AOTRAUMA.ORG Центр Илизарова  

Ортопедия и травматология Общие вопросы/General questions Help Информационные технологии в медицине
 вверх
 отправить
 поиск
 админ
 главная


Врожденная кокса вара
Ортопедия и травматология Отправлено Evgueny Tschekashkin 06 Август 2004, 10:06
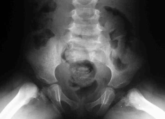
Дорогие коллеги,Нужен совет.Девочка 3 лет -врожденная двусторонняя кокса вара и как водится ограничено отведение и ротационные движения и *матросская* походка в развалочку.


<  |  >

 

  • Сообщения о Ортопедия и травматология
  • Также Evgueny Tschekashkin
  • Связаться с автором
  • Ответить

    Re: Врожденная кокса вара
    Jacob Odesky 08 Август 2004, 19:21






    Уважаемый Евгений!
    У Вашей пациентки Двухсторонний Врождённый Дефект Проксимального Бедра сопровождающийся Двухсторонней Ацетабулярной Дисплазией.
    Для того, чтобы точно классифицировать к какому типу Палея относиться данная патология можно сделать ЯМР или артрографию тазобедренных суставов, поскольку тактика лечения зависит от того есть ли псевдоартроз шейки бедра.
    Без этого невозможно обсуждать план лечения.
    С уважением!

    [ Ответить ]

    • Re: Врожденная кокса вара
      Отправитель: Evgueny Tschekashkin 08 Август 2004, 19:28
      Уважаемый Jacob,

      --- Двухсторонний Врождённый Дефект Проксимального Бедра сопровождающийся Двухсторонней
      Ацетабулярной Дисплазией.
      Спасибо за комментарии, Врожденная кокса вара может рассматриваться как вариант фокального дефицита проксимального отдела бедра, но как-то не складывается у меня впечатление о дисплазии впадин и дефекте проксимального бедра - сформирована вертельная область, хотя шейка бедра практически не видна,коэффициент покрытия проксимального эпифиза нормален. Что обращает на себя внимание - это расширенные и вертикально ориентированные зоны роста( угол Хильгенрейнера около 90 градусов и формирование остеофита по нижнему контуру ростковой зоны.

      --Для того, чтобы точно классифицировать к какому типу Палея относиться данная патология можно сделать ЯМР или артрографию тазобедренных суставов, поскольку тактика лечения зависит от того есть ли псевдоартроз шейки бедра.

      Можно провести и ЯМР, и артрографию, но вопрос в том каким образом это может повлиять на тактику дальнейшего лечения, Насколько я понимаю и планирую для нормального роста ребенка и развития,
      функции сустава( на данный момент ограничены ротационные движения и отведение) необходимо коррегировать ориентацию зоны роста, что может быть достигнуто клиновидной остеотомией в проксимальном отделе бедра - это первая и последняя идея , которая у меня возникла. Вполне вероятно, что могут существовать и какие-то другие подходы, о которых я не догадываюсь - это и есть основная причина презентации случая.

      Еще раз спасибо за отзыв, был бы признателен за информацию о личном опыте и результатах лечения этой патологии,

      Е. Чекашкин

      [ Ответить ]
      • Re: Врожденная кокса вара
        Отправитель: Jacob Odesky 09 Август 2004, 09:37
        Уважаемый Евгений! Вы пишите:" Что обращает на себя внимание - это расширенные и вертикально
        ориентированные зоны роста( угол Хильгенрейнера около 90 градусов." - это и есть Ацетабулярная
        Дисплазия.
        По поводу клиновидной остеотомии... Это может быть правильное решение только в том случае, когда нет ложного сустава и речь идёт о деформации проксимального бедра и нарушения его окостенения, в этом случае наряду скоррекцией проксимального бедра необходимо провести остеотомию таза.
        В случае, если есть ложный сустав, тактика должна быть другая - Реконструкция тазобедренного сустава.
        Я настоятельно советую провести обследование перед принятием решения.

        С уважением! Яков.


        [ Ответить ]
        • Re: Врожденная кокса вара
          Отправитель: Evgueny Tschekashkin 09 Август 2004, 09:41
          Уважаемый Яков !


          > ложного сустава и речь идёт о деформации проксимального бедра и нарушения его окостенения, в этом случае наряду с коррекцией проксимального бедра необходимо провести остеотомию таза.


          Спасибо за рекомендации, обязательно учту. единственное что я не могу понять - это о* ложном
          суставе шейки бедра *, ведь на Рграммах шейка и не сформирована ?

          >В случае, если есть ложный сустав, тактика должна быть другая - Реконструкция тазобедренного
          сустава.

          Из чего состоит упомянутая реконструкция тазобедренного сустава при возможном наличии ложного сустава шейки у 3 летнего ребенка, помимо уже упомянутых остеотомии бедра и возможной остеотомией таза?


          С наилучшими пожеланиями
          надеюсь на скорый ответ,
          Е.Чекашкин

          [ Ответить ]
      • Re: Врожденная кокса вара
        Отправитель: Ильдар Фуатович Ахтямов 09 Август 2004, 09:43
        Уважаемый Евгений!
        Ранее мне приходлось неоднократно вмешиваться на проксимальном отделе бедра по поводу соха-vara, поскольку работал в детском отделении Казанского НИИТО. Для коррекции данной патологии возможно два варианта. 1 - клиновидная остеотомия в межвертельной области бедренной кости с основанием по наружной поверхности бедренной кости (фиксация углообразной пластиной), с формированием нормального для данного возраста угла ШДУ около 130 градусов и гипс на 1,5 мес.
        2 - возможен вариант мжвертельной остеотомии проксимального отдела бедра с коррекцией ШДУ на стержневом аппарате с формированием клиновидного регенерата (угол открыт кнутри). Обязательна коррекция ретроверзии проксимального отдела бедра. Есть опыт и неоднократный положительный эффект.
        АИФ.

        [ Ответить ]
        • Re: Врожденная кокса вара
          Отправитель: Evgueny Tschekashkin 09 Август 2004, 09:44
          Спасибо за совет.
          Именно об этих вариантах я и думал. Скорее всего остановлюсь на межвертельной остеотомии с коррекцией ШДУ и фиксацией в стержневом аппарате.

          Всего доброго,
          Е.Чекашкин

          [ Ответить ]
    Re: Врожденная кокса вара
    Озерова Екатерина 09 Август 2004, 19:40
    Уважаемый Евгений! Я согласна с Вами по поводу диагноза. Это действительно Coxa vara, colli lisis. Но вот по поводу операции - не кажется ли Вам, что возраст - 3 года - слишком мал для оперативного лечения. Я думаю, что в настоящее время надо только наблюдать ребенка, проводить курсы консервативного лечения. Думаю, что если сейчас прооперировать, то скорее всего будет рецидив.
    [ Ответить ]

    • Re: Врожденная кокса вара
      Отправитель: Evgueny Tschekashkin 10 Август 2004, 08:05
      Уважаемая Екатерина !

      Спасибо за комментарии.
      У ребенка уже имеются ограничения амплитуды движения в обоих тазобедренных суставах, сказывающиеся на походке, развивается компенсаторная гипермобильность в поясничном отделе позвоночника, отставание в росте. Это первое в моей практике наблюдение, поэтому я и обратился в ортофорум за консультацией, надеясь на совет коллег, у которых уже есть опыт ведения больных с этой проблемой.
      Согласен, что экстренности в рекоснтруктивной хирургии нет, но с другой стороны - уже на лицо и морфологические и функциональные нарушения, которые с возрастом и ростом, увеличением веса ребенка будут только усугубляться.
      Именно эти опасения и делают хирургическую коррекцию для меня более привлекательной. Родителям ребенка все было подробно разъяснено, поэтому в данный момент последнее слово за ними. По поводу возможного рецидива - это скорее всего может быть только результатом неадекватной хирургической коррекции, которую постараюсь не допустить.

      Еще раз спасибо за комментарии всем коллегам, откликнувшимся на презентацию случая,
      с наилучшими пожеланиями,
      Е Чекашкин

      [ Ответить ]
      • Re: Врожденная кокса вара
        Отправитель: Alexander Chelnokov 11 Август 2004, 09:59
        ET> привлекательной. Родителям ребенка все было подробно разъяснено, поэтому в
        ET> данный момент последнее слово за ними.

        Ну, это спорный вопрос... Хороший врач должен уметь убедить больного и родственников в необходимости ампутации здоровой ноги ;-)

        ET> По поводу возможного рецидива - это скорее всего может быть
        ET> только результатом неадекватной хирургической коррекции, которую

        Посмотрел в Wheeless Textbook of Orthopaedics про coxa vara,

        определенного указания оптимального возраста для оперативного лечения там не увиделось.

        [ Ответить ]
        • Re: Врожденная кокса вара
          Отправитель: Evgueny Tschekashkin 11 Август 2004, 10:08
          *Я не волшебник - я только учусь* :-))

          Про оптимальные возрастные сроки для хирургической коррекции я тоже не встречал и думаю, что чем раньше, тем лучше.

          Всег благ,
          Евгений



          [ Ответить ]

     

    ( Ответить )

    Powered by Zope  Squishdot Powered MedLink
    Посетитель: 0014675
      "По форме правильно, а по существу - издевательство" В.И.Ленин
    ©2001-2019Orthoforum Coordinator.
    [ Главная | Отправить сообщение | Поиск | Админ ]