AOTRAUMA.ORG Центр Илизарова  

Ортопедия и травматология Общие вопросы/General questions Help Информационные технологии в медицине
 вверх
 отправить
 поиск
 админ
 главная


Вывих плеча
Ортопедия и травматология Отправлено Anton V. Vladzimirskiy 19 Март 2003, 22:57
r1r2r3
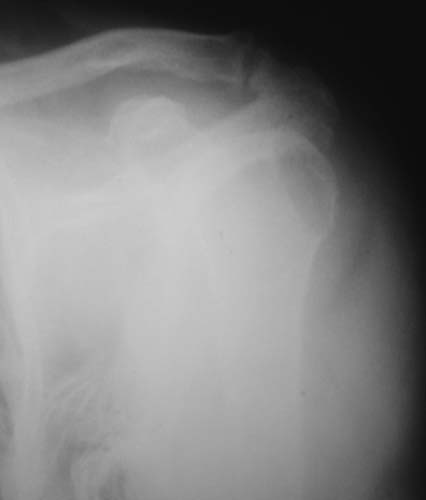
Уважаемые коллеги!Женщина, 60 лет. 3 недели назад упала с упором на отведенную левую руку. Почувствовала боль в левом плечевом суставе. За помощью не обращалась. 2 недели "мази и припарки". Затем - рентгенограмма (r1 и r2), жалобы на боли,ограничение движений...
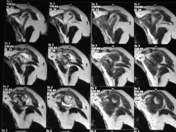
Активное отведение 80 гр., при пальпации - головка плечевой кости безболезненно вправляется и тут же самостоятельно вывихивается. Наложена косыночная иммобилизация, рентгенография (r3) и МРТ.В нашем диагностическом центре МРТ исследование плечевого сустава выполнено впервые, опыта у нас маловато :(.Вопросы: уточнение диагноза? какие исследования провести? тактика лечения?
Заранее благодарен!
С уважением,
А.В.Владзимирский
Донецкий НИИ травматологии и ортопедии
МРТ1МРТ2МРТ3МРТ4


<  |  >

 

  • Сообщения о Ортопедия и травматология
  • Также Anton V. Vladzimirskiy
  • Связаться с автором
  • Ответить

    Re: Вывих плеча
    А.Э.Цориев 20 Март 2003, 00:13
    Из того, что видно на недостаточно качественно отсканированных МРТ - нижний подвывих плеча и синовиит. Непонятный очаг по заднему контуру головки плеча (то ли артефакт, то ли косой срез, проходящий между головкой и большим бугорком). Сухожилия вращательной манжетки выглядят целыми. Неправильная форма нижней части labrum glenoidale - разрыв ?

    В идеале, хотелось бы посмотреть исходные снимки (МРТ), желательно в DICOM'е. Есть возможность таковые прислать ?
    [ Ответить ]

    Re: Вывих плеча
    А.Э.Цориев 20 Март 2003, 00:17
    И еще одно пожелание - МРТ костно-суставной системы ОБЯЗАТЕЛЬНО нужно проводить с использованием сканов с подавлением сигнала от жировой ткани (SPIR - на Филипсах, у Вас, как я вижу - Филипс; FATSAT - на других томографах, либо STIR - есть на любых аппаратах). Только так можно увидеть отек мягких тканей и костного мозга на фоне жировой ткани.

    Плоскости при сканировании плеча обязательно должно быть 3
    1. Ортогональная поперечная (аксиальная)
    2. Косая корональная (параллельно длинной оси диафиза)
    2. Косая сагиттальная (так же параллельно диафизу плеча)

    С уважением.
    [ Ответить ]

    • Re: Вывих плеча
      Отправитель: Anton V. Vladzimirskiy 21 Март 2003, 13:06
      > Непонятный очаг по заднему контуру

      Именно этот участок и смущает больше всего.

      > В идеале, хотелось бы посмотреть исходные снимки (МРТ), желательно в
      > DICOM'е. Есть возможность таковые прислать ?

      К сожалению, нет! Сейчас попробую еще раз переснять снимки и МРТ. Возможно получится более качественно. Тем более, что упомянутый участок явно виден в прямой проекции рентгенограммы.

      > И еще одно пожелание - МРТ костно-суставной системы ОБЯЗАТЕЛЬНО нужно
      > проводить с использованием сканов с подавлением сигнала от жировой
      > Плоскости при сканировании плеча обязательно должно быть 3

      Спасибо, будем знать.

      С уважением,
      А.В.Владзимирский

      [ Ответить ]
    Re: Вывих плеча
    Anatoliy Borzunov 22 Март 2003, 12:57
    Anton V. Vladzimirskiy> плечевой кости безболезненно вправляется и тут же самостоятельно
    Anton V. Vladzimirskiy> вывихивается. Наложена косыночная иммобилизация, рентгенография (r3) и МРТ.

    Довольно часто встречал в своей практике, когда после травмы плечевого сустава люди самостоятельно лечились и не пользовались косыночной иммобилизацией. В результате от длительного болевого синдрома и обездвиживания конечности возникала гипотрофия дельтовидной мышцы и других мышц плечевого сустава. Плечевая кость "отвисает" и создается впечатление подвывиха в плечевом суставе. При пальпации можно поднять плечевую кость на 2-3 см в плечевом сустава в проксимальном направлении при вертикальном положении больного. В результате
    пере растяжения капсулы плечевого сустава образуется "люфт" в плечевом суставе.

    --
    С уважением,
    Анатолий Борзунов
    г. Евпатория
    [ Ответить ]

    Re: Вывих плеча
    Evgueny Tchekashkine 22 Март 2003, 12:59
    Не могли бы Вы пояснить помимо ограничения отведения есть ли больной ограничение наружной ротации ?
    Как Вам известно, в некоторых случаях вывихи плеча сопровождаются разрывом ротаторной манжетки, отрывному перелому большого бугорка что приводит к потере наружной ротации и отведения плеча. На представленных рентгенограммах перелом не виден.
    МРТ должен показать разрыв манжетки, но признаться я не большой эксперт по чтению МРТ сканов, хотя затемнение, отек мягких тканей по задней поверхности плеча видны Обычные рентгенограммы демонстрируют остеолизис в области большого бугорка.
    Так называемый Apprehension test С местным введением анастетика даст возможность дифференцировать полнослойный от неполнослойного разрыва ротаторной манжетки.

    С наилучшими пожеланиями,
    Е. Чекашкин
    [ Ответить ]

    Re: Вывих плеча
    Андрей 23 Март 2003, 20:57
    В принципе, нестабильность сустава сама по себе является показанием для операции(O`Konnoly, Bancart, etc), но в данном конкретном случае следует учесть общее состояние и физическую активность больной.
    Иммобилизация же в случае уже развившейся разболтаности сустава вряд ли что-то даст.
    С уважением Андрей.

    [ Ответить ]

    Re: Вывих плеча
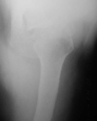
    Anton V. Vladzimirskiy 24 Март 2003, 20:23

    > Непонятный очаг по заднему контуру
    > Именно этот участок и смущает больше всего.







    1

    2


    "Прицельная" съемка малопонятного очага.

    Вопрос доктору Цориеву (для улучшения дальнейшей работы:) ).
    В приложенном файле - МРТ изображение. Более информативно, чем предыдущий вариант? менее? или также?


    С уважением,
    А.В.Владзимирский
    [ Ответить ]

    Re: Вывих плеча
    А.Э. Цориев 25 Март 2003, 01:54
    Все-таки, должен признать, что такие снимки - суррогат. Информативность чуть-чуть лучше, за счет большего размера. С учетом сложных топографо-анатомических соотношений необходимо иметь картину всех срезов, и смотреть их поочередно, иначе не создается целостной картины, а также иметь возможность манипулировать контрастом. Вот если б снимки были в DICOME - тогда от интерпретации было бы не отвертеться -)

    А так, могу только сказать следующее
    1. На рентгене - нижний подвывих плеча и очаг остеолиза суставного бугорка с четкими контурами (вдавленный перелом на фоне остеопороза ? доброкачественная опухоль? аваскулярный некроз ? (хотя ни разу не слышал об аваскулярном некрозе плеча..)
    2.выраженный выпот в полости сустава
    3. Сказать о связках и сухожилиях что-то при снимках в таком режиме не берусь.

    [ Ответить ]

    Re: Вывих плеча
    dr. gorby 27 Март 2003, 16:28
    Уважаемый Коллега Др. Владзимирский,
    Я сегодня впервые посетил Ваш форум и с большим интересом Вашу дискуссию.

    Несколько слов по поводу Вашего случая, и "непонятного" очага.
    Судя по снимкам, речь идTт о типичном случае Hill-Sachs Lesion. По этому поводу я позволю себе некоторый экскурс:
    97 % всех вывихов плеча происходит по механизму комбинации отведения, разгибания и наружной ротации (А. Гринспан). В момент вывиха головка плеча ударяет о нижний край гленоида, что ведет к вдавленному или компрессионному перелому одной или обеих структур. Чаще всего, однако, повреждение возникает в задней латеральной области головки плечевой кости на переходе от головки к шейке. Этот диагноз можно выставить на основании рентгеновского снимка в переднезадней проекции с внутренней ротацией плеча. Несколько реже видно повреждение гленоида о передненижний перелом края. То, что мы называем Bankart Lesion. Это повреждение видно на ре. снимке в п.з. проекции при нейтральной позиции плеча. Разумеется хрящевые и мягкотканные повреждения (в смысле Банкарт) мы увидим лучше всего на ЯМР.
    Учитывая описанную клинику, речь идTт о комбинации патологии. К сожалению, учитывая качество снимков NMR, я не могу провести достаточно точную верификацию состояния нижнего края гленоида, что впрочем, не меняет рекомендации. Для определения состояния РМ и дополнить исследование УЗИ мягких тканей плеча. В опытных руках достаточно информативное и дешевое исследование.
    Я рекомендую: артроскопическая верификация патологии плечевого сустава, при необходимости рефиксация labrum (напр. Вайтек-анкер). О послед. лечении поговорим позднее.
    Заранее прошу извинение за весьма посредственный русский язык.

    С коллегиальным уважением
    Dr. Gorbacev, Koeln, Germany
    [ Ответить ]


    ( Ответить )

    Powered by Zope  Squishdot Powered MedLink
    Посетитель: 0026899
      "По форме правильно, а по существу - издевательство" В.И.Ленин
    ©2001-2019Orthoforum Coordinator.
    [ Главная | Отправить сообщение | Поиск | Админ ]