AOTRAUMA.ORG Центр Илизарова  

Ортопедия и травматология Общие вопросы/General questions Help Информационные технологии в медицине
 вверх
 отправить
 поиск
 админ
 главная


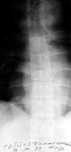
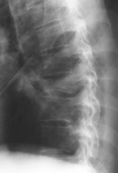
Перелом IX грудного позвонка
Ортопедия и травматология Отправлено Alexey Rounkov 19 Июнь 2003, 14:09
26.07.200226.07.2002
Мужчина 39 лет, перевернулся в машине 12 июня. Клинически неврологии нет. Нужна ли репозиция и оперативная фиксация этого повреждения? Если нет, то как вести? Спасибо заранее.Алексей Рунков, УНИИТО


<  |  >

 

  • Сообщения о Ортопедия и травматология
  • Также Alexey Rounkov
  • Связаться с автором
  • Ответить

    Re: Перелом IX грудного позвонка
    Александр Е. Клоков 19 Июнь 2003, 19:02
    Компрессионный стабильный перелом 2-3 степени, в оперативном лечении не нуждается. Лечение 20-30 дней на вытяжении за подмышки, затем массаж, ЛФк в постели ещё 2 недели, хорошо бы барокамера если есть, затем реклинирующий корсет на год. Ну и ограничения по физической нагрузке.
    [ Ответить ]

    Re: Перелом IX грудного позвонка
    Dr.Freih Abu Hassan 22 Июнь 2003, 22:51
    Looks more than 50% collapse, needs CTscan for better evaluation.
    if you don't fuse them they may develop painful kyphosis in the future.

    regards.

    Dr.Freih Odeh Abu Hassan,
    M.D(Orth.), F.R.C.S(Eng.), F.R.C.S.(Tr.&Orth.),
    Asst.Professor of Orthopedics & Pediatrics Orthopedics Surgery,
    University of Jordan - Amman.
    [ Ответить ]

    • Just a question
      Отправитель: Dr. Shabir Khan 20 Март 2008, 22:47
      Salaam Doc,
      I wanted to know that how i can enter for MRCS(ortho & Trauma) exam and what are the requirements for the same.Since I an doing my aspirantura tr. & ortho.(3yrs) in Military medical academy, Saint Petersburg.
      Thank you

      [ Ответить ]
    Re: Перелом IX грудного позвонка
    John T. Ruth 23 Июнь 2003, 16:14
    A CT would be helpful to determine if there is middle column involvement. Also it would help determine if the posterior interspinous ligament is intact (lack of interspinous widening. The available images appear to show an anterior column only injury. If other imaging tests confirm this combined with normal neurological function nonoperative treatment with a hyperextension brace or nothing is appropriate.
    [ Ответить ]

    • Re: Перелом IX грудного позвонка
      Отправитель: Carlo Bellabarba 23 Июнь 2003, 16:16
      Agreed, except that loss of posterior vertebral body height on the lateral radiograph suggests middle column involvement as well, and therefore a diagnosis of burst fracture. This is confirmed on the AP by (albeit subtle) widening of the pedicles at the level of injury. In keeping with this diagnosis, the lateral also suggests retropulsion of fracture fragments into the canal. I concur that unless there is associated facet subluxation or interspinous widening on CT (possible, but unlikely given the well-maintained alignment and given that on the AP radiograph the spinous processes seem reasonably equidistant) this is a stable burst fracture that I would treat with a TLSO for 3 months.

      [ Ответить ]
    Re: Перелом IX грудного позвонка
    Dr Savvides 23 Июнь 2003, 21:45
    This presumablly is a stable compression of the body of T8 or thereabout, without neurology. Keep him in bed until the acute pain subsides and then start him on physiotherapy.


    G. Savvides
    [ Ответить ]

    Re: Перелом IX грудного позвонка
    Anthony Morgan 23 Июнь 2003, 21:56
    The lack of any neurological sysmptoms suggests that this man has a stable fracture despite losing 50% of his vertebral height. Initial management would be analgesia and bedrest until comfortable, and then the application of a hyperextension brace to prevent kyphosis. With this fitted he can be mobilised and can sit, and provided home situation is reasonable, should be able to go home after only a few days, with the proviso that he is still flat for part of the day. I would expect him to wear the brace for at least 2 months.
    Internal fixation may enable him to be up and about more quickly, but the overall timescale for full recovery is probably not much quicker than conservative management with a brace, plus the complicaton of infection associated with surgery.

    Anthony Morgan
    Senior Physiotherapist
    James Paget Hospital, Great Yarmouth, Norfolk NR31 6BW, United Kingdom
    [ Ответить ]

    Re: Перелом IX грудного позвонка
    Michael Dittmar 23 Июнь 2003, 21:57
    Close observation , and if you like you could put Jewett brace on.

    Dittmar
    [ Ответить ]

    Re: Перелом IX грудного позвонка
    Ma Zhen-sheng, MD 24 Июнь 2003, 15:18
    A CT scan to know the narrowness of the spinal cannal, A MRI scan to know the condition of the spinal cord. The above two examtionation will give you a better view of the future of the case. As for the treatment now, conservative treatment is my choice for such condition. Our protocol for treating such case is bed-rest
    for 3 months or bedrest for 6 weeks and then supported with the application of brace cast for mobilization. During the treatment, osteoporosis treatment will be considered together. Surgery is not recommended only if the CT scan or the MRI
    scan shows a bone fractured fragment in the spinal canal make the spinal cord be risk in compressed or injured after a improper movement or position of the spine.

    Best Regards!

    Sincerely Yours:

    Ma Zhen-sheng, MD
    Department of Orthopedics, Xijing Hospital
    15th Changle West Road, Xi'an 710032, China
    [ Ответить ]


    ( Ответить )

    Powered by Zope  Squishdot Powered MedLink
    Посетитель: 0057072
      "По форме правильно, а по существу - издевательство" В.И.Ленин
    ©2001-2019Orthoforum Coordinator.
    [ Главная | Отправить сообщение | Поиск | Админ ]