AOTRAUMA.ORG Центр Илизарова  

Ортопедия и травматология Общие вопросы/General questions Help Информационные технологии в медицине
 вверх
 отправить
 поиск
 админ
 главная
 Предыдущее


Re: Acetabular fracture
Anatoly F Lazarev 03 Сентябрь 2004, 22:18
Женя! Класный перелом. Отлично репонируется изнутри таза, но лучше фиксированть сзади. Классический перелом для двустороннего доступа.
Однако есть альтернатива. Репозиция из подвздошного доступа тазовыми щипцами с разнодлинными браншами или тазовым пистолетом, а фиксация задней колонны через седалищный бугор или тазрвыми винтами 4,5 или каннюлированными 6,5 или 7,3. По-моему я посылал на ортофорум такой снимок, когда жаловался на ишемический неврит седалищного нерва через сутки после операции. Не забудь про шейку бедра - мне кажется будет хорош длинный PFN любой фирмы, какую ты найдешь, а нет так UFN + miss a nail, как это здорово делают мои земляки - Ебурбуки. Пока.





























27.01.04

27.01.04

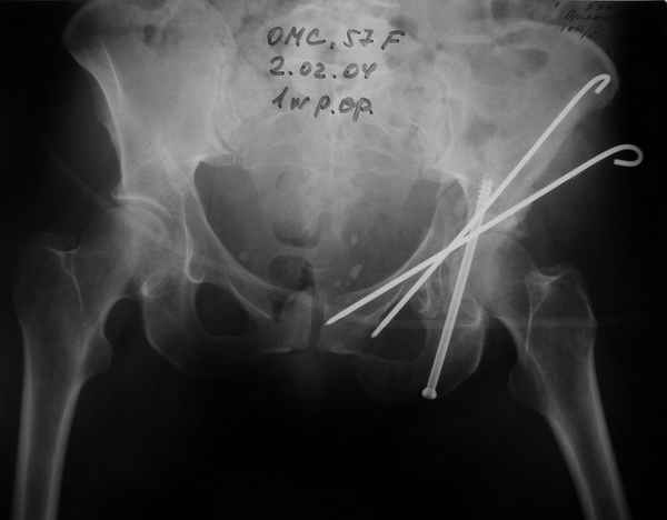
02.02.04

02.02.04

10.02.04

10.02.04

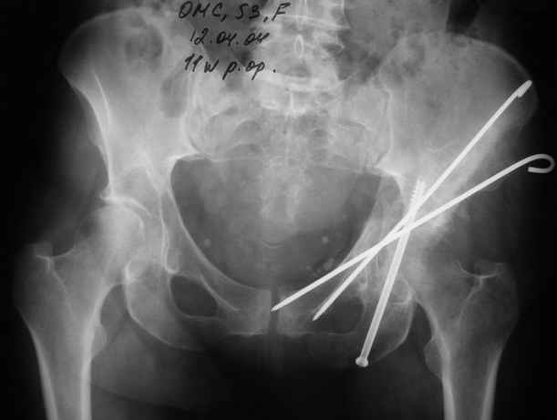
12.04.04

12.04.04

12.04.04

02.06.04

02.06.04

  • Сообщения о Ортопедия и травматология
  • Также Anatoly F Lazarev
  • Связаться с автором
  • Ответить

    Re: Acetabular fracture
    Alexander Chelnokov 04 Сентябрь 2004, 19:00
    Надо сказать, что сочетание переломов вертлужной впадины + шейка + диафиз бедра - довольно редкое. Шейка+диафиз - 5% от переломов бедра, впадина + шейка = 5% от переломов впадины, а уж все три перелома...

    Что интересно, при переломах шейки и диафиза бедра перелом шейки всегда с вертикальной линией. То есть фиксировать надо хорошо, и лучше с вальгизацией. Поэтому вполне приемлем и ретроградный остеосинтез диафиза бедра, а шейки - отдельно спонгиозными винтами. Если необходима операция на вертлужной впадине с отсечением большого вертела, это, наверно, наиболее практичный вариант.
    [ Ответить ]

    Re: Acetabular fracture
    Evgueny Tschekashkin 05 Сентябрь 2004, 22:19
    Уважаемый Анатолий Федорович!

    Спасибо, что нашли время откликнуться, ход ваших мыслей по тазовой теме мне очень интересен:-))


    > Женя! Класный перелом.

    Согласен на все 100, когда увидел снимки, аж сэрдце затрепетало:-))

    АФ- Отлично репонируется изнутри таза,

    Откровенно говоря, репозиция оказалась очень непростым делом, несмотря на то, что при расширенном илео-феморальном доступе все переломы как на картинке.
    Сначала пытался отрепонировать смещенную заднюю колонну, но ничего из этого не получалось пока не репонировал фрагмент крыла подвздошной кости, который клином входил между отломками тела илии и задней колонной дистанция-то всего каких-то 3-5 мм, но чтобы сложить этот puzzle пришлось попотеть, я уже и дистракционные щипцы и бедренный дистрактор крутил, в конце концов все состоялось, а передняя колонна уже саморепонировалась, мне оставалось только компрессирующие винты завинтить
    но лучше
    > фиксированть сзади. Классический перелом для двустороннего доступа.

    В этом у меня и возникали первоначальные сомнения, как фиксировать из комбинированных длступов или одного расширенного

    > Однако есть альтернатива. Репозиция из подвздошного доступа тазовыми
    > щипцами с разнодлинными браншами

    Пробовал и разновеликими и равновеликими прямыми и изогнутыми тазовыми щипцами. По длине репозиция удается, но имеется остаточное ротационное смещение нижнего отдела вертлужной впадины кнаружи и его устранить было не просто, щипцы постоянно *соскальзывали*. ( как в анекдоте про поручика
    Ржевского и процесс на фортепиано...:-))

    По-моему я посылал на ортофорум такой
    > снимок,
    Да, это я помню
    > Не забудю прошейку бедра - мне кажется будет
    > хорош длинный PFN любоу фирмы, какую ты найдешь, а нет так UFN + miss
    > a nail, как эт о здорово делаюм мои земляки - Ебурбуки.

    Приблизительно так и сделал

    С наилучшими пожеланиями,
    Евгений Чекашкин
    [ Ответить ]


    ( Ответить )

    Powered by Zope  Squishdot Powered MedLink
    Посетитель: 0019572
      "По форме правильно, а по существу - издевательство" В.И.Ленин
    ©2001-2019Orthoforum Coordinator.
    [ Главная | Отправить сообщение | Поиск | Админ ]