AOTRAUMA.ORG Центр Илизарова  

Ортопедия и травматология Общие вопросы/General questions Help Информационные технологии в медицине
 вверх
 отправить
 поиск
 админ
 главная


Последствия травмы голеностопного сустава
Ортопедия и травматология Отправлено Alexander Chelnokov 09 Январь 2003, 00:23
12
34
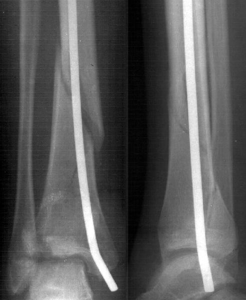
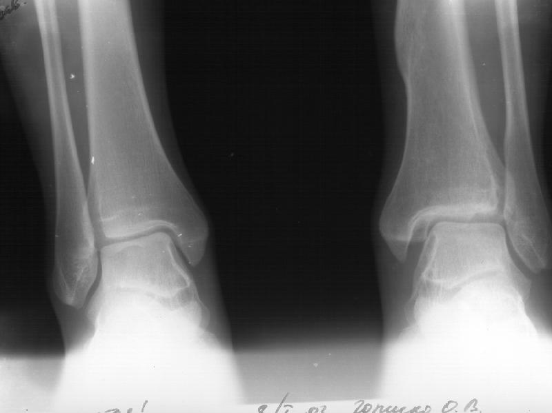
Девочка 14 лет полтора года назад оперирована в детской больнице по поводу спирального перелома костей голени (снимок 1)- выполнен закрытый остеосинтез стержнем Богданова, введенным ретроградно с медиальной стороны (снимок 2). Фиксатор после сращения удален
(см. снимки 3 и 4, после удаления, для сравнения со здоровой стороной, фас - стоя с нагрузкой на обе ноги). В настоящее время беспокоят боль и отеки в области голеностопного сустава при нагрузках, после ходьбы. В покое и ночью боли нет.Амплитуда движений в голеностопном суставе практически полная. Имеется заметная боковая нестабильность, т.е. несостоятельность дельтовидной связки и межберцоого синдесмоза. Складывается впечатление, что при остеосинтезе был отколот и смещен в сторону сустава костный фрагмент позади внутренней лодыжки, увеличилось смещение отломка заднего края, что привело к столь ранним проявлениям деформирующего артроза. Встает вопрос - что делать сейчас?Артодез - наверно, рано. Ревизию сустава, моделирующую резекцию?Пластику связок? Что-то еще? Заранее спасибо.

<  |  >

 

  • Сообщения о Ортопедия и травматология
  • Также Alexander Chelnokov
  • Связаться с автором
  • Ответить

    Re: Последствия травмы голеностопного сустава
    Й.Воск 09 Январь 2003, 02:02
    умаю дельтовидная связка и дистальный тибио-фибулярный синдесмоз не повреждены. При операции гвоздь вколочен внутрь сустава между медиальным
    малеолярным отростком и талюсом так, что отломил и оттеснил медиально ту часть медиального маллеола, который обеспечивает медиальную стенку "ворот" (мортис) голеностопа. Сейчас при ходьбе талюс сублюксирует в медиальном
    направлении. От этого боли и отёки при ходьбе.
    1. На мой взгляд, оперировать таким методом подобный перелом у 13 летнего ребёнка было более чем спорным решением.
    2. Оперировать сегодня случившуюся ситуации с любой идеей, значит, на мой взгляд, подлить масла в огонь. Вот уж, как говорится, один бросит камень в воду, сотне других не вытащить.
    По мне, нужно оставить девочку в покое, протезировать ходьбу высокими шнурующимися ботинками с мягкой пружинистой подошвой и любым путём " тянуть" девочку за возраст 20-25 лет. Тогда делать повторную оценку ситуации и
    решать всё с чистого листа. Поверьте, природа подчас умеет реабилитировать ятрогенные факи так, что нам остаётся только поражаться.

    Й.Воск
    [ Ответить ]

    • Re: Последствия травмы голеностопного сустава
      Отправитель: Alexander Chelnokov 12 Январь 2003, 01:25
      На следующий день пациентке сделали КТ. Может быть, после просмотра картинки будут другие предложения? Не убрать ли ве-таки этот фрагмент
      позади внутренней лодыжки, который оттесняет таран кнаружи?

      [ Ответить ]
      • Re: Последствия травмы голеностопного сустава
        Отправитель: Й Воск 12 Январь 2003, 14:24
        Думаю, КТ прочитан не верно. Задняя часть медиального маллеола, в сущности уже часть заднего маллеола стоит на месте и трогать её не следует. Передняя часть маллеола на 3-4 мм удалена от тарана. Сравните с пространством между
        латеральным маллеолом и тараном. В норме все три должны быть одинаковы: между тараном и латеральным, задним и медиальным. Это главное условие устойчивого сидения тарана в голеностопном суставе.
        Й Воск

        [ Ответить ]
        • Re: Последствия травмы голеностопного сустава
          Отправитель: Alexander Chelnokov 12 Январь 2003, 14:48
          > Думаю, КТ прочитан не верно. Задняя часть медиальногомаллеола, в сущности
          > уже часть заднего маллеола стоит на месте и трогать её не следует.

          Все-таки она как раз была была отколота и вместе с тараном смещена латерально.

          > Передняя часть маллеола на 3-4 мм удалена от тарана.

          Внутренняя лодыжка не была сломана, она как была на своем месте, так там и находится. Это таран от нее отдавлен кнаружи смщенным в его сторону фрагментом позади внутренней лодыжки. За счет чего и есть проявления нестабильности связок.

          > Сравните с пространством между латеральным маллеолом и тараном.В
          > норме все три должны быть одинаковы: между тараном и латеральным,

          Вот и проблема. Восстанавливать ли эту равномерность сейчас, и если да, то как. Вот точка зрения коллеги из Штатов:
          ======================================================
          Interesting case. thanks for the ct cuts. now it is real clear that there is a posterior medial maleolar fragment displaced into the joint forcing the talus laterally. My first inclination in this young girl is to debride out the displaced fragment. The difficult part will be visualization ot know how much to take. My approach would be through an oblique medial malleolar osteotomy and hinge the distal malleolus away from the talus leaving the deep deltoid intact. this way you could easily view the whole articular surface of the medial gutter. I would debride the prominent bone back slightly beyond the level of the normal
          malleolar surface. The osteotomy may also help reduce the widened mortise. I don't see anything i would do to the syndesmosis area nor any
          significant lenght differences between the fibula and tibia laterally form the proximal tibia fracture.

          John Early MD
          U Texas Southwestern Med Ctr
          Dallas, Texas
          john.early@utsouthwestern.edu
          ======================================================

          [ Ответить ]
          • Re: Последствия травмы голеностопного сустава
            Отправитель: Й.Воск 12 Январь 2003, 14:50
            Мои замечания по поводу перелома в голеностопе написаны не с целью оказаться правым,а продиктованы желанием помочь коллегам. Я продолжаю обращать Ваше внимание на то, что по моему мнению при первой операции стержень вошёл между тараном и мед. маллеолюсом и разнёс их в противоположных направлениях.Отдавил и отломал переднюю часть мед. маллеолюса от его
            тибиальной основы. По мне, КТ это совершенно ясно показывает.
            Идея шлифовать "выступ" медиально-задней поверхности, поддержанная техасским ковбоем, на мой взгляд чревата катострофой, т.к. неверна по пониманию биомеханике прошлого ляпсуса, чрезвычайно сложна по доступу. Я могу чётко
            прогнозировать, что эта процедура усилить неустойчивость голеностопа, повредит окончательно ростовой потенциал дистальной тибии и приведёт девочку к тяжёлой инвалидности. По моему это тот случай, когда не за то папа сына
            бил что в карты играл, а зато что отыгрывался. Но Вы вольны оставаться при своём мнении.
            Й.Воск

            [ Ответить ]
            • Re: Последствия травмы голеностопного сустава
              Отправитель: Alexander Chelnokov 12 Январь 2003, 14:52
              > Мои замечания по поводу перелома в голеностопе написаны не с целью оказаться
              > правым,а продиктованы желанием помочь коллегам.

              Мне кажется, это избыточное пояснение, у всех участников обсуждения мотивация вполне здравая.

              > Я продолжаю обращать Ваше внимание на то, что по моему мнению при
              > первой операции стержень вошёл между тараном и мед. маллеолюсом и

              Вопрос, видимо, требующий изучения - interobserver reliability в оценке одних и тех же рентгенограмм. Несколько врачей по одному и тому же снимку видят, как сейчас, разное. И могут принимать противоположные решения. Насколько часто такое бывает? Насколько значимо то, что тактическое решение у другого врача в отношении этого же пациента могло быть противоположным? Какова роль коллегиального обсуждения, в том числе неформального через Internet, в в выборе оптималного решения? Насколько качество визуальной информации, представляемой в подобном нашему обсуждениях, достаточно для принятия решений?

              > Отдавил и отломал переднюю часть мед. маллеолюса от его
              > тибиальной основы. По мне, КТ это совершенно ясно показывает.

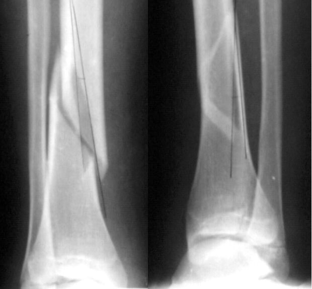
              Мне в тоже время совершенно ясно видно по той же КТ, по 4 срезам, расположенным в центре и вверху пленки, что перелома внутренней лодыжки не было, в следующем собщении я приложу увеличенный фрагмент томограммы. А к этому письму прилагаю увеличеный фрагмент послеоперационной рентгенограммы, где выделил отколотый фрагмент
              позади внутренней лодыжки. И он, как я вижу, находится между стержнем и тараном. А перелома внутренней лодыжки, и тем более смещения, IMHO
              не определяется.

              > ковбоем, на мой взгляд чревата катострофой, т.к. неверна по пониманию
              > биомеханике прошлого ляпсуса, чрезвычайно сложна по доступу.

              С тем, что это непросто, трудно спорить. Чстно сказать, у меня были надежды на то, что западные коллеги скажут, что есть вариант сделать что-то артроскопически, и подскажут, что и как. Поскольку наши артроскописты с голеностопом практически не работали еще.

              > Я могу чётко прогнозировать, что эта процедура усилить
              > неустойчивость голеностопа, повредит окончательно ростовой потенциал

              По-моему, это тут случай, про который можно сказать "из огня, да в полымя". To бишь "out of the frying pan into the fire".

              Кликните для загрузки файла get_image.jpg
              39KB (39996 bytes)

              [ Ответить ]
            • Re: Последствия травмы голеностопного сустава
              Отправитель: Alexander Chelnokov 12 Январь 2003, 14:55
              > направлениях.Отдавил и отломал переднюю часть мед. маллеолюса от его
              > тибиальной основы. По мне, КТ это совершенно ясно показывает.

              Здесь 4 среза, начиная от основания лодыжки и проксимальнее. Где, по Вашему мнению, проходит линия перелома, отделяющая переднюю часть внутренней лодыжки от большеберцовой кости? Заранее спасибо.

              Кликните для загрузки файла get_image.jpg
              38KB (39385 bytes)

              [ Ответить ]
              • Re: Последствия травмы голеностопного сустава
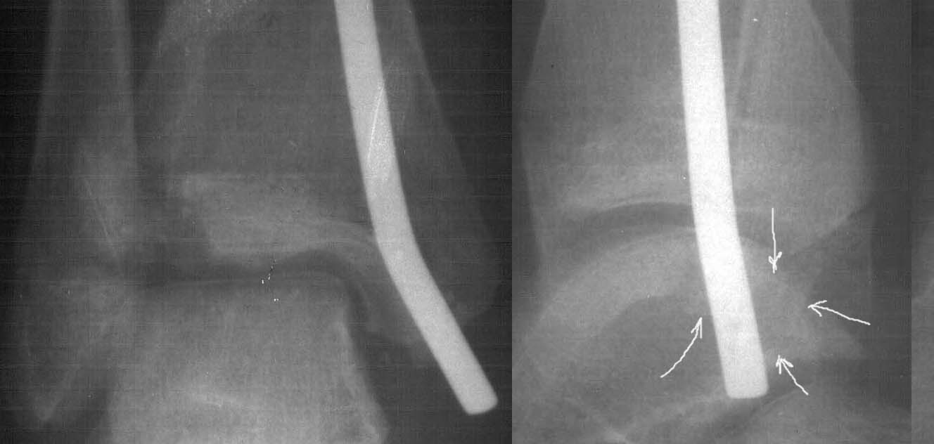
                Отправитель: Й. Воск 19 Январь 2003, 22:29
                Я пометил линию перелома черной линией.
                К сожалению на последних присланных срезах КТ нет более низкого, через таран, среза, который был на прежнем майле. На XR я попытался показать
                стержень внутри сустава и то как он раскрывает пространство между тараном и мед. малеолом.

                Кликните для загрузки файла _____ 2.JPG
                57KB (58409 bytes)

                [ Ответить ]
                • Re: Последствия травмы голеностопного сустава
                  Отправитель: Alexander Chelnokov 19 Январь 2003, 22:34
                  > К сожалению на последних присланных срезах КТ нет более низкого, через
                  > таран, среза, который был на прежнем майле. На XR я попытался показать

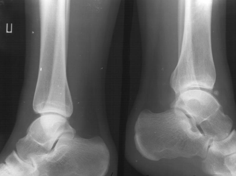
                  Сегодня пациентке сделали сравнительную КТ. А ксиальные и Фронтальные срезы приложены. Ваше мнение?







                  Фронтальные

                  Аксиальные




                  [ Ответить ]
                  • Re: Последствия травмы голеностопного сустава
                    Отправитель: Й. Воск 19 Январь 2003, 22:37
                    Спасибо за КТ -она изумительная. К сожалению, я по дороге на врачебный викенд на Мёртвом море и не смогу подготовить комментарий и схемку до 19.01.03 Помоему, результат КТ даёт чёткую возможность красивой и эффективной помощи.

                    [ Ответить ]
                  • Re: Последствия травмы голеностопного сустава
                    Отправитель: Й. Воск 19 Январь 2003, 22:50
                    На КТ я попытался изобразить скромными своими способностями (А)- место перелома, (С)- нормальный суставной зазор меж тараном и тремя его маллеолами. (В)- образовавшийся в результате перелома широкий раза в три зазор, позволяющий, по-моему, сублюксацию тарана при ходьбе. В свете данных КТ, критически важных, я бы предложил вертикальную остеотомию места перелома
                    задне-внутренним подходом и фиксацию мед. маллеола прижатым к тарану с помощью тонкого compression screw. После этого гипсовый сапожок и немедленное расхаживание ноги.
                    Удачи, Й.Воск

                    Кликните для загрузки файла get_image.jpg
                    43KB (44179 bytes)

                    [ Ответить ]
    Re: Последствия травмы голеностопного сустава
    Bill Burman 09 Январь 2003, 20:12
    Jarvis and Firoz in J Trauma 2001;51:714
    http://www.hwbf.org/hwb/conf/alex44/jarvis.htm
    report the association of triplane fracture
    http://www.hwbf.org/hwb/conf/alex44/trip.gif
    (typically seen as Salter-Harris II in the AP and Salter-Harris III in the lateral) with distal spiral tibial fractures.

    It is difficult to tell from the post retrograde im nail images but there is definitely an SH II on the lateral and possibly a SH III (tillaux
    fragment)
    http://www.hwbf.org/hwb/conf/alex44/till.gif
    in the region of the tubercle of Chaput.

    The retrograde IM device may have maintained a > 2mm displacement of the triplane fx which according to Ertl et al JBJS A 70: 967-976 1988
    http://www.hwbf.org/hwb/conf/alex44/ertl.htm
    generally gives a poor long term outcome.
    Do you have access to injury films and what about bilateral comparative axial CT's to better define the ankle mortise pathoanatomy?

    Bill Burman, MD
    HWB Foundation
    [ Ответить ]

    Re: Последствия травмы голеностопного сустава
    Alexander Chelnokov 11 Январь 2003, 18:27
    BB> generally gives a poor long term outcome. Do you have access to injury
    BB> films

    Preoperative x-ray was attached to my initial posting.

    BB> and what about bilateral comparative axial CT's to better define the
    BB> ankle mortise pathoanatomy?

    I attach CT of the affected ankle.




    1


    [ Ответить ]

    Re: Последствия травмы голеностопного сустава
    John Early 11 Январь 2003, 18:43
    Interesting case. thanks for the ct cuts. nowit is real clear that there is a posterior medial maleolar fragment displaced into the joint forcing the talus laterally. My first inclination in this young girl is to debride out the displaced fragment. The difficult part will be visualization ot know how much to take. My approach would be through an oblique medial malleolar osteotomy and hinge the distal malleolus away from the talus leaving the deep deltoid intact. this way you could easily view the whole articular surface of the medial gutter. I would debride the prominent bone back slightly beyond the level of the normal
    malleolar surface. The osteotomy may also help reduce the widened mortise. I don't see anything i would do to the syndesmosis area nor any
    significant lenght differences between the fibula and tibia laterally form the proximal tibia fracture.


    John Early MD
    U Texas Southwestern Med Ctr
    Dallas, Texas
    [ Ответить ]

    Re: Последствия травмы голеностопного сустава
    Dr N K Sinha 11 Январь 2003, 18:48
    The point to note is
    1)14 yr old age
    2)1.5 yr old ankle malunion,
    3)Lig. insufficiency
    4) Start of OA with pain & swelling on load.
    Of all t/t options,restoration of ankle anatomy by revision surgery should be chosen as it can stop the progression of an otherwise disabling OA.It can also give significant relief to the symptom of pain &swelling.Trans-fibular approach
    by extra-periostial down-turning of the lat. malleolus would give enough access to lat. & post. aspect of talus while med. aspect is accessed through a separate antero-med. arthrotomy. Syndemotic lig. repair is not needed. The surgical correction of ankle malunion is a difficult exercise & I have found this approach most adequate for the purpose.

    Dr.N.K.Sinha
    Specialist[ortho.]
    Deptt of Orthopaedics
    Sultan Qaboos Hospital
    Salalah
    Sultanate of Oman
    [ Ответить ]


    ( Ответить )

    Powered by Zope  Squishdot Powered MedLink
    Посетитель: 0000079
      "По форме правильно, а по существу - издевательство" В.И.Ленин
    ©2001-2019Orthoforum Coordinator.
    [ Главная | Отправить сообщение | Поиск | Админ ]