AOTRAUMA.ORG Центр Илизарова  

Ортопедия и травматология Общие вопросы/General questions Help Информационные технологии в медицине
 вверх
 отправить
 поиск
 админ
 главная


Перелом шейки бедра
Ортопедия и травматология Отправлено Alexander Chelnokov 22 Ноябрь 2002, 19:01
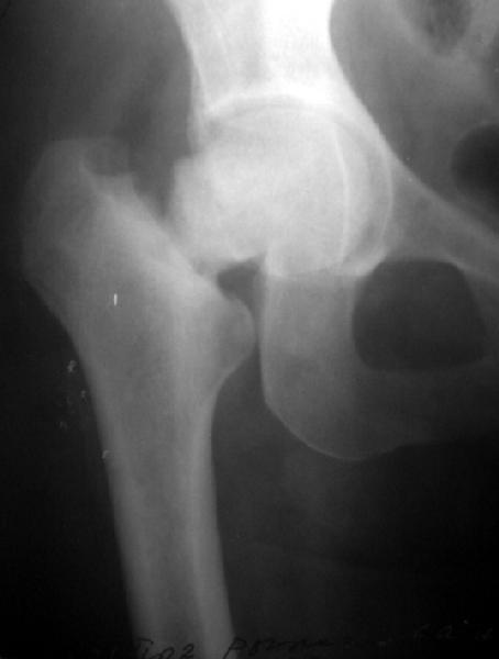
Женщина лет 40 переведена к нам из городской больницы с переломом шейки бедра.
Упала дома 5.11.02. С ее слов, в послдений год лечилась консервативно от якобы коксартроза с этой же стороны. Снимков не делали. Этот сустав болит последние несколько месяцев. На снимках обращает на себя "замыленность" краев. Не усталостный ли это перелом? Дама полноватая. Ограничения амплитуды движений до травмы она не отмечала.Мнения о тактике у нас разошлись в диапазоне от остеосинтеза винтами до эндопротезирования, с остеотомиями между ними. Помогите, пожалуйста, обосновать выбор.

<  |  >

 

  • Сообщения о Ортопедия и травматология
  • Также Alexander Chelnokov
  • Связаться с автором
  • Ответить

    Re: Перелом шейки бедра
    Й. Воск 23 Ноябрь 2002, 20:27
    Мне кажется с этой женщиной надо прежде всего хорошо поговорить. Перелом выглядит несвежим (не менее 4-6 месяцев) и не патологическим. Усталостный ведь тоже патологический! По-моему, был у неё импактный относительно устойчивый перелом шейки, образовавший фиброзный N-Union. Поэтому были у неё боли и "коксартроз". При последнем падении она его дез-импактировала.
    Что делать? Одно из двух: hemi- or total hip arthroplasty. Оба хороши. Ни в коем случае внутреннюю фиксацию гвоздями или винтами. Это достаточно проблематично в явно свежих случаях, а здесь фиброз поверхности перелома. Обязательна гистология удаленной головки бедра.

    Удачи, Й. Воск
    [ Ответить ]

    Re: Перелом шейки бедра
    Р. М. Тихилов 23 Ноябрь 2002, 20:29
    Базис-цервикальный перелом у молодой женщины - есть смысл выполнить остеосинтез. Лучше - винтами, но в принципе той конструкцией которой
    Вы лучше владеете. Даже если думать о перегрузочной б-ни, остеосинтез позволит добиться сращения. Эндопротезирование Вы всегда успеете сделать. Остеотомия категорически не показана, остеосинтез возможно сочетать с костной пластикой (опять же думая о перегрузочной б-ни).

    С уважением, Р.Тихилов
    [ Ответить ]

    Re: Перелом шейки бедра
    Казбек Кудзаев 23 Ноябрь 2002, 20:30
    Я бы предложил пациентке тотальное бесцементное эндопротезирование. Так как у нее имеется
    коксартроз, смысла делать гемиэндопротезироваие не вижу. С уважением Казбек Кудзаев.
    [ Ответить ]

    Re: Перелом шейки бедра
    James Carr 23 Ноябрь 2002, 20:33
    To my eye, it does have a sclerotic edge to it, but it may just be projection. Does she have diabetes or other metabolic- eg renal problems? Jim Carr
    [ Ответить ]

    Re: Перелом шейки бедра
    Dr Mangal Parihar 23 Ноябрь 2002, 20:34
    Rather than a fatigue fracture, I would look for a pathological fracture and rule out either metastases or metabolic disease.

    If she reports no limitation of hip movements before the injury, then I would not think of arthritis in the hip, and it would be even more
    important to rule out the differentials of mets or metabolic disease

    If it is mets, then the decision may change, but otherwise, internal fixation with multiple screws would be the way to go, One could either do a closed reduction (which should not be a problem in a basal fracture like this one, or an open reduction if one cannot achieve a closed reduction.

    Certainly, a thr in this patient would be overkill - reasons - young patient & overweight both of which will lead to earlier failur thru
    wear...

    regards
    [ Ответить ]

    Re: Перелом шейки бедра
    Derek Cooke 23 Ноябрь 2002, 20:35
    The very clear ends and sclerosis suggest an osteitis. Difficult to tell re the hip but there appears to be sclerosis here in the acetabulum too. I would be very suspicious of Pagets. Does she have any metabolic bone
    abnormalities, raised Alk Phos?. I think no place for hip fixation here as this is a pathological #, but a THR. May be difficult because of the sclerosis and hypervascular.
    If it is Pagets, start Treatment before you replace the hip.

    Regards
    Derek Cooke
    Orthopedic Consultant, Riyadh Saudi Arabia.
    [ Ответить ]

    Re: Перелом шейки бедра
    DR T I GEORGE 23 Ноябрь 2002, 20:36
    To me the whole head, neck and adjacent acetabular area look sclerotic.

    Do you have x-ray of the whole pelvis with both hips for comparison of areas. Also like James carr suggested a metabolic work up.

    DR T I GEORGE
    [ Ответить ]

    • Re: Перелом шейки бедра
      Отправитель: Alexander Chelnokov 23 Ноябрь 2002, 20:58
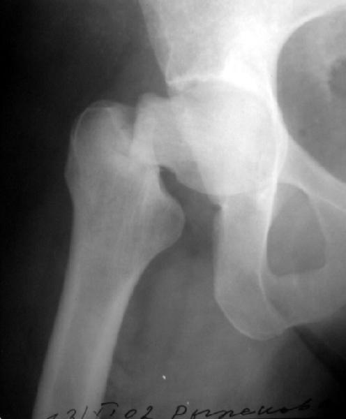
      This one was made at the initial hospital two days before transfer.

      Прилагаю еще одну рентгенограмму - обзорный снимок таза от 11 ноября, еще до перевода к нам. Ранее были посланы снимки, сделанные 13 ноября
      уже у нас.

      Кликните для загрузки файла get_image.jpg
      30KB (30841 bytes)

      [ Ответить ]
      • Re: Перелом шейки бедра
        Отправитель: Й. Воск 26 Ноябрь 2002, 10:57
        Думаю прежний снимок мало что меняет. Есть базо-цервикальный перелом, на мой взгляд, несвежий. Снимок 11.11.02 технически хуже 13.11.02 и сделан в несколько иной проекции. Жаль что в обеих случаях нет аксиального снимка шейки, на мой взгляд просто необходимого для диагноза.
        Й.Воск

        [ Ответить ]
        • Re: Перелом шейки бедра
          Отправитель: Alexander Chelnokov 26 Ноябрь 2002, 17:41
          Сегодня сделали, прилагаю. Качество не очень, но положение отломков видно.

          Кликните для загрузки файла get_image.jpg
          11KB (11507 bytes)

          [ Ответить ]
    Re: Перелом шейки бедра
    Dr M Iqbal 23 Ноябрь 2002, 20:36
    I would prefer doing closed raeduction & fixation by 140degree or higher D.H.S. along with
    closed wedge valgus osteotomy.

    Thanks
    Dr M Iqbal (Ortho Surgeon)
    101 Shakti Nagar,
    KOTA-324009.
    [ Ответить ]

    • Re: Перелом шейки бедра
      Отправитель: Dr.K.P.daga 26 Ноябрь 2002, 17:48
      Dear Dr.M.Iqbal,
      heard you after long time If i remember it is you who wrote thesis for your M.S.{orth]. at Bikaner Then i have not heard about since long May i request you to send details about your place etc.?

      please reply, with regds,
      Dr.K.P.daga

      [ Ответить ]
    Re: Перелом шейки бедра
    dr.k.P.daga. 23 Ноябрь 2002, 20:38
    this is cear cut fracture neck of femur it can not be fatigue fracture so clear.
    as she is only 40 yrs one has to try to get osteosynthesis with DHS.No THR
    at all if this fails then there are other altenatives,

    with regds,
    dr.k.P.daga.
    [ Ответить ]

    Re: Перелом шейки бедра
    Andrej O Ragozin 23 Ноябрь 2002, 20:39
    Учитывая анамнез заболевания, по-видимому этот перелом нельзя отнести к разряду "свежих", а избыточный вес больной вряд ли позволит ей после
    операции огстеосинтеза передвигаться в течении полугода или более без нагрузки на конечность, что не гарантирует положительный прогноз после
    остеосинтеза.

    Так как, женщина достаточно активного возраста, то думаю что оптимальным будет тотальное эндопротезирование тазобедренного сустава с последующей разгрузкой при помощи трости (учитывая вес больной).
    С Уважением А. Рагозин
    [ Ответить ]

    • Re: Перелом шейки бедра
      Отправитель: Й. Воск 26 Ноябрь 2002, 10:58
      Согласен с Вами, Андрей
      Думаю, полу-артропластика типа Томпсон или Остин-Мур также приемлимы, особенно если есть финансовые ограничения. Кроме того, у более молодых это оставляет лучшую ситуациюдля тотальной пластики в будущем. В общем-то жаль
      молодую женщину у которой из-за запоздалого выявления первичного перелома отнят шанс на очень несложный и нетравматичный чрезкожный остеосинтез шейки

      бедра.
      Й.Воск

      [ Ответить ]
    Re: Перелом шейки бедра
    Р. М. Тихилов 23 Ноябрь 2002, 21:02
    Мне все же кажется что есть смысл побороться за сустав и выполнить остеосинтез с костной пластикой. Мы оперировали троих б-с с
    перегрузочной б-нью и переломом шейки бедра. Во всех случаях был выполнен остеосинтез с аутокостной пластикой (м/берцовая кость)и у
    всех б-х удалось добиться сращения. эндопротез никуда не уйдет.
    С уважением, Р.Тихилов.
    [ Ответить ]

    • Re: Перелом шейки бедра
      Отправитель: Alexander Chelnokov 26 Ноябрь 2002, 10:54
      РМТ> Мы оперировали троих б-с с перегрузочной б-нью и переломом шейки
      РМТ> бедра. Во всех случаях был выполнен остеосинтез

      А чем синтезировали?

      РМТ> выполнен остеосинтез с аутокостной пластикой (м/берцовая кость)и у

      То есть трубчатый аутотрансплантат помещен по оси шейки?
      Спасибо.


      [ Ответить ]
    Re: Перелом шейки бедра
    dr. bacal tommy 26 Ноябрь 2002, 17:44
    the bone and fracture characteristics are suggestive of paget's disease.
    have you considered it?
    dr. bacal tommy
    tel mond
    israel
    [ Ответить ]

    Re: Перелом шейки бедра
    Fred Barrick MD 26 Ноябрь 2002, 17:44
    It looks like there is an early fatigue (stress) fracture of the opposite hip as well. I would fix both hips with screws, then get a bone mineral density and other endocrologic work-up


    Fred Barrick MD
    Inova Regional Trauma Center
    Falls Church, VA
    [ Ответить ]

    Re: Перелом шейки бедра
    Srinivasan Dhamodaran 26 Ноябрь 2002, 17:45
    Dear Sir,
    ?????Is there a lesion on the opposite neck too!!!!
    Dr.S.Dhamodaran
    [ Ответить ]

    Re: Перелом шейки бедра
    dr satish sharma 26 Ноябрь 2002, 17:46
    What I suggest that you get her s calcium,serum bone specific alkaline phosphatase,vit d3 levels and rule out pathological fr.due to vit d
    def.

    with regards,

    dr satish sharma,dr n .c. joshi hospital,govt.of nct,new delhi,india
    [ Ответить ]

    Re: Перелом шейки бедра
    DR T I GEORGE 26 Ноябрь 2002, 17:46
    As suggested by many members, there seem to be something more than just a one sided neck of femur fracture.

    Will be happy to know her biochemical work up.

    Do you have an x-ray skull lateral view??

    DR T I GEORGE
    [ Ответить ]

    Re: Перелом шейки бедра
    Rajesh 26 Ноябрь 2002, 17:49
    Could it be a breast secondary with a pathological # ? The bone does not
    look normal at all.
    [ Ответить ]

    Re: Перелом шейки бедра
    David Goetz 26 Ноябрь 2002, 17:50
    Looks like a displaced stress fx to me. Have been sent many over the years and and seen [and contributed] to a 100% failure rate when treated with just cannulated screws and an indirect reduction. Screws will work in the acute
    situation, but not chronic. The reduction of a delayed fx can never be truly anatomic. I would suggest an osteotomy along with a blade plate or
    compression screw or at least a compression screw in anatomic position or slight valgus with normally aligned medial cortex [hard to do].

    David R. Goetz MD
    Medical Director, Orthopaedic Trauma, Greenville SC
    Voice Mail 864-455-6870; pager 390-8859; Office 455-6030
    [ Ответить ]

    Re: Перелом шейки бедра
    Alexander Chelnokov 07 Декабрь 2002, 17:47
    Напоминаю, что упала больная 5 ноября, но до этого несколько месяцев жаловалась на боли в тазобедренном суставе. А вообще "что-то не то" с
    этой областью было года два. За все это время уменьшения амплитуды движений, с ее слов, не было. И вот сегодня прислали ее снимок,
    сделанный 1 ноября, до есть за 4 дня до падения. Вроде есть там что-то типа лоозеровской зоны.





    Полноразмерная рентгенограмма (сканирована с 300 dpi, файл jpeg ~440Kb) выложена
    здесь
    Может, все-таки усталостный перелом?


    [ Ответить ]

    • Re: Перелом шейки бедра
      Отправитель: Marcus Sciadini 07 Декабрь 2002, 17:51
      CT scan available?

      MFS

      [ Ответить ]
    • Re: Перелом шейки бедра
      Отправитель: Shah Alam Khan 07 Декабрь 2002, 17:52
      Have you ruled out all forms of metastatic bone disease (more so CA breats)? The head and neck look pretty sclerosed to me.
      Dr. Shah Alam Khan
      Derby Royal Infirmary
      Derby UK

      [ Ответить ]
    Re: Перелом шейки бедра
    Alexander Chelnokov 07 Декабрь 2002, 17:54
    Оперировали в четверг. Намаялись по полной программе. Репозиция закрыто не удавалась из-за рубцов. Когда обнажили область перелома, стало видно, что кость сильно склерозирована, почти не кровоточит (Педжета не Педжета, но что-то родственное - что?).
    Сопоставили отломки, ввели спицы и спонгиозный винт в верхний полюс. При введении посадочного долота для клинковой пластинки (после предварительного сверления) бедро все равно раскололось на уровне клинка. Фиксатора, подходящего для этой ситуации, у нас не оказалось, поэтому взяли диафизарную компрессирующую пластину, смоделировали ее, рассверлили верхние отверстия и ввели еще два спонгиозных винта 6,5 ммм в шейку сквозь нее. Скомпрессировалось хорошо, головка тоже очень плотная. Понятно, особого удовлетворения сделанным нет.
    Был бы признателен за комментарии. Все-таки, что за состояние у пациентки? Какая дополнительная информация помогла бы разобраться?
    Если выявится несостоятельность фиксации до сращения шейки (что интуитивно кажется очень вероятным), что делать дальше?
    Спасибо за обсуждение.



    Кликните для загрузки файла get_image.jpg
    21KB (21522 bytes)

    [ Ответить ]

    • Re: Перелом шейки бедра
      Отправитель: Evgueny Tchekashkine 08 Декабрь 2002, 15:57
      Спасибо за описание интраоперационной картины.
      При обнаружении необычной структуры кости в постановке диагноза может помочь гистологическое исследование материала.
      История развития проблемы, представленная больной, никак не связана с травмой. Спонтанные переломы подозрительны в плане онкологического характера - метастазирование, которые, как известно, могут приводить либо к лизису (литические метастазы), либо к склерозированию (остеобластические).
      Я бы пообследовал больную в этом плане.(щитовидная железа, молочные железы, почки, легкие) Изотопное исследование может дать идею о монофокальном или полифокальном поражении скелета. Хотя сканирование в послеоперационном периоде всегда дает повышенное накопление изотопа в зоне операции, поэтому скорее ложноинформативно. Я бы посмотрел уровень щелочной фосфатазы, Са, Р в сыворотке и в моче.
      Согласен с вами, что при такой костной перестройке надеяться на сращение, наверное, маловероятно. Вариантов возможного решения проблемы немного : протезирование или гёрдл-стон, артродез вряд ли будет успешным.
      Но, как говорится, не стоит бежать вперед паровоза, пока больная обследуется, а через 6-8 недель повторные снимки оценить и принять
      решение (если раньше не выявится никакой другой патологии).

      Удачи,
      Евгений Чекашкин



      [ Ответить ]
    • Re: Перелом шейки бедра
      Отправитель: Bill Burman 08 Декабрь 2002, 16:10
      >The bone really was very sclerotic. What is a possible cause of this?

      There is a discussion of osteopetrosis (possibly a tarda variant in this case) at the emedicine.com web site which includes a good differential diagnosis of osteosclerotic lesions. i.e.

      Hypoparathyroidism
      Myeloproliferative Disease
      Paget Disease
      Pseudohypoparathyroidism
      Toxicity, Lead
      Osteoblastic metastases
      Pyknodysostosis
      Fluoride poisoning
      Beryllium poisoning
      Leukemia
      Sickle cell diseases

      See: http://www.emedicine.com/MED/topic1692.htm#section~differentials

      Bill Burman, MD
      HWB Foundation
      http://www.hwbf.org

      [ Ответить ]
    • Re: Перелом шейки бедра
      Отправитель: Jaysheel Mehta 08 Декабрь 2002, 16:12
      If you have ruled out metastatic and pagets disease then it may be Flurosis which can give rise to hard sclerotic bone. It is common in some parts of India where the fluoride content of drinking water is high. I do not know about it's prevelance in your part of the world.
      Dr. Jaysheel Mehta

      [ Ответить ]
    • Re: Перелом шейки бедра
      Отправитель: Thomas A. DeCoster 11 Декабрь 2002, 10:16
      I totally agree with Bill Burman's suggestion that the etiology of this pathologic process should be pursued aggressively. The list of possible diagnoses he provided and the URL link are a good start on a diagnostic workup. With a pathological fracture primary emphasis should be on the pathological condition and secondary empahsis on the fracture and fixation type. Your fixation will probably hold up long enough to make a pathological diagnosis. Treatment of the pathological condition is then based on the
      diagnosis and ultimately, probably more important than the fracture treatment itself. Fracture treatment may also be more a function of the pathological entity than the fracture pattern.
      Osteopetrosis tarda seems to me to be one reasonable possible diagnosis to pursue.

      TD

      [ Ответить ]

     

    ( Ответить )

    Powered by Zope  Squishdot Powered MedLink
    Посетитель: 0006252
      "По форме правильно, а по существу - издевательство" В.И.Ленин
    ©2001-2019Orthoforum Coordinator.
    [ Главная | Отправить сообщение | Поиск | Админ ]