вверх
отправить
поиск
админ
главная
|
Несросшийся перелом большеберцовой кости |
 |
 |
 |
Отправлено Alexander Chelnokov 19 Октябрь 2002, 12:41
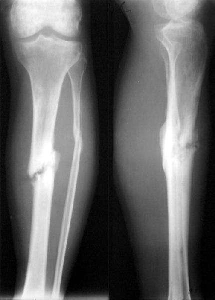
Пациент 26 лет 7.02.2002 был сбит легковой машиной в небольшом городке. По поводу перелома костей голени 15.02.02 в местной больнице был наложен аппарат, который был снят 25.05.02. Перелом закрытый, воспаления таней у спиц, со слов больного, не было. После снятия была патологическая полдвижность, наложена гипсовая шина, которую пациент через месяц снял сам. Ходил с частичной нагрузкой. Сейчас ходит с тростью, отмечает болезненность в проекции перелома. Явной патологической подвижности при осмотре не выявили, хотя, конечно, нагрузки прикладывали не самые максимальные. Снимки свежие (фас+профиль и косые).Какой здесь на сегодня уместен диагноз? Псевдартроз? Несросшийся перелом? Замедленная консолидация? Сросшийся на органиченном участке?Как-то иначе? В плане у нас - закрыто заштифтовать большеберцовую кость "как есть" с динамическим блокированием. Или потребуется закрытая остеоклазия? Надо ли делать остеотомию малоберцовой? Нужны ли, на Ваш взгляд, еще какие-то дополнительные меры, костная пластика, например?Заранее спасибо.
<
|
>
|
|
Ответить
|
Re: Несросшийся перелом большеберцовой кости
Dr. Suresh Negandhi 19 Октябрь 2002, 12:49
|
It is a hypertropic non union. IT NEEDS REAMINGG OF THE TIBIA WITH LARGEST REAMEAR AND PUT A LARGEST NAIL NO.11 OR 12 IF AVAILABLE. OSTOTOMY
WITH SOME SHORTENIG OF FIBULA. DYNAMIC LOCKING
THANKS DR. NEGANDHI
|
[
Ответить ]
|
Re: Несросшийся перелом большеберцовой кости
Леонид Н.Соломин 21 Октябрь 2002, 08:39
|
>. Какой здесь на сегодня уместен диагноз? >Псевдартроз? Несросшийся перелом? Замедленная >консолидация? Сросшийся на органиченном участке?
>Как-то иначе?
Из вариантов "подчеркну" Псевдоартроз. Тугой (по Г.Я.Эпштейну). Возможно, А.В.Русаков сказал бы, что имеет место "Синдесмоз", а Н.С.Косинская
поставила диагноз "Фиброзный ложный сустав" или "Фиброзное сращение".
>. В плане у нас - закрыто заштифтовать >большеберцовую кость "как есть" с
>динамическим блокированием.
С планом согласен, особенно с положением о блокировании динамическом. А если так - то остеотомия малоберцовой, на мой взгляд, необходима. При неатрофическом псевдоартрозе показания к костной пластике, очевидно,
излишни.
Удачи,
Леонид Н.Соломин
РосНИИТО, СПб
|
[
Ответить ]
|
Re: Несросшийся перелом большеберцовой кости
Йоси Воск 21 Октябрь 2002, 08:41
|
Думаю, это неср. перелом в стадии формирования псевдоартроза. На мой взгляд, нет надехды на спонтанное сростание и необходима хирургия.
Мой личный опыт: использовать относительную устойчивость в месте перелома и не открывать-не зачищать место перелома б-берцовой. Не трогать малоберцовую.
Открыть в удобном месте треть диаметра б-бер. Открыть + - 10-12 см. slide graft , чуть конусный в проксимальном или в дистальном направлении. Удалить его фиброзную часть, здоровую сдвинуть, вклинить с умеренным
давлением в образованное ложе перекрывая место перелома. Незаполненные пространства ложа надо наполнить измельчённой донорской костью. Сверху графт необходимо закрепить лёгкой нединамичной стальной пластинкой.
Ногу после операции рекомендую заключить в полный прямой гипс - от паха и включая стопу.В подошву стопы следует заключить гипсом кусок поролона чуть больший размера стопы и 2-3 см толщиной. Моя главная идея лечения заключается в немедленном расхаживании больного (2-3 дня после операции) когда торзионно- сгибательные нагрузки предотвращены фиброзным футляром в месте перелома и метал. пластиной, а вдоль-осевые импакты хождения самортизированы виско-эластичной поролоновой прокладкой. Гарантирую
консолидацию б-берц. кости в 7-9 недель, без болей и без инфекции. После снятия гипса движения в колене, голеностопном суст. и в стопе окажутся полными, т.к. непрекращение ходьбы и особенно с амортизацией стопного импакта стимулирует нормальную физиологию конечности.
Йоси Воск, хирург-ортопед
|
[
Ответить ]
|
Re: Несросшийся перелом большеберцовой кости
Dr. Ajit Phadke 21 Октябрь 2002, 08:42
|
This is a hypertrophic nonunion, fibulectomy + closed IM nailing should be enough.
Dr. Ajit Phadke
Consultant
Phadke Hospital
Tilakwadi, Yavatmal
India 445001
|
[
Ответить ]
|
Re: Несросшийся перелом большеберцовой кости
DR CHERIAN KOVOOR 21 Октябрь 2002, 08:44
|
It is a hypertrhic Nu - that means lack of stability. If there is no infection a reamed interlocking nailing is the procedure of choice. Fibualr ostetomy is a must- no qusteons- otherwise the tibial bone ends will not impact.
You may have some trouble reaming through the NU site - you shoud be able to manage with an end cutting reamer
DR CHERIAN KOVOOR
KOCHI
INDIA
|
[
Ответить ]
|
Re: Несросшийся перелом большеберцовой кости
Terry Finlayson 21 Октябрь 2002, 10:03
|
I think the greatest concern in this case is the possibility of infection being the cause of the nonunion. If this is ruled out by clinical exam
along with normal labs (i.e., differential WBC, ESR, C-reactive protein) I would treat him with a reamed IM nail (dynamic) and fibular osteotomy.
The fibular osteotomy probably isn't an absolute necessity, but why not do all you can to facilitate healing. Bottom line -- stabilizing this fracture should allow it to heal (as long as it's not infected).
Terry I. Finlayson, M.D.
Alpine Orthopaedic Specialists
Logan, UT USA
|
[
Ответить ]
|
Re: Несросшийся перелом большеберцовой кости
Anton V. Vladzimirskiy 21 Октябрь 2002, 18:12
|
Диагноз - псевдоартроз. Только что был аналогичный случай (недавно закончили лечение). Пациентка перенесла 3 открытых адаптации и соотв. 3 ЧКО. Общий срок лечения составил около 2 лет. Только сейчас добились сращения. В
Португалии видел аналогичный случай, очень удачно пролеченный с помощью inflattable nail (кажется правильно написал :) ). Оперировали закрыто без адаптаци и пластики. Кстати псевдоатроз был тоже после ЧКО. Так что
оптимально стержень с блокированием без открытия перелома (это также мнение нашего отделения).
С уважением,
А.В.Владзимирский
|
[
Ответить ]
|
Re: Несросшийся перелом большеберцовой кости
Gregor Schoenecker 21 Октябрь 2002, 18:14
|
in Germany we call this "pseudarthrosis" , the difinition is that the fracture healing is delayed six months or more.
I think in this type of fracture closed nailing is the best, but i remember some german literature which proposed the fibular osteotomy alone follewed by plaster cast with full weight bearing in these pseudarthrosis.
If I personally had sustained this fracture i would perform the dynamic closed nailing together with fibular osteotomy and exzision of 0.5 cm fibular bone in order to achieve no fibular healing before tibial healing.
Best regards
Dr.med.Gregor Schцnecker
Kinderorthopдdie/Kindertraumatologie
Orthopдdische Universitдtsklinik Regensburg
Deutschland
|
[
Ответить ]
|
Re: Несросшийся перелом большеберцовой кости
Thomas A. DeCoster 22 Октябрь 2002, 09:41
|
Regarding case of 26 yo patient with tibia shaft fracture that has gross motion 8 months after XF and casting.
Diagnosis? IMHO this is a delayed union with impending nonunion.
The time difference between delayed union and nonunion varies; sometimes referred to as 1 year, 9 months or 6 months; sometimes twice the normal healing time ( 2 x 16 weeks for tibia shaft); sometimes other considerations.
IM nail is a good treatment choice for this patient at this time; although concern about infection exists. (multiple prior discussions here).
The fibula appears healed and should be osteotomized (perhaps remove a short segment) in the shaft.
The reamings will suffice for bone graft. Iliac graft or commercial substitute unnecessary.
Closed nailing is probably achievable and slightly preferable. This can be made easier by use of a "pseudarthrosis chisel" or other stout device to open the "sealing callus" over the ends of the bone and facilitate passage of a
guide wire. Obtain and maintain reduction as much as possible to avoid problems with malunion.
Only if you have to open the fracture would I remove the fibrous tissue from the fracture site. If so then pack reamings in the gap.
Lock proximally and leave some room in the medulllary canal distally to axial load to compress a bit.
TD
|
[
Ответить ]
|
Re: Несросшийся перелом большеберцовой кости
Peter Hamilton 22 Октябрь 2002, 09:42
|
This delayed union needs stability and fibular osteotomy.
My preference would be fibular osteotomy, decortication and grafting of the delayed union and application of a stable Ilizarov construct. Any fine tuning alignment correction can also be achieved.
PH
Mr. Peter Hamilton MBBS(Hons.),FRACS(Orth).
Trauma & Orthopaedic Surgeon
Addenbrookes Hospital
Cambridge CB2 2QQ
United Kingdom
|
[
Ответить ]
|
Re: Несросшийся перелом большеберцовой кости
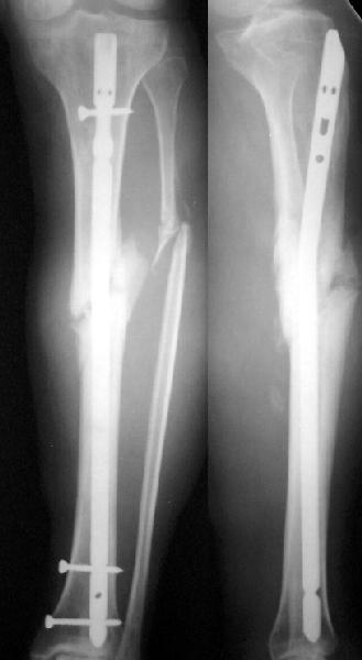
Отправитель: Alexander Chelnokov 24 Октябрь 2002, 17:41
|
Ilizarov technique for this kind of situation doesn't require the site exposure at all, slight distraction would suffice for healing. And a
year ago the patient would have been treated this way. But since closed nailing has been available for our unit, the choice is more
diffcult:-)
No hollow reamers and nails are still availble yet, so UTN 10 mm was used. After perQ osteotomy of the fibula i tried to open the canal, and the awl was passed to the distal fragment only after closed mobilization of the site to make some antecurvation. It resulted with some anterior translation of the distal fragment :( After impaction the nail was locked dynamically. Images attached. Comments/critics are
welcome.
get_image.jpg
16KB (17241 bytes)
|
[
Ответить ]
|
Re: Несросшийся перелом большеберцовой кости
Отправитель: Minoo Patel 24 Октябрь 2002, 17:46
|
I agree. The non-union looks like a 'stiff hypertrophix non-union'. So, leave the nail in-situ. Remove the distal inter-locking screws. Apply an Ilizarov frame and initially distract and later compress. Luckily, the fibula has not united.
Please refer to: www.aaos.org/wordhtml/anmt2002/poster/p441.htm.
Minoo Patel MD, MS, FRACS
Monash University &
Melbourne Centre for Limb Reconstruction
Melbourne Australia
|
[
Ответить ]
|
Re: Несросшийся перелом большеберцовой кости
Отправитель: James Carr 24 Октябрь 2002, 17:50
|
There is no doubt that the Ilizarov is a versatile tool for this problem. Much less invasive than other methods. However, it is surgeon and patient labor intensive, and requires long rx- 7.5 months in the poster (on a tough group of patients).
In the states, it is an expensive implant. The UTN will likely work if the stability is good enough, but track record of reamed nail is better if infection is avoided. I would have performed a compression plating- simple, quick, cost effective, no immobilization, and early functional aftercare. No bonegraft. Results in published reports are good, and mirrors my experience. Patient acceptance excellent- much preferred to ex fix. Aftercare simple. So if its my leg, I'll take the more invasive initially for the later benefits. Jim Carr
|
[
Ответить ]
|
Re: Несросшийся перелом большеберцовой кости
Отправитель: Alexander Chelnokov 24 Октябрь 2002, 17:52
|
DMP> I agree. The non-union looks like a 'stiff hypertrophix non-union'. So,
DMP> leave the nail in-situ. Remove the distal inter-locking screws.
I've just placed the nail and screws into the tibia...
DMP> Apply an Ilizarov frame and initially distract and later
DMP> compress. Luckily, the fibula has not united.
:-) It was osteotomized this week.
DMP> Please refer to: www.aaos.org/wordhtml/anmt2002/poster/p441.htm
THX for the abstract. It is very exciting that the technique is being distributed over the world. Distraction of hypertophic pseudarthroses with the Ilizarov apparatus had been studied in xUSSR in 1960-70s. About 30 years the approach is used here as "gold standard". But since closed interlocked nailing recently reached my environment it is so interesting to use the new toy :-)
|
[
Ответить ]
|
Re: Несросшийся перелом большеберцовой кости
Отправитель: Bill Burman 25 Октябрь 2002, 20:08
|
Re case: http://www.hwbf.org/hwb/conf/alex39/tibnu.htm
Dr. Patel
>initially distract and later compress
Thank you for the interesting ex-fix distraction osteogenesis nonunion rx reference and images. There was a time when distraction secondary to ex-fix caused it to have a reputation as a "nonunion machine" and distracting a fracture over a nail was not well regarded. Maybe 2 wrongs make a right.
Why add compression? According to Hart et al JBJS 67A:598,
http://www.hwbf.org/hwb/conf/alex39/exfixcom.htm
ex-fix compression has no osteogenic benefit.
Bill Burman, MD
HWB Foundation
http://www.hwbf.org
P.S. Please provide some annotation for the images 1-4:
(http://www.hwbf.org/hwb/conf/alex39/tibnu.htm#patel). I am not sure if they are in the right order or right-side-up.
|
[
Ответить ]
|
Re: Несросшийся перелом большеберцовой кости
Отправитель: Thomas A. DeCoster 25 Октябрь 2002, 20:14
|
I believe this nailed nonunion of the tibia shaft will likely go on to uneventful healing. Good job.
I'm not clear if you opened the fracture site and used an awl or if you used an awl through the nail entry site. The latter is preferred although often difficult and sometimes impossible.
Tom DeCoster
|
[
Ответить ]
|
Re: Несросшийся перелом большеберцовой кости
Отправитель: Alexander Chelnokov 29 Октябрь 2002, 16:40
|
TAD> I believe this nailed nonunion of the tibia shaft will likely go on to uneventful
TAD> healing. Good job.
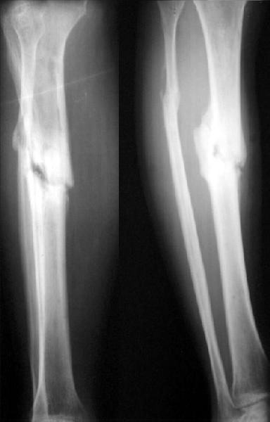
Today the case was criticized at the week clinical report for the antecurvation deformity... Unhappily our vice-director tries to prove that such a malalignment is of great clinical importance.
TAD> I'm not clear if you opened the fracture site and used an awl or
TAD> if you used an awl through the nail entry site. The latter is
Yes, nailing was closed, the canal was opened through the nail entry site.
|
[
Ответить ]
|
Re: Несросшийся перелом большеберцовой кости
Отправитель: Thomas A. DeCoster 29 Октябрь 2002, 16:43
|
I would expect the deformity of the case of nailed tibia shaft nonunion (slight apex posterior and slight posterior translation) to be of no definite and small theoretical clinical importance.
TD
|
[
Ответить ]
|
|
Re: Несросшийся перелом большеберцовой кости
Ильин Вадим 23 Октябрь 2002, 18:24
|
1. Наверное все-же псевдартроз, не смотря на рентгенограммы.
2.А какия разница чем вы обеспечите стабилизацию?
На мой взгляд уместен любой метод внутренней и наружной фиксации.
3. При хорошей фиксации необходимость в дополнительных методах стимуляции репарации отпадает. Смысла в остеотомии и костной аутопластике не вижу.
С уважением Ильин В.
Отделение травматологии
Всеволожская ЦРБ
|
[
Ответить ]
|
( Ответить )
|
|