AOTRAUMA.ORG Центр Илизарова  

Ортопедия и травматология Общие вопросы/General questions Help Информационные технологии в медицине
 вверх
 отправить
 поиск
 админ
 главная


Рахит
Ортопедия и травматология Отправлено Anton V. Vladzimirskiy 10 Май 2003, 19:26
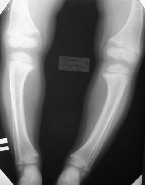
ТазКистиГолени
Девочка, 3 года 11 мес. Дз: Фосфатдиабет (витамин Д-резистентный рахит).
Жалобы на задержку роста. Общие анализы крови и мочи без особенностей.Биохимический анализ крови: билирубин 7,7, АЛТ 0,30, общий белок 73, креатин 0,061, щелочная фосфотаза 49%мл/г, K+ 4,4, Na+ 139, Ca++ 0,93, Ca общий 2,5.УЗИ органов брюшной полости: норма, печень увеличена, паренхима однородна, сосудистый рисунок сохранен. Рентгенологический возраст 2 года, хронологический возраст 4 года. Ранее рекомендована ЛФК, витамины, видеин.Рекомендации по лечению? Заранее благодарен! С уважением, А.В.Владзимирский Донецкий НИИ травматологии и ортопедии

<  |  >

 

  • Сообщения о Ортопедия и травматология
  • Также Anton V. Vladzimirskiy
  • Связаться с автором
  • Ответить

    Re: Рахит
    Evgueny Tchekashkine 10 Май 2003, 19:39
    Мне не приходилось встречать препарат видеин, не могли бы кратко рассказать что это за препарат и конечно же - показания к применению. Заранее спасибо.
    Одной из причин отставния роста может быть гипофункция аденогипофиза, с недостаточной выработкой гормона роста, который в свою очередь стимулирует продукцию факторов роста, синтезируемых в печени. Я бы посоветовался с
    эндокринологами, наверное стоит заказать гормональный профиль, посмотреть саму железу на КТ или ЯМР.

    С наилучшими пожеланиями,
    Евгений Чекашкин
    [ Ответить ]

    • Re: Рахит
      Отправитель: Anatoly Borzunov 10 Май 2003, 19:42
      Видеин 3 представляет собой комплекс видехола с белком молока казеином, содержащий различные
      количества витамина D3. Аморфный порошок белого с кремоватым оттенком цвета, без запаха.
      Фармакологические свойства: видеин 3 (как препарат витамина D3) регулирует обмен фосфора
      и кальция в организме, способствует нормальному формированию и росту костной ткани, повышает всасывание кальция и фосфора в крови. Витамин D3 регулирует синтез липидов, ряда гормонов,
      пролиферацию и дифференцировку клеток.
      Всасывание витамина D3 происходит в дистальном отделе тонкой кишки (обычно усваивается около 50 - 80 % от принятой дозы). При холестазе и других причинах, уменьшающих поступление желчи
      в кишечник, всасывание витамина D3 снижается. Всасывание витамина D3 в форме видеина составляет 85 - 90 %. Элиминация витамина D3 осуществляется через кишечник за 24 - 48 часов. Витамин D3 обладает кумулятивными свойствами.
      Показания к применению: видеин 3 применяют для профилактики и лечения рахита и рахитоподобных заболеваний у детей, при остеопатиях разного генеза, при D - гиповитаминозе у беременных женщин, при нарушениях минерального обмена (остеомаляции, остеопорозе), у больных, оперированных по поводу ложных суставов, ортопедических деформаций, с явлениями замедленной консолидации переломов и др.
      Способ применения и дозы: видеин 3 применяют внутрь один раз в сутки в одно и то же время.
      С целью профилактики рахита видеин 3 применяется у доношенных детей с 1 - го месяца, у недоношенных - с 10 - го дня жизни. Профилактическая доза составляет от 500 до 2000 МЕ в сутки в течение первого года жизни, исключая летние месяцы года. Курсовая рофилактика проводится на 2 - м, 6 - м, 10 - м месяцах жизни. Суточная доза витамина D3 составляет от 2000 до 4000 МЕ.
      С лечебной целью назначают по 2000 - 5000 МЕ в сутки в течение 30 - 45 дней. Противорецидивные
      курсы (в тех же дозах) проводятся спустя 3 - 4 месяца по окончанию лечения.
      Беременным женщинам препарат назначают с 28 - 32 - й недель беременности в суточной дозе от
      1000 до 1500 МЕ в течение 6 - 8 недель независимо от времени года.
      При рахитоподобных заболеваниях подбор лечебной дозы осуществляется врачом индивидуально для каждого больного.
      При лечении больных с костной патологией видеин 3 назначают по 5000 МЕ в сутки в течение 30 дней.
      При необходимости повторный курс проводится через 3 - 4 месяца по окончанию лечения.
      Особенности применения: препарат следует применять под врачебным наблюдением. Повторные курсы проводить не ранее, чем через 3 - 4 месяца от окончания лечения. При длительном применении (более 45 дней) лечебных доз препарата производить исследование содержания кальция и фосфора в крови и моче.
      Побочное действие: при правильных дозах побочные явления не наблюдаются.
      Противопоказания: не рекомендуется применение у больных с идиопатической гиперкальциемией.
      Форма выпуска: видеин 3 в таблетках, содержащих 2000 МЕ и 5000 МЕ витамина D3.
      Условия хранения: хранить в сухом, защищенном от света месте при температуре не выше + 22оС. Отпускают по рецепту.


      --
      С уважением,
      Анатолий Борзунов
      г. Евпатория

      [ Ответить ]
    Re: Рахит
    Alexander Artemiev 10 Май 2003, 19:43
    Здравствуйте, уважаемые коллеги.
    1.Не открою ничего нового, если скажу, что лечение
    при диагнозе фосфат-диабет должно быть комплексным
    (очевидность и шаблонность этой фразы даже у меня
    сразу вызвали улыбку:)))- старею)

    2.Консервативное - направлено на укрепление костного
    матрикса - применяются витамин Д3 и пр. В детской
    ортопедической б-це им.Зацепина это лечение обычно
    согласовывается с эндокринологами. Приводимый
    конкретный случай обсудим, возможно заочно удасться
    дать какие-то рекомендации - через несколько дней.

    3.Хирургическое лечение формально является
    симптоматическим - направлено на коррекцию
    деформаций и (под настроение) удлинение нижних
    конечностей.
    Операции необходимо выполнять на фоне
    консервативного лечения.
    возраст 4 года, возможно, и рановат для
    операции, но ждать завершения роста не следует, так
    как могут сильно деформироваться суставы.
    В этом случае представляется даже более оправданным
    сделать повторную операцию в случае весьма
    вероятного рецидива, чем ждать завершения
    формирования скелета. В зрелом возрасте остеомаляция
    обычно уменьшается и риск развития рецидва,
    естественно, тоже.

    Удачи. Александр Артемьев.
    [ Ответить ]


    ( Ответить )

    Powered by Zope  Squishdot Powered MedLink
    Посетитель: 0026905
      "По форме правильно, а по существу - издевательство" В.И.Ленин
    ©2001-2019Orthoforum Coordinator.
    [ Главная | Отправить сообщение | Поиск | Админ ]