIV> <P .*>
  • Обратите внимание: Поля с жирными названиями обязательны.
  • Старайтесь отвечать в рамках обсуждаемой темы, а не начинать новые обсуждения.
  • Указывайте адекватную тему сообщения, чтобы было ясно, о чем оно.
  • Не послайте сообщений не по теме (оффтопик), раздраженных, грубых или обидных комментариев. Здесь это неуместно.
  • Powered by Zope  Squishdot Powered MedLink
    Посетитель: 0000014
      "По форме правильно, а по существу - издевательство" В.И.Ленин
    ©2001-2019Orthoforum Coordinator.
    [ Главная | Отправить сообщение | Поиск | Админ ]