AOTRAUMA.ORG Центр Илизарова  

Ортопедия и травматология Общие вопросы/General questions Help Информационные технологии в медицине
 вверх
 отправить
 поиск
 админ
 главная
 Предыдущее


Re: Acetabular fracture
Anatoly F Lazarev 03 Сентябрь 2004, 22:39
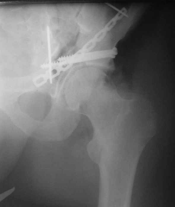
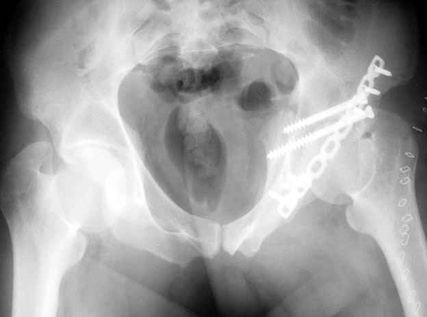
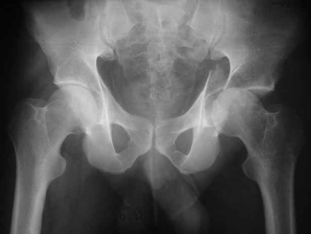
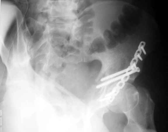
Высылаю пример еще одного случая, остеосинтез пластиной из подвздошного доступа.























  • Сообщения о Ортопедия и травматология
  • Также Anatoly F Lazarev
  • Связаться с автором
  • Ответить

    Re: Acetabular fracture
    Djoldas Kuldjanov, M.D. 09 Сентябрь 2004, 00:43
    Анатолий, во второй презентации, какой Ваш диагноз, не поперечный ли перелом ацетабулум? Вы написали, Ваш доступ был подвздошный, по моему мнению, ваш доступ лимитировал Вас к anterior column и постоянно надо было держать в контроле за натяжением femoral artery and vein, иначе грозит закупоркой артерии или вены, (были и такие experience), при сгибании в тазобедренном суставе, которое ухудшает и так ухудшенный доступ. По-моему, если доступ расширить, т.е. formal Ilioinguinal approach то применить пластину подлиннее 12-14 дырок на pelvic brim, через первое окно Ilioinguinal approach, т.е. Symphisis side, после рассечения места прекрепления muscle rectus abdominus, где достаточно места для 4 шурупов, тогда таким образом фиксированный перелом держится более стабильно и 4.5 мм шурупы для колонн можно было бы пропустить через пластину кзади впадины.
    Примерно такой метод выбрал бы для моих больных.

    С уважением,
    Джолдас Кульджанов

    P.S. В отличии от моего родного, русский язык для меня, хотя говорю плохо, с кцентом, был вторым языком общения и вроде раньше в союзные времена не имел проблем с пониманием. Последнее время я перестал понимать русский язык, возможно, наряду с другими бывшими братскими союзными республиками Россия переходит на свой "новорусский" язык.

    Например, знал, что такое "бурундуки", "барсуки", даже моя жена не знала обозначение... "как это здорово делают мои земляки :Ебыр..буки",
    что это?
    Кстати на сайте очень много различных сокращении и современных сленгов, нуждающихся в переводе

    DK
    [ Ответить ]


    ( Ответить )

    Powered by Zope  Squishdot Powered MedLink
    Посетитель: 0019624
      "По форме правильно, а по существу - издевательство" В.И.Ленин
    ©2001-2019Orthoforum Coordinator.
    [ Главная | Отправить сообщение | Поиск | Админ ]