AOTRAUMA.ORG Центр Илизарова  

Ортопедия и травматология Общие вопросы/General questions Help Информационные технологии в медицине
 вверх
 отправить
 поиск
 админ
 главная


Последствия травмы позвоночника
Ортопедия и травматология Отправлено Anton Vladzymyrskyy 02 Август 2004, 17:08
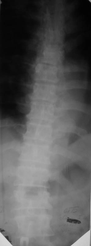
Мужчина, 48 лет. 8.04. 2000 г. - сочетанная травма: компрессионные переломы тел Th4- Тh6 и L1 позвонков с синдромом полного нарушения проводимости спинного мозга -
нижней параплегией, нарушением чувствительности и функции тазовых органов; переломы III-IV ребер справа,VI-VII ребер слева со смещением,травматический немопневмоторакс слева, гемоторакс справа, оскольчатые переломы обеих лопаток со смещением, перелом правой ключицы со смещением, тупая травма живота, ушиб сердца. Осложнения:посттравматическая пневмония, посттравматический плексит справа, цистит, пролежень в области крестца.
12.05.2000г. произведена ЛП с ликвородинамическими пробами, выявлен клапанный блок субарахноидальных пространств спинного мозга. В ликворе белок 0,27/г/л, р-ция Панди I+, цитоз 2/3. 25.05.00г. произведена операция: ламинэктомия Тh5-7 п-ков, опорожнение ликворной кисты, менингомиелолиз. Операция и послеоперационный период прошли безосложнений. Рана зажила первичным натяжением, швы сняты.
В отделении получил лечение с применением обезболивающих, сосудистых, противоспалительных, антибактериальных, стимулирующих, общеукрепляющихпрепаратов. Состояние улучшилось: значительно регрессирован болевой синдром, улучшилась чувствительность.
В настоящее время жалобы на отсутствие чувствительности в нижних конечностях, невозможность самостоятельной ходьбы (передвигается на кресле).КОНСУЛЬТАТИВНОЕ ЗАКЛЮЧЕНИЕ ЯМР-ТОМОГРАФИЧЕСКОГО ИССЛЕДОВАНИЯПроведена МР_томография грудного отдела позвоночника в сагиттальной проекции, с различной степенью контрастирования тканей, в режимах Т1 и Т2 В/И + МР-миелоурография. Визуализированы: спинной мозг с уровня D1 до уровня D12, тела позвонков D1-D12, межпозвонковые диски. Спинной мозг на уровне D4-D6 истончен с неровными нечеткими контурами, гетерогенной структуры, умеренно пониженной интенсивности на Т1 В/И, без очаговых изменений. Отмечается клиновидная деформация тела D5, снижена высота тела D4, структура его гетерогенная. Обращают внимание выраженные дегенеративные изменения дисков в грудном отделе позвоночника: снижение их высоты, изменение структуры изображения за счет исчезновения высокоинтенсивного сигнала от ядер. При исследовании в режиме МР-миелоурографии ликворный сигнал на уровне D4-D5 почти прерывается, интенсивность его существенно снижена.
ЗАКЛЮЧЕНИЕ: ПОСЛЕДСТВИЯ КОМПРЕССИОННОГО ПЕРЕЛОМА ТЕЛА D4-D5 С КОМПРЕССИЕЙ СПИННОГО МОЗГА. МРТ-ПРИЗНАКИ МИЕЛОПАТИИ И РУБЦОВО-СПАЕЧНОГО ПРОЦЕССА В ПОЗВОНОЧНОМ КАНАЛЕ НА УРОВНЕ D4-D5. ВЫРАЖЕННЫЕ ДЕГЕРАТИВНЫЕ ИЗМЕНЕНИЯ ДИСКОВ В ГРУДНОМ ОТДЕЛЕ ПОЗВОНОЧНИКА.
Вопросы:
1).Тактика лечения?
2).Возможность и особенности оперативного лечения?
С уважением,
А.В.ВладзимирскийДонецкий НИИ травматологии и ортопедииДонецк, Украина

<  |  >

 

  • Сообщения о Ортопедия и травматология
  • Также Anton Vladzymyrskyy
  • Связаться с автором
  • Ответить

    Re: Последствия травмы позвоночника
    Alexander Chelnokov 06 Август 2004, 21:13
    AV> Мужчина, 48 лет.
    AV> 8.04. 2000 г. - сочетанная травма: компрессионные переломы тел Th4- Тh6

    Пока наши вертебрологи собираются с мыслями... Наткнулся вот на сайт,
    посвященный позвоночно-спинномозговой травме - http://sci-rus.com/
    [ Ответить ]

    Re: Последствия травмы позвоночника
    Сиротин Владимир Павлович 10 Август 2004, 12:18
    Исходя из представленных Вами клиничских и МР-томографических данных, в первую очередь, необходимо предостеречь Вас от повторного оперативного вмешательства на спинном мозге по поводу спаечного арахноидита. Подобные вмешательства, как правило, заканчиваются полной инвалидизацией больного. Поэтому, тактика лечения должна быть только консервативной, включающей мегадозы актовегина(до10 мл.)в/в,глиатиллина,электорофорез карипазима до 30 сеансов на курс и т.д.Восстановительное лечение целесообразно проводить в специализированных клиниках Москвы.

    Сиротин Владимир Павлович, вертеброневролог 1-й категории МУЗ клинической больницы ╧8 г.Ярославля,Центр коррекции позвоночника г.Ярославля.
    [ Ответить ]

    Re: Последствия травмы позвоночника
    Владимир Шумовский 06 Октябрь 2004, 13:20
    Уважаемый коллега, для решения о тактике дальнейшего ведения , необходимо иметь более детальную неврологическую картину - с какого сегмента идут расстройства чувствительности( какие виды чувствительности выпали), т.к если я не ошибаюсь у больного есть еще перелом L1 - на снимках его не видно.
    А если в целом - то, учитывая давность травмы и уже имеющуюся грубую рубцово-спаечную миелопатию, скорее всего никакое оперативное лечение не показано.
    Если Вам не сложно, то уточненные данные выложите на сайте нашего отделения www.nsbh.ru
    Владимир Шумовский, отделение нейрохирургии ГКБ им С.П.Боткина, г.Москва
    [ Ответить ]


    ( Ответить )

    Powered by Zope  Squishdot Powered MedLink
    Посетитель: 0056652
      "По форме правильно, а по существу - издевательство" В.И.Ленин
    ©2001-2019Orthoforum Coordinator.
    [ Главная | Отправить сообщение | Поиск | Админ ]