AOTRAUMA.ORG Центр Илизарова  

Ортопедия и травматология Общие вопросы/General questions Help Информационные технологии в медицине
 вверх
 отправить
 поиск
 админ
 главная


Нестабильность ножки и перелом бедра
Ортопедия и травматология Отправлено Alexander Chelnokov 08 Август 2002, 15:43
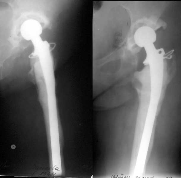
Женщине 1948 г.р. в 1995 г. по поводу левостороннего коксартроза III было выполнено эндопротезирование протезом "Феникс". В 1997 - ревизионное протезирование цементным протезом Beznoska (снимок приложен). В конце июля-начале августа появились боли и подвижность ниже ножки протеза - на снимке нестабильность ножки и перелом диафиза.Если ревизионный протез с удлиненной ножкой, пригодной для остеосинтеза бедра, будет недоступен, какой вариант действий предпочесть? Пока мысли удалить протез, цемент, сделать костную пластику верхнего конца бедра и остеосинтез стержнем, а после сращения перелома бедра - удаление стержня и обычное ревизионное протезирование.


<  |  >

 

  • Сообщения о Ортопедия и травматология
  • Также Alexander Chelnokov
  • Связаться с автором
  • Файл-вложение
  • Кликните для загрузки файла a970323.jpg
    17KB (18236 bytes)

  • Ответить

    Re: Нестабильность ножки и перелом бедра
    Alexander Chelnokov 08 Август 2002, 15:45
    Здесь свежий снимок, уже с переломом.
    Кликните для загрузки файла a020727.jpg
    19KB (19510 bytes)

    [ Ответить ]

    Re: Нестабильность ножки и перелом бедра
    Леонид Н.Соломин 08 Август 2002, 15:56
    В нашем институте в год "проскакивает" 2-4 подобных случая. Если имеются признаки нестабильности бедренного компонента, рассматриваемый Вами вариант может быть приемлем. Если нет (а на Rg определить их затрудняюсь), то возможно выполнить рекомендуемый в данном случае АО, накостный остеосинтез с местной аутопластикой. Если есть возможность васкуляризированной костной
    аутопластики - тем лучше. Винты в проксимальный фрагмент - тангенциально. В Margo Anterior встречал описание фиксации пластинки здесь проволокой (?!).
    Можно использовать кольца из никелида титана. Однако в ряде случаев под кольцом возникала выраженная резорбция (электропара?). Специальные
    приспособы для внешней фиксации сейчас нам только разрешены комитетом по новой технике МЗ к апробации. Пока все "сыро" и раньше, чем через 5-8 мес. ничего конкретного сказать не смогу. Пациент же ждать не станет...

    Удачи
    Леонид Н.Соломин
    РосНИИТО, СПб
    [ Ответить ]

    • Re: Нестабильность ножки и перелом бедра
      Отправитель: Alexander Chelnokov 09 Август 2002, 16:41
      ЛНС> признаки нестабильности бедренного компонента, рассматриваемый Вами вариант
      ЛНС> может быть приемлем. Если нет (а на Rg определить их затрудняюсь),

      Протез явно "просел".

      ЛНС> возможно выполнить рекомендуемый в данном случае АО, накостный остеосинтез с
      ЛНС> местной аутопластикой. Если есть возможность васкуляризированной костной
      ЛНС> аутопластики - тем лучше. Винты в проксимальный фрагмент - тангенциально.

      Это мысль, передам коллегам. Но главная проблема IMHO - то, что от проксимального отдела бедра осталась, по сути, скорлупа, и даже сращение перелома проблемы не решит - нестабильность остается.

      ЛНС> Margo Anterior встречал описание фиксации пластинки здесь проволокой (?!).

      Да, есть такой вариант.

      ЛНС> Можно использовать кольца из никелида титана. Однако в ряде случаев под
      ЛНС> кольцом возникала выраженная резорбция (электропара?).

      Наверно, скорее, удавка.

      ЛНС> Специальные приспособы для внешней фиксации сейчас нам только
      ЛНС> разрешены комитетом по новой технике МЗ к апробации. Пока все
      ЛНС> "сыро" и раньше, чем через 5-8 мес. ничего конкретного сказать не

      Интересно посмотреть, о чем речь, хотя бы для общего развития.

      На предыдущее сообщение отвечу чуть позже.

      [ Ответить ]
    Re: Нестабильность ножки и перелом бедра
    DR T I GEORGE 08 Август 2002, 16:25
    Looking at the images your patient has an eggshell like bone filled with cement and prosthesis in the upper half. A longer stem would eventually land in a distal fracture, I feel.

    After you do removal of components, nailing and bone grafting why don't you keep her on traction and treat like an excision arthroplasty. This could be lesser of the evils.(Already two hip surgeries with one revision and one shaft fracture in seven years at the age of 54 years).

    An interesting problem for Surgeons from less developed countries since we can't go on revising hips forever due to non availability of components and economics.

    DR T I GEORGE,
    Consultant Orthopaedic surgeon,
    Polytrauma, Microvascular and Hand Surgery Unit,
    Metropolitan Hospital,
    Trichur, South India.
    [ Ответить ]

    Re: Нестабильность ножки и перелом бедра
    rajesh 08 Август 2002, 16:32
    This should really be considered an infected hip until proved otherwise. I think the steps would be (1) remove implants and cement, get samples, leave antibiotic cement probably shaped like a hemiarthroplasty to prevent shortening and to allow some movement at the hip.Change antibiotics if needed according to culture report. Exfix the fracture.(2)once any infection
    is controlled, do an impaction grafting to regain proximal bone stock and a longer stemmed prosthesis seems to be a good option.
    Wouldn't really think it was an easy case, though !

    rajesh
    [ Ответить ]

    Re: Нестабильность ножки и перелом бедра
    Wykman Anders 08 Август 2002, 16:33
    I would use a Wagner revision stem type, i.e. a non-cemented stem with diaphyseal/distal fixation, limited weightbearing postoperatively for 3-6 months.
    Good luck!
    Regards Anders Wykman, Helsingborg, Sweden
    [ Ответить ]

    Re: Нестабильность ножки и перелом бедра
    George J Iwanski 09 Август 2002, 15:28
    cement and allo or auto graft the site with plate and cerclage

    seems a lot of trauma to nail then remove then redo the hip
    [ Ответить ]

    Re: Нестабильность ножки и перелом бедра
    Evgueny Tchekashkine 09 Август 2002, 16:42
    Согласен с Вашей тактикой, ревизионный протез типа Вагнера решил бы проблему. При отсутствии такого протеза альтернатив практически не
    остается - импакционная костная пластика проксимального фрагмента и стержневая фиксация, цементный спейсер облегчит последующую имплантацию.
    Есть работы , посвященные ингибированию остеолиза и постменопаузного остеопороза бисфосфанатами (alendronate, zaludronic acid ). Видимо, в этом случае такая терапия не помешала бы.
    [ Ответить ]

    Re: Нестабильность ножки и перелом бедра
    Сергей Зырянов 09 Август 2002, 16:44
    У нас был один случай успешного остеосинтеза пластиной перелома бедра ниже ножки.

    Пластину фиксировали к проксимальному отломку винтами только через кортикальный слой.(По касательной линии к ножке).
    Кликните для загрузки файла image001.gif
    2KB (2398 bytes)

    [ Ответить ]

    • Re: Нестабильность ножки и перелом бедра
      Отправитель: Alexander Deineko 11 Сентябрь 2002, 18:33
      Уважаемые коллеги,
      сегодня вскольз спросил о данной ситуации у нашего заведующего (Патологии тазобедренного сустава) Краснова Андрея Ивановича т.к. он знает эндопротезирование.
      Так вот в основном два варианта - первый как уже указывалось здесь заменить ножку на Ревизионную Wagner бесцементную, она кажется около 310 мм. Если имеет место расшатывание.
      Второй вариант, если нет расшатывания, тоже как написано ниже Сергеем Зыряновым поставить пластину с захватом части кости с ножкой эндопротеза, только, один верхний винт можно провести через ножку насквозь (просверлить ножку), такие специальные винты есть (если надо
      я уточню)кроме этого в проксимальной части отломка пластина должна быть закреплена минимум
      тремя - четырьмя винтами.
      ------------------------------
      Alexander Deineko
      Pediatric Orthopedic Surgeon
      Phone: (812) 465 28 60
      Cellular: +7 921 742 00 27
      Turner's institut
      St.Petersburg, Russia


      [ Ответить ]
    Re: Нестабильность ножки и перелом бедра
    Ajit Phadke 09 Август 2002, 16:48
    How will the nail be fixed in the proximal fragment after removal of implant? there seems to be only a thin shell of cortical bene left!

    Dr. Ajit Phadke
    Consultant
    Phadke Hospital
    Tilakwadi, Yavatmal
    India 445001
    [ Ответить ]

    Re: Нестабильность ножки и перелом бедра
    WPCA Winia 10 Август 2002, 00:41
    Beware of an infection. So much osteolysis in just a few years should make one suspicious of long standing (low grade ?) infection.


    W.P.C.A. Winia
    Orth Surg
    Slotervaartziekenhuis
    Amsterdam, Netherlands
    [ Ответить ]

    Re: Нестабильность ножки и перелом бедра
    Dr. Henk Eijer 15 Август 2002, 14:24
    The hip may be infected, in which case all the previous answers may apply. If during operation there is no infection, I wonder if you could
    remove the stem, insert a new shorter one with cement, apply a wave plate from the proximal cement to the distal femur and graft the part
    in the middle?

    Please supply follow up.
    Dr. Henk Eijer
    University Hospital Amsterdam AMC
    Netherlands
    [ Ответить ]


    ( Ответить )

    Powered by Zope  Squishdot Powered MedLink
    Посетитель: 0007832
      "По форме правильно, а по существу - издевательство" В.И.Ленин
    ©2001-2019Orthoforum Coordinator.
    [ Главная | Отправить сообщение | Поиск | Админ ]