AOTRAUMA.ORG Центр Илизарова  

Ортопедия и травматология Общие вопросы/General questions Help Информационные технологии в медицине
 вверх
 отправить
 поиск
 админ
 главная
 Предыдущее


Re: Перелом около протеза
Alexander Chelnokov 02 Июнь 2004, 13:45





1

2


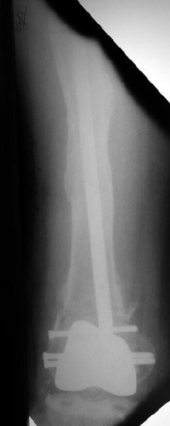
В итоге сделали антеградный остеосинтез. В дистракторе свежий перелом вправился сразу, а вот старый - оставил проблему, дистальный отлмомк остался все равно кзади. И гвоздь бы прошел кпереди от него, а ретроградный - перфорировал бы передний кортекс. Так что пришлось еще сделать чрескожную остеотомию через перелом, чтобы малость мобилизовать дистальный отломок. Снимки в прилжении.
Критика, комментарии, мнения?
  • Сообщения о Ортопедия и травматология
  • Также Alexander Chelnokov
  • Связаться с автором
  • Ответить

    Re: Перелом около протеза
    Tom DeCoster 02 Июнь 2004, 13:51
    The radiographs look excellent and a good outcome would be anticipated. The idea to osteotomize the femur shaft to compensate for the prior shaft malunion was clever and should work fine.

    I can't actually see the osteotomy on either radiograph. Is it more proximal than we see in these radiographs or so well aligned as to be not visible?

    Have you tried retrograde femoral nailing? Most people find it technically easier although not necessarily better than antegrade.

    TD
    [ Ответить ]

    • Re: Перелом около протеза
      Отправитель: Alexander Chelnokov 02 Июнь 2004, 13:58




      1

      TAC> idea to osteotomize the femur shaft to compensate for the prior shaft malunion
      TAC> was clever and should work fine.

      The "idea" was an emergency appeared when the nail tip proceeded to the fracture level and became targeting anteriorly to the distal fragment.

      TAC> I can't actually see the osteotomy on either radiograph. Is it more proximal
      TAC> than we see in these radiographs or so well aligned as to be not visible?

      The osteotomy was perfromed trough the fracture site. See the image.

      TAC> Have you tried retrograde femoral nailing? Most people find it technically
      TAC> easier although not necessarily better than antegrade.

      No, i would have tried it if the antegrade attempt was failed.

      [ Ответить ]
    Re: Перелом около протеза
    А.Троценко 04 Июнь 2004, 01:49
    Послеоперационный результат очень даже ничего.
    [ Ответить ]


    ( Ответить )

    Powered by Zope  Squishdot Powered MedLink
    Посетитель: 0000058
      "По форме правильно, а по существу - издевательство" В.И.Ленин
    ©2001-2019Orthoforum Coordinator.
    [ Главная | Отправить сообщение | Поиск | Админ ]