AOTRAUMA.ORG Центр Илизарова  

Ортопедия и травматология Общие вопросы/General questions Help Информационные технологии в медицине
 вверх
 отправить
 поиск
 админ
 главная


Локоть
Ортопедия и травматология Отправлено Anton Vladzymyrskyy 19 Декабрь 2002, 19:11
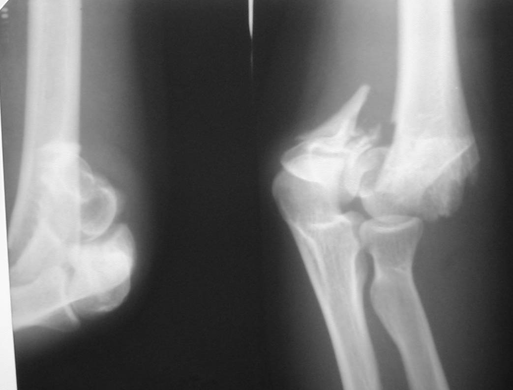
Женщина, 37 лет. Травма в результате падения на улице. Закрытый многооскольчатый перелом дистального метаэпифиза левой плечевой кости со смещением. Неврологических и сосудистых нарушений не выявлено.Лечение? Если внешняя фиксация, то - каков монтаж АВФ? Сейчас пациентка на скелетном вытяжении.С уважением,А.В.Владзимирский


<  |  >

 

  • Сообщения о Ортопедия и травматология
  • Также Anton Vladzymyrskyy
  • Связаться с автором
  • Файл-вложение
  • Кликните для загрузки файла k1.JPG
    39KB (40781 bytes)

  • Ответить

    Re: Локоть
    Александр Шевченко 19 Декабрь 2002, 20:40
    Задний доступ с остеотомией локтевого отростка, фиксация третьтрубчатыми пластинами (по классической методике АО), фиксация локтевого отростка проволочной петлей.
    [ Ответить ]

    Re: Локоть
    Alexander Chelnokov 20 Декабрь 2002, 20:08






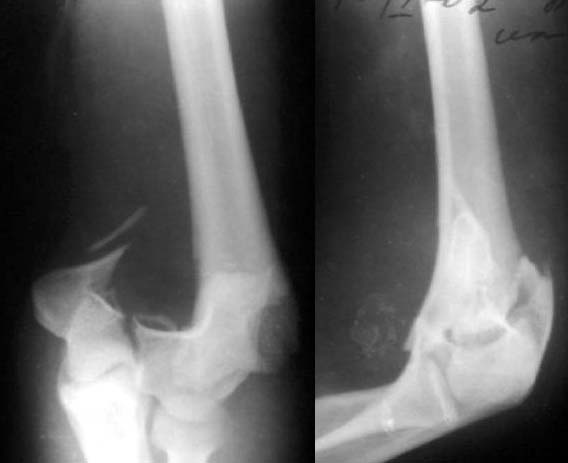
    До лечения

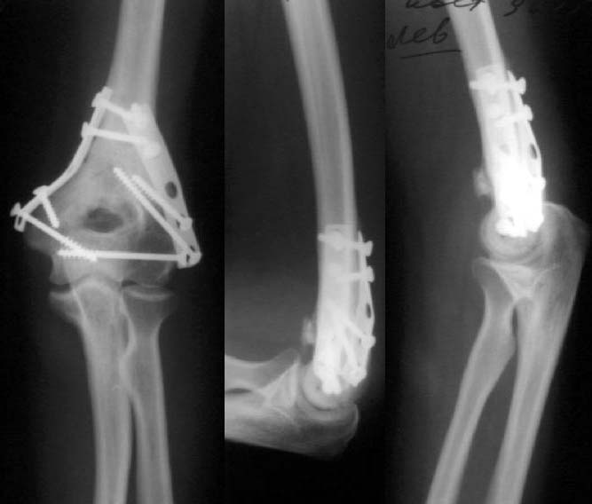
    Результат в 6 месяцев

    Лечение тут, видимо, должно основываться в первую очередь на открытой репозиции, поскольку возможности закрытой при таких повреждениях далеко недостаточны. Если поверхность блока состоит не просто из двух крупных фрагментов, лучше идти с отсечением локтевого отростка. Вопрос о методе фиксации более второстепенный. Можно и аппаратом. В приложении - пример лечения такого повреждения с внутренней фиксацией.


    [ Ответить ]

    Re: Локоть
    Борис Максимов 21 Декабрь 2002, 09:55
    Думаю, что открытая репозиция и старый добрый остеосинтез, описанный еще в руководстве по остеосинтезу Мюллера вполне подойдет, хотя недавно мы оперировали пациенку с подобным переломом и получилось довольно удачно, но впоследствии она консультировалась в одной из Кемеровских клиник и якобы было сказано, что 1/3 трубки на локтевую поверхность и реконструктивная на лучевую с межфрагментарным винтом уже не современно.

    Всего наилучшего
    Максимов Борис
    Сердобск, Пензенской
    [ Ответить ]

    Re: Локоть
    Anton V. Vladzimirskiy 24 Декабрь 2002, 19:45
    Все же открываться мы не стали. Результаты в приложении. Фронтальный снимок переделаю и пришлю еще раз. Мнения?

    С уважением,
    А.В.Владзимирский
    Кликните для загрузки файла k5.jpg
    9KB (9874 bytes)

    [ Ответить ]


    ( Ответить )

    Powered by Zope  Squishdot Powered MedLink
    Посетитель: 0054833
      "По форме правильно, а по существу - издевательство" В.И.Ленин
    ©2001-2019Orthoforum Coordinator.
    [ Главная | Отправить сообщение | Поиск | Админ ]