AOTRAUMA.ORG Центр Илизарова  

Ортопедия и травматология Общие вопросы/General questions Help Информационные технологии в медицине
 вверх
 отправить
 поиск
 админ
 главная


Перелом бьедра 2 (Ваше мнение)
Ортопедия и травматология Отправлено Alexander Arttemiev 17 Сентябрь 2004, 22:34
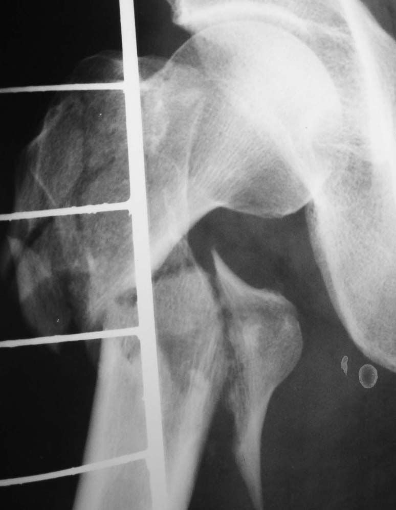
Другое наблюдение:Мужчина, 1957 г.р. Травма в результате ДТП 12.09.04г.
Диагноз: Закрытый оскольчатый подвертельный перелом правой бедренной кости со смещением отломков, оскольчатый перелом большого вертела, отрывной перелом малого вертела.Сопутствующие заболевания: Язвенная болезнь желудка, ремиссия.

<  |  >

 

  • Сообщения о Ортопедия и травматология
  • Также Alexander Arttemiev
  • Связаться с автором
  • Ответить

    Re: Перелом бьедра 2 (Ваше мнение)
    Mike Shnider 17 Сентябрь 2004, 22:59
    Все зависит, коллега,от оборудования, которым Вы обладаете.Имеет место метафизарный нестабильный перелом - отсюда и выбор фиксации-это может быть и Gamma nail,Recon nail,да на худой кончик пойдет и Richards DHS или L-plate.Сможете прихватить lesser вертел винтом - чудненько, а не сможете- то футбола не будет,а так по жизни не особенно помешает.
    [ Ответить ]

    Re: Перелом бьедра 2 (Ваше мнение)
    Alexander Chelnokov 18 Сентябрь 2004, 00:20




























    a> Диагноз Закрытый оскольчатый подвертельный перелом правой
    a> бедренной кости со смещением отломков,
    a> оскольчатый перелом большого вертела, отрывной перелом малого вертела.

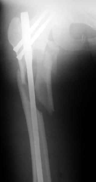
    Наверно, можно и так сказать, но можно и тоже самое - 4-фрагментный вертельный перелом. Выбор тот же, но с учетом молодого возраста реконструкционный гвоздь тут более применим. Вот уже наш пример.
    [ Ответить ]

    Re: Перелом бьедра 2 (Ваше мнение)
    Michael Berenstein 18 Сентябрь 2004, 08:38
    Перелом подвертельный. Лечение оперативное, срочное,
    PFN с длинной ножкой чтобы избежать стрессовые изменения в будущем. Обычно у молодых людей требуется проводить рассверливание канала как при гвоздевании.
    полную нагрузку через 6 недель т.е. после образования костной мозоли, что позволить более или менее сохранить длину шейки.
    [ Ответить ]

    Re: Перелом бьедра 2 (Ваше мнение)
    А.В.ВЛадзимирский 20 Сентябрь 2004, 13:37
    Предлагаю накостный ОС Г-образной пластиной, возможно в сочетании с 1-2 отдельно введенными винтами для фиксации крупных фрагментов.
    [ Ответить ]

    Re: Перелом бьедра 2 (Ваше мнение)
    Николя Прихненко 21 Сентябрь 2004, 16:47
    Уважаемый коллега
    В данной ситуации я бы провел остеосинтез при использовании длинного Gamma Nail
    Вправление не было бы идеальным но операция закрытым доступом была бы меннее тяжелой так же как и ее последствия .
    С Уважением

    Н. Прихненко

    [ Ответить ]


    ( Ответить )

    Powered by Zope  Squishdot Powered MedLink
    Посетитель: 0028178
      "По форме правильно, а по существу - издевательство" В.И.Ленин
    ©2001-2019Orthoforum Coordinator.
    [ Главная | Отправить сообщение | Поиск | Админ ]