вверх
отправить
поиск
админ
главная
|
Замедленная консолидация костей предплечья |
 |
 |
 |
Отправлено Denis Yolkin 21 Апрель 2004, 03:14
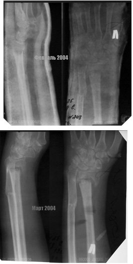
Травма в конце ноября 2003. Лечение - гипсовая лонгета по настоящее время. На контрольных рентгенограммах видно отсутствие консолидации, рассасывание в области перелома лучевой кости, остеопоротические изменения костей. Есть также гипэстезия 4,5 пальцев кисти, выраженная атрофия мышц. Функция кисти=0.Думали, что можно сделать: однозначно нужно выполнять освежение отломков, костную пластику, остеосинтез. Причем не медлить! Вопрос в том, как зафиксировать, все упирается в опасения прорезывания любых фиксаторов. Кроме того - что делать с локтевой костью - она работает как распорка. Резецировать ли ее головку, или имеет смысл сегментарно резецировать диафиз с последующим остеосинтезом?Просьба поделиться своими соображениями.
<
|
>
|
|
Ответить
|
Re: Замедленная консолидация костей предплечья
Kasperovich Mikhail 21 Апрель 2004, 18:19
|
Уважаемый Денис! А сколько лет пациенту (ке)? В данном случае, лучшим способом мне видится установка LCP - не "прорежется" и обеспечит надёжную фиксацию. С локтевой проще, я думаю, остеотомия диафиза с последующим остеосинтезом. Если нет возможности поставить LCP, то попробуйте Т-образную изогнутую обычную пластину, а пластику дефекта либо аутокостью, либо пористым гидроксиаппатитом, либо хронос, либо никелид титана пористый.
С Уважением, Касперович Михаил.
|
[
Ответить ]
|
Re: Замедленная консолидация костей предплечья
Леонид Н. Соломин 22 Апрель 2004, 08:07
|
Уважаемиый Denis Yolkin,
Выполните костную пластику ложного сустава; одновременно - кортикотомию в/3-с/3 лучевой кости для удлинения ее на необходимую величину. Если подробности необходимы быстро - звоните по рабочему телефону (e-mail'ы просматриваю 1-2 раза в неделю).
Всего наилучшего,
Л.Соломин
195427, С.-Петербург,
ул. акад. Байкова, 8,
ГУН РосНИИТО им. Р.Р.Вредена
Соломин Леонид Николаевич, д.м.н.
тел. (812)556-3971, 550-9579
|
[
Ответить ]
|
Re: Замедленная консолидация костей предплечья
Отправитель: Alexander Chelnokov 24 Апрель 2004, 17:24
|
Как может повлиять на длительность лечения, если пойти на укорочение локтевой вместо удлинения лучевой?
|
[
Ответить ]
|
Re: Замедленная консолидация костей предплечья
Отправитель: Леонид Н. Соломин 25 Апрель 2004, 13:53
|
Глубокоуважаемый Alexander,
Полагаю, что вариант с укорочением предплечья займет меньше времени.
Косметические и функциональные результаты подобной тактики мной могут только предполагаться. Прошу коллег поделиться опытом.
Всего наилучшего,
Л.Соломин
195427, С.-Петербург
ул. акад. Байкова, 8, ГУ РосНИИТО им. Р.Р.Вредена
Соломин Леонид Николаевич, д.м.н.
|
[
Ответить ]
|
|
Re: Замедленная консолидация костей предплечья
Evgueny Tchekashkine 26 Апрель 2004, 09:58
|
Не совсем согласен с вашим решением * не медлить* с фиксацией перелома лучевой кисти при отсутствии функции кисти. После столь продолжительной и,
как видно по рентгенограммам, бесполезной иммобилизации и мышечная атрофия, и порозность фрагментов очевидно являются следствием отсутствия функции. На данном этапе я бы скорее отправил больного к физиотерапевту на разработку движений пястно-фаланговых и межфаланговых суставов, если недеель через 6 тугоподвижность суставов начнет разрешаться и появится надежда на восстановление функции кисти, тогда и можно рассматривать различные подходы (удлинение луча или костная пластика с фиксацией Т-образной пластиной или укорачивающая остеотомия локтевой кости и т.д). Если после курса физио никаких намеков на функциональность кисти не появится при сохранении жалоб на боли вокруг лучезапястного сустава, то, пожалуй, можно будет ограничиться артродезом с одновременной пластикой несращения (так или иначе, пластина укладывается по тыльной поверхности, так, что обнажить зону нестращения и восстановить длину луча не должно быть большой проблемой)
Удачи
Евгений Чекашкин
|
[
Ответить ]
|
Re: Замедленная консолидация костей предплечья
Виталий Евгеньевич Казеннов 26 Апрель 2004, 15:50
|
Уважаемый Денис!
Мне нравится позиция Евгения Чекашкина.
Казённов,
Хабаровск,
отделение микрохирургии и травмы кисти ККБ N 2
|
[
Ответить ]
|
Re: Замедленная консолидация костей предплечья
Анатолий Борзунов 26 Апрель 2004, 15:58
|
Вероятней всего, у больной развилась рефлекторная симпатическая дистрофия (нейротрофическая дистрофия или синдром Зудека), о чем косвенно "говорит" пятнистый остеопороз кисти и функция кисти 0. Вероятно еще, у больной, длительный отек кисти, пятнистая синюшность.
Если больную лечить оперативно, функцию кисти можно потерять навсегда.
Считаю больной необходимо консервативное лечение 6 месяцев.
Затем решать вопрос об оперативном лечении.
Ложного сустава дистального эпифиза или метаэпифиза лучевой кости еще никогда не видел (допускаю, что мало видел).
--
С уважением,
Анатолий Борзунов
|
[
Ответить ]
|
( Ответить )
|
|