вверх
отправить
поиск
админ
главная
|
Нестабильный эндопротез колена |
 |
 |
 |
Отправлено Alexander Chelnokov 12 Май 2003, 16:57
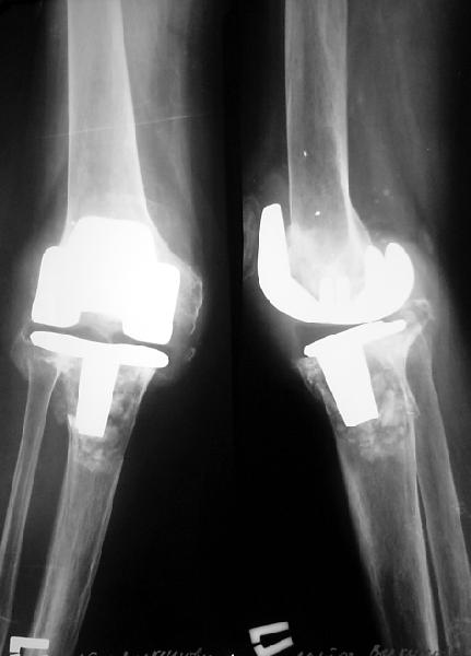
Пациентке 1954 г.р. по поводу ревматоидного поражения коленных суставов в 1995 г. выполнено эндопротезирование правого коленного сустава (Biomet AGC); в 1996 г. - компрессионный артродез левого коленного сустава, анкилоз достигнут. В апреле 2003 г. больная упала, получила перелом на уровне проксимальных метафизов обеих костей правой голени. Имеется клиническая и рентгенологическая картина нестабильности бедренного и большеберцового компонентов эндопротеза. При пункции получено 60 мл серозно-геморрагического отделяемого, посев роста микрофлоры не выявил. Получает глюкокортикоиды per os 5 мг в сут., диклофенак 100 мг/сут.Что можно в данном случае предпринять? Если ревизию, то какую модель протеза лучше испльзовать? Замыкания второго коленного сустава хотелось бы избежать.
<
|
>
|
|
Ответить
|
Re: Нестабильный эндопротез колена
Anatoly Yakushin 12 Май 2003, 20:54
|
Наверное, ревизионное протезирование. Если боковые связки в порядке, то любую ревизионную модель, хоть того же Biomet.
Если имеется выраженная боковая нестабильность, то, наверное, единственный вариант - Sulzer GSB.
У этого протеза один недостаток - достаточно тонкий несъемный полиэтиленовый вкладыш, но с другой стороны - он "вертлюг" конструкции и
при его установке можно смело пересекать боковые связки (если потребует интраоперационная ситуация).
--
Rgrds,
Anatoly A. Yakushin aka DOC
Orthopaedic Departmens
Veterans Hospital # 3
Moscow
|
[
Ответить ]
|
Re: Нестабильный эндопротез колена
Виктор П.Волошин 27 Май 2003, 00:59
|
Если толщина кошелька этой дамы позволяет или у Вас хорошая социальная программа, предложил бы ревизионное э\протезирование Nex Gen LPS со стержневой б/б надставкой S/A. Но надо ли торопиться, пока достаточно свежа травма?
В.Волошин, МОНИКИ
|
[
Ответить ]
|
( Ответить )
|
|