AOTRAUMA.ORG Центр Илизарова  

Ортопедия и травматология Общие вопросы/General questions Help Информационные технологии в медицине
 вверх
 отправить
 поиск
 админ
 главная


Перелом пятки
Ортопедия и травматология Отправлено Alexander Chelnokov 05 Ноябрь 2002, 19:01
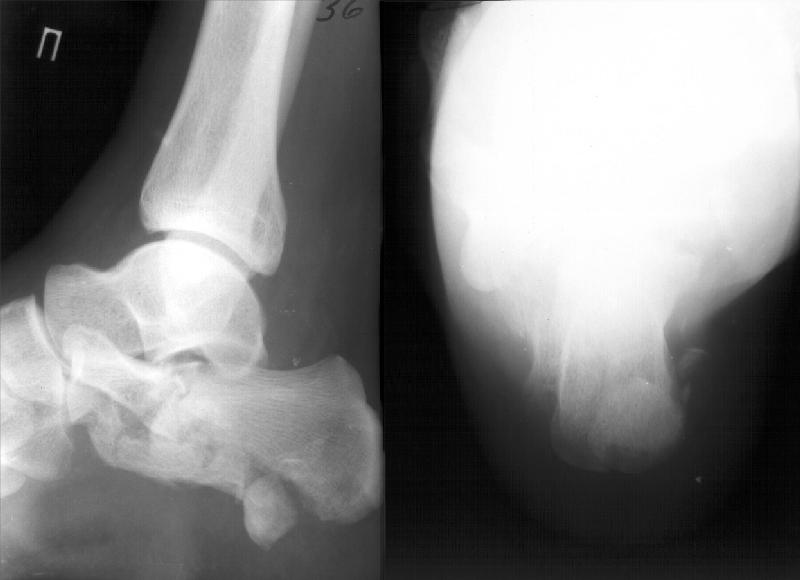
Пациент 36 лет поступил к нам с травмой стоп после падени яс высоты 6 м. С одной стороны подвывих в суставе Лисфранка, с другой переломпяточной кости (см. приложение).
У нас при обсуждении мнения разошлись. Каков тут оптимальный план лечения? Если оперировать,удастся ли закрыто достичь восстановления конгруэнтности таранно-пяточного сустава? Удастся ли зафиксировать результат открытого вправления стандартной пяточной фигурной пластиной, или лучше фиксировать отдельными треть-трубчатыми пластинами?Заранее спасибо.

<  |  >

 

  • Сообщения о Ортопедия и травматология
  • Также Alexander Chelnokov
  • Связаться с автором
  • Файл-вложение
  • Кликните для загрузки файла get_image.jpg
    28KB (29154 bytes)

  • Ответить

    Re: Перелом пятки
    Evgueny Tchekashkine 07 Ноябрь 2002, 00:03
    Стандартные проекции не дают полной информации о тяжести повреждения таранно-пяточного сустава.
    Решая вопрос о возможности реконструкции необходимо выполнение компьютерной томографии, которая даст ясную картину тяжести повреждения сустава (два фрагмента или несколько) и соответственно спланировать реконструкцию.
    Закрытая репозиция маловероятно восстановит конгруэтность суставной поверхности , лигаментотаксис эффективен при 1 и 2 типах переломов пяточной кости( Essex Lopresti классиф)
    3 тип требует открытой репозиции. На томограммах при таком типе перелома суставная поверхность расколота на два или 3 фрагмента с импакцией
    латерального или промежуточного(при многооскольчатом характере перелома) фрагментов (split-depression). Оптимальное время для вмешательства первые 24 часа после травмы(пока отек не успел нарасти) или после недели, двух, когда отек уже спал критерий -wrinkle test - появление *морщин* в области пятки.
    Я пытался стабилизировать фрагменты полутрубчатыми пластинами ( при отсутствии реконструктивной пластины АО) стабильность фиксации оставляла желать лучшего - жесткой фиксации не получалось. Поэтому сейчас пользуюсь
    только реконструктивными пластинами АО.
    Пользуюсь наружным доступом, важно не расслаивать кожный лоскут , а отсепаровывать его полным слоем от надкостницы, но даже соблюдая этот принцип, было три случая краевого кожного некроза, к счастью обошлось без инфекции.
    Как раз два дня назад прооперировали перелом пяточной кости, стандартные ренгенограммы не выглядели столь драматично как в вашем случае, но
    томограммы рассеяли все сомнения в отношении необходимости открытой репозиции. Попытаюсь еще раз отправить снимки ( первый раз сервер все вернул назад - размер послания оказался больше пропускного)

    Удачи ,
    Евгений Чекашкин
    [ Ответить ]

    Re: Перелом пятки
    Коробушкин Глеб 07 Ноябрь 2002, 00:05
    Каков тут оптимальный план лечения?
    Если оперировать, удастся ли закрыто достичь восстановления конгруэнтности таранно-пяточного сустава?
    Данный перелом можно классифицировать как "языкообразный" (по Essex-Lopresti), но имеется еще раздробление переднего отдела пяточной кости.
    Как метод выбора, по мнению нашей клиники, является закрытая аксиальная репозиция аксиальная фиксация "языкообразного" фрагмента винтом Шанца под контролем ЭОПа. Технически это возможно в сроки до 10 дней, важно правильно
    выбрать изначальную точку введения винта, стремясь винт ввести максимально перпендикулярно по отношению к верхнему краю языкообразного фрагмента, выполнить тракцию по длине и низведение.
    Удастся ли зафиксировать результат
    >открытого вправления стандартной пяточной фигурной пластиной,

    да, если не удастся закрыто

    >лучше фиксировать отдельными треть-трубчатыми пластинами?

    не лучше, пяточная пласти работает как арматура, в отличии от 1/3.

    Удачи!

    Коробушкин Глеб.
    РГМУ, Москва,
    [ Ответить ]

    Re: Перелом пятки
    Evgueny Tchekashkine 07 Ноябрь 2002, 10:46
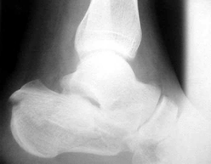
    Попытаюсь отправить снимки перелома пяточной кости в разбивку.

    Евгений
    Кликните для загрузки файла calcaneus1.jpg
    11KB (11734 bytes)

    [ Ответить ]

    Re: Перелом пятки
    Evgueny Tchekashkine 07 Ноябрь 2002, 10:47
    КТ.
    Кликните для загрузки файла calcaneus2.jpg
    33KB (34510 bytes)

    [ Ответить ]

    Re: Перелом пятки
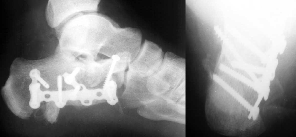
    Alexander Chelnokov 15 Ноябрь 2002, 18:51
    На этой неделе оперировали. КТ наши рентгенологи сделали зачем-то горизонтальной плоскости, поэтому не привожу. Сделали открытую репозицию, заполнили дефект трансплантатом из крыла подвздошной кости.
    После удаления спиц положение фасетки немножко ухудшилось. Такие дела. Жду комментариев.
    Кликните для загрузки файла heel.jpg
    29KB (29958 bytes)

    [ Ответить ]

    Re: Перелом пятки
    И.Воск 16 Ноябрь 2002, 14:01
    Вы сделали отличную рукотворную работу, идеальную в слесарно-столярном смысле. Поверьте, я не говорю это как критику Ваших действий, а как выражение совершенно иного подхода к лечению этого чертовски гнусного перелома. Во-первых, Вы совершенно правы в отношении сегодняшней генеральной линии: оперировать всё что трудно лечить и что попадает в поле зрения. А дальше бог поможет. Я очень много и хорошо оперировал подобные вещи и получал потрясающие рент. снимки. Потом понял,что больные ходят на ногах, а не на снимках. Я абсолютно не уверен,что без наружной фиксации гипсом на 3-4 месяца всё это симпатичное Лего не рассыпется, потому что действуют в субталяре и лисфранке чудовищные трёх-плоскостные нагрузки, а рычаги Ваших фиксаций короткие и держатся в мягкой спонгиозной кости. Я не думаю, что будет возможным реабилитировать ступание на остисто- размозжённое основание пятки. Я абсолютно не уверен, что шейка пяточной, критически важная для
    функции субталяра и вообще стопы, когда-либо срастётся при этом подходе.
    Думаю, больной закончит при большой удаче, т.е. без остеомиелита етс. триплартродезом и тяжелой инвалидностью. Мой подход - консервативный. Он
    требует значительного искуства и внимания, но даёт чёткую надежду (не гарантию!) полной реабилитации ходьбы и 0 инвалидности.

    И.Воск

    [ Ответить ]

    • Re: Перелом пятки
      Отправитель: Alexander Chelnokov 18 Ноябрь 2002, 11:39
      Глубокоуважаемый Йоси,

      Friday, November 15, 2002, 11:16:15 PM, you wrote:

      [...]
      Я согласен, что есть более чем веские основания лечить не ретнгенограмму, а пациента, особенно при переломах пятки. За последние годы было неколько публикаций о многоцентровых рандомизированных исследованиях, сравнивающих при внутрисуставных перемах пятки оперативное восстановление и консервативное лечение вообще без репозиции. И не обнаруживающих значимой разницы. Например, см. http://www.hwbf.org/ota/am/ota00/otapa/OTA00962.htm - более 400 случаев.

      > Думаю, больной закончит при большой удаче, т.е. без остеомиелита етс.

      Отсутствие остеомиелита вполне обычно.

      > триплартродезом и тяжелой инвалидностью.

      В упомянутом выше исследовании артродез потребовался при неоперативном лечении 37 из 222 (16%), после открытой репозиции 7 из 209 (3%).

      > Мой подход - консервативный. Он требует значительного искуства и

      Для более консервативного подхода в отношении переломов пятки много оснований.

      [ Ответить ]
      • Re: Перелом пятки
        Отправитель: Йоси Воск 18 Ноябрь 2002, 11:43
        Дорогой Алекс, Ваш ответ полный и чёткий.
        Приведётся встретиться - потолкуем как это совместить в одно лечении преимущества оперативного и консервативного.

        [ Ответить ]
      • Re: Перелом пятки
        Отправитель: Evgueny Tchekashkine 18 Ноябрь 2002, 11:47
        Судя по вашим рентгенограммам, восстановить суставную поверхность таранно-пяточного и пяточно-кубовидного сустава полностью не удалось, хотя угол Белера выглядит гораздо лучше, чем на предоперационной рентгенограмме,
        что решает проблему посттравматического плоскостопия, восстановлена длина пяточной кости. Жаль, что возникла проблема с качеством томогафии. Интересно было бы знать, на сколько фрагментов была *расколота* суставная фасетка
        подтаранного сустава( в мной оперированных случаях наиболее часто встречалось 2, реже 3 фрагмента) Несмотря на вколоченный характер перелома, после выполнения репозиции костной пластикой я не пользуюсь и ни в одном из случаев не наблюдал коллапса пяточной кости, по-видимому можно объяснить хорошими местными регенеративными возможностями.
        Я абсолютно убежден , что переломы 3 типа надо репонировать открыто в первые 3 недели (после спадения отёка), лучше в первые сутки после травмы. Согласен, что длину и угол Белера можно восстановить в аппарате, но лигаментотаксис не работает при депрессии суставной поверхности, восстановить конгруэнтность возможно только открыто (принцип лечения оскольчатых внутрисуставных переломов). По себе знаю, что чем больше оперируешь такие переломы, тем лучше результат (появляются навыки репозиции, ориентация в операционной ране, какой фрагмент и куда должен быть фиксирован) Аккуратность реплозиции интраоперационно контролируется ЭОПом. Абсолютно согласен с коллегами, лечим
        не ренгенограммы, а больных, поэтому ссылась на приведенные данные 16% и 3 % развития артроза ответ очевиден. Из своей практики могу сделать только один вывод - 16 оперированных больных функция стопы восстановилась, трое пациентов отказывались от хирургии в момент травмы двое из них закончили подтаранным артродезом, один жалуется на боли в стопе , не может давать полную нагрузку, ходит с костылем, но от артродеза отказывается. Был бы признателен Йосе Воск, если бы он поделился искусством лечения перелома 3 типа в гипсовой повязке с 0 инвалидностью, в моей голове это не укладывается, но раз такое возможно, то хотелось бы знать. Я знаю о безгипсовой технике лечения таких переломов, хотя лечением это назвать, на мой взгляд, было бы не совсем
        правильно -скорее supervised negligence, как это описывают в английской литературе.
        Методика проста. Возвышенное положение стопы на период спадения отека, а затем ходьба с костылями без нагрузки на стопу 10 недель паралельно с физиотерапией. Перелом срастается, а дальше уже будет видно при развитии артроза - артродез , но это ведь тоже хирургия , так почему не оперировать сразу, когда статистически достоверно подтвержден лучший функциональный
        результат после окрытой репозиции.

        С уважением ,
        Евгений Чекашкин



        [ Ответить ]
        • Re: Перелом пятки
          Отправитель: Й. Воск 21 Ноябрь 2002, 20:54
          Я отлично понимаю, что заявления типа нулевой инвалидности после много-оскольчатого перелома пяточной к. (Тип-3) не располагают к серьёзному
          отношению к сказанному. Я должен сказать что не всегда удаётся избежать инвалидности при таких переломах. К сожалению, и ограниченные (менее
          осложнённые) переломы пяточной подчас серьёзно и устойчиво нарушают ходьбу.
          Основой моего лечения является отказ от точного восстановления предпереломной анатомии, сосредоточенное усилие на быстрый сросток
          механически ключевых точек перелома (головка и шейка пяточной), недопущение колляпса свода стопы. Цель в стратегическом плане - начать ходьбу с полной нагрузкой на стопу через 4-5 недель после перелома. Я и не лечу перелом
          пяточной, как перелом местный. Своей задачей я вижу вернуть пациенту мягкую и пружинистую стопу, основу основ нормальной биомеханики колена, т-бедр. сустава и позвоночника. Для меня борьба за пяточную это борьба за будущую
          нормальную функцию ВСЕЙ локомоторной системы. Наполнив пяточную шурупами и платами мы говорив "прощай" стопе - амортизатору ходьбы. Если в Вашем авто полетит рессора Вы не согласитесь чтобы её заменили ломом. Мой подход в травматологии и ортопедии основан на убеждении, что основной функцией локомоторной системы является адаптация чел. тела к наружному механическому миру.Основа этой адаптации- амортизация импактов ходьбы.Без 3 закона Ньютона
          нет силовых нагрузок в теле человека. Как лечить травму в рамках этих идей это уже вопрос техники, кстати очень дружелюбной. Наговорил Вам много неожиданных вещей и Ваше право возмутиться, бурно опровергнуть и т.д. Я
          приглашаю Вас просто подумать над высказанным. Если пожелаете. я с удовольствием расскажу как всё-таки возможно вернуть сустав к нормальной
          функции, даже когда вернуть его к нормальной анатомии выше наших сил.

          Й. Воск

          [ Ответить ]
          • Re: Перелом пятки
            Отправитель: Шишмарин Алексей 22 Июнь 2006, 23:47
            Здравсвуйте.
            Расскажите пожалуйста.


            [ Ответить ]
          • Re: Перелом пятки
            Отправитель: Ала Арнольдовна 14 Июль 2006, 20:29
            Уважаемый коллега!
            Я-врач невропатолог, наш коллега упал с высоты и у него многооскольчатый внутрисуставной перелом пяточной кости. К сожалению снимки прислоть не могу - диск читается только на специальной прграмме КТ. Есть 2 мнения - репозиция в отсроченный период и наложение аппарата Илизарова. И вот - третье - Ваше мнение, которое звучит очень "физиологично", тем более коллега на форуме написал, что рандомизированные исследования не доказали преимуществ оперативного лечения. Расскажите, пожалуйста, насколько возможно консервативное ведение такого больного.Возможно есть какие-то рекомендации обществ травматологов других стран, о которых Вам известно. Спасибо за помощь заранее.
            С уважением
            Алла Арнольдовна

            [ Ответить ]
    Re: Перелом пятки
    Александр Артемьев 16 Ноябрь 2002, 14:05
    Из существующих ныне способов оперативного лечения переломов пяточной кости обычно противопоставляются внешний остеосинтез и
    внутренний. Не встречал работ, индивидуально обосновывающих оба эти метода в зависимости от каких-то критериев.

    В данном случае восстановлена лишь ось пятки - угол Белера в боковой проекции и смещение кнаружи и по длине в прямой. Гораздо проще и с несравнимо меньшим риском этого можно остигнуть, применив внешний остеосинтез.
    Суставная поверхность не восстановлена, внизу (по подошвенной поверхности) - большой фрагмент. Зачем тогда шли открыто? Как мягкие ткани? Довольно самокритично звучит - но больному выполнили дорогостоящее исследование (КТ), а не сказали рентгенологам, в какой проекции делать. Жалко.

    С уважением Александр Артемьев.
    [ Ответить ]

    • Re: Перелом пятки
      Отправитель: Alexander Chelnokov 18 Ноябрь 2002, 11:40
      a> пяточной кости обычно противопоставляются внешний остеосинтез и
      a> внутренний.

      В англоязычной литературе - больше консервативное vs оперативное.

      a> Не встречал работ, индивидуально обосновывающих оба эти метода в
      a> зависимости от каких-то критериев.

      Есть еще и сочетание аппаратной фиксации с минимально инвазивной "полузакрытой" репозицией и костной пластикой...

      a> В данном случае восстановлена лишь ось пятки - угол Белера в
      a> боковой проекции и смещение кнаружи и по длине в прямой. Гораздо

      Там еще и весьма солидный дефект, образовавшийся после репозиции, заполнен трансплантатом.

      a> Суставная поверхность не восстановлена, внизу (по подошвенной
      a> поверхности) - большой фрагмент. Зачем тогда шли открыто?

      Шли на восстановление подтаранного сустава, в основном.

      a> Как мягкие ткани?

      OK.

      a> исследование (КТ), а не сказали рентгенологам, в какой проекции
      a> делать. Жалко.

      Был бы аппарат КТ в нашем корпусе... Как оказалось, лень рентгеновскому доктору было ногу пациенту в колене согнуть.

      [ Ответить ]

     

    ( Ответить )

    Powered by Zope  Squishdot Powered MedLink
    Посетитель: 0028689
      "По форме правильно, а по существу - издевательство" В.И.Ленин
    ©2001-2019Orthoforum Coordinator.
    [ Главная | Отправить сообщение | Поиск | Админ ]