AOTRAUMA.ORG Центр Илизарова  

Ортопедия и травматология Общие вопросы/General questions Help Информационные технологии в медицине
 вверх
 отправить
 поиск
 админ
 главная


Перелом вертлужной впадины +
Ортопедия и травматология Отправлено Alexander Chelnokov 06 Декабрь 2003, 02:22
12
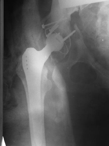
Обратились коллеги из городской больницы N36. Женщине 39 лет по поводу диспластического коксартроза около года назад выполнено эндопротезирование правого тазобедренного сустава. Вчера ехала на госпитализацию на протезирование второго сустава, и попала в аварию.

Получила поперечный перелом правой вертлужной впадины (снимок прилагается) с переломом ветвей лонной кости на другой стороне (inletview также в приложении), а также поперечный перелом дистального метафиза бедра на этой же стороне. Что посоветуете в отношении протеза и впадины? Спасибо заранее.
A colleague of mine from another hospital requests opinion. A female 39 years old was operated ~1 year ago - right side THA for hypoplastic hip. Yesterday she was going to the hospital for THA ofthe second hip but got involved in a car accident.She admitted with right acetabular and left rami fractures (images attached). Also trasverse fracture of the right distal femur.Seeking your advice regarding the acetabular fracture. THX!

<  |  >

 

  • Сообщения о Ортопедия и травматология
  • Также Alexander Chelnokov
  • Связаться с автором
  • Ответить

    Re: Перелом вертлужной впадины +
    Ильдар Ф. Ахтямов 06 Декабрь 2003, 02:35
    Ножка Алтимед, а чашка цементая???? Хороший гибрид. Насколько позволяет рентгенограмма, можно судить, что чашка стабильна (за счет цемента и арматуры в виде винтов). Нужен постельный режим не менее 6 недель.
    Далее постепенное увеличение нагрузок при ходьбе с костылями. Общий срок ограничения 3 месяца. Далее можно протезировать с левой стороны. АИФ.
    [ Ответить ]

    Re: Перелом вертлужной впадины +
    Рашид М. Тихилов 06 Декабрь 2003, 02:37
    Ситуация редкая и нестандартная. Складывается впечатление, что эндопротез вертлужной впадины стабилен. Я бы выполнил остеосинтез перелома в/впадины реконструктивной пластиной. Эти переломы срастаются хорошо.

    Если при этом все же вертлужный компонент будет нестабильным, то постарался бы его укрепить винтами и путем компрессии при остеосинтезе (возможно понадобится костная пластика костной крошкой).
    Если все же будет в дальнейшем нестабильность в/компонента, то ревизионная артропластика после сращения.
    С уважением, Р.Тихилов

    [ Ответить ]

    Re: Перелом вертлужной впадины +
    Jai Thilak 06 Декабрь 2003, 11:49
    Would suggest Fix the Distal femur now, wait for 8 to 12 wks for the Acetabular # to heal (Non Weight Bearing) then revise the acetabular cup alone if the femoral component is well fixed.
    regards.
    Jai Thilak MS, MCh Orth
    Sr Specialist in Orthopedics,
    Amrita Insititute of Medical Sciences & Research Centre,
    Kochi, Kerala, India
    [ Ответить ]

    Re: Перелом вертлужной впадины +
    Enes M. Kanlic 07 Декабрь 2003, 15:23







    1

    2

    We do not have all information's, like: Judet views, CT, approach used at the time of total hip arthroplasty... what would help, but in general, I would do similar as it is presented with this 75 years old lady:


    1. Dislocation of prosthesis
    2. Removal of prosthesis head
    3. Removal of the cup:we have available some nice, round cutters causing minimal damage of surrounding bone
    4. Fix the acetabular fracture (fracture seems to be transverse type!?; it is a real fun to do it with femoral head removed)
    5. New metal back cup with multiple holes for screws - improves
    osteosynthesis
    6. New poly insert and reduction.
    7. Femoral fracture - if it is enough space retrograde nail (through the knee), or some plate, fixed angle device.

    Sincerely,

    Enes M. Kanlic, MD, PhD
    Associate Professor
    Department of Orthopaedics
    TTUHSC in El Paso, Texas


    [ Ответить ]

    • Re: Перелом вертлужной впадины +
      Отправитель: Alexander Chelnokov 08 Декабрь 2003, 08:41
      EKTE> We do not have all information's, like: Judet views, CT, approach used at
      EKTE> the time of total hip arthroplasty...

      So don't i. Sometimes we have to offer decision based on incomplete data... ;-)

      EKTE> what would help, but in general, I would do similar as it is
      EKTE> presented with this 75 years old lady:

      EKTE> 1. Dislocation of prosthesis
      [...]

      Ys, it looks like transverse fracture. At the moment, as i realize, colleagues in that hospital need to choose either non-operative or operative treatment. If the latter, next alternatives are to be discussed. Do you exclude attempt of reduction and fixation of the acetabulum with th implant in place?

      EKTE> 7. Femoral fracture - if it is enough space retrograde nail (through the
      EKTE> knee), or some plate, fixed angle device.

      Yes, this will depend on what hospital the patient receives definitive treatment.

      [ Ответить ]
      • Re: Перелом вертлужной впадины +
        Отправитель: Enes M. Kanlic 08 Декабрь 2003, 08:43
        As you know, in general, if prosthesis is not loose (and from the x-ray cup seems to be well fixed), we do not have to replace it.
        1. Problem is that would be very hard to provide good stability - good job fixing the fracture with cup in place, although, of course,it is possible.
        2. My preference would be to remove the cup. Having excellent view, approach to the acetabulum and good fixation can be accomplished (this has to be the premice, fracture well fixed before the cup in order to put in it); now, if you use the metal cup with multiple holes, it does work like nice plate and additional fixation to the fracture. If the cup is coated with hydroxy appatite, that will make healing and incorporation even better.
        I hope this helps, sincerely

        Enes M. Kanlic, MD, PhD
        Associate Professor
        Department of Orthopaedics
        TTUHSC in El Paso, Texas

        [ Ответить ]
    Re: Перелом вертлужной впадины +
    Волокитина Елена 15 Декабрь 2003, 19:07
    Чашка протеза с винтами нестабильная, надо убирать, помешает остеосинтезу. Головку с ножки тоже снять. Выполнить остеосинтез таза аппаратом внешней фиксации. Вы в этом - супер!!! Задний край или воссоздать с винтами или сохранить, если есть что. Ножка (кстати не Алтимед, а скорее "Эндопротетик плюс")стабильная, трогать не надо. Перелом дистального матафиза бедра собрать аппаратом Илизарова. Через полгода, не раньше, после надежного сращения брать на цементнную имплантацию впадины. Бедро с тазом можно не фиксировать.
    [ Ответить ]

    Re: Перелом вертлужной впадины +
    Дрягин Виталий 28 Декабрь 2003, 23:06
    Больная оперирована мной по поводу диспластического коксартроза 5-6 месяцев назад.
    Установлена RM-чашка бесцементная,ножка тип Цвайммюллер производства Мathys,сделана костная пластика.В настоящее время необходим остеосинтез реконструктивной пластиной без удаления чашки,так как чашка стабильна.
    [ Ответить ]

    • Re: Перелом вертлужной впадины +
      Отправитель: Alexander Chelnokov 29 Декабрь 2003, 15:27
      Да, похоже, это я напутал - пациентка оперирована в Челябинске, туда же и поехала на вторую операцию, но...

      ДВ> остеосинтез реконструктивной пластиной без удаления чашки,так как
      ДВ> чашка стабильна.

      Пока совпадает с нашими планами. После праздников, наверно, ее к нам переведут.

      [ Ответить ]
      • Re: Перелом вертлужной впадины +
        Отправитель: Дрягин Виталий 30 Декабрь 2003, 16:15
        Уважаемый Александр.Я рад,что я попал к Вам в компанию.Никаких обид нет.Чашка Матис обычно очень хорошо врастает и крепится на винтах.Она не пресс-фит.У неё есть два рога до 1,5 см длинной и в диаметре примерно 0,8 см.Если захотите её убрать просверлите в центре отверстие и вверните туда штопор.Чашка хорошо стоит у диспластиков.Желаю удачи.С Новым Годом.

        [ Ответить ]

     

    ( Ответить )

    Powered by Zope  Squishdot Powered MedLink
    Посетитель: 0009183
      "По форме правильно, а по существу - издевательство" В.И.Ленин
    ©2001-2019Orthoforum Coordinator.
    [ Главная | Отправить сообщение | Поиск | Админ ]