AOTRAUMA.ORG Центр Илизарова  

Ортопедия и травматология Общие вопросы/General questions Help Информационные технологии в медицине
 вверх
 отправить
 поиск
 админ
 главная


Перелом стержня
Ортопедия и травматология Отправлено Alexander Chelnokov 20 Июнь 2002, 20:20
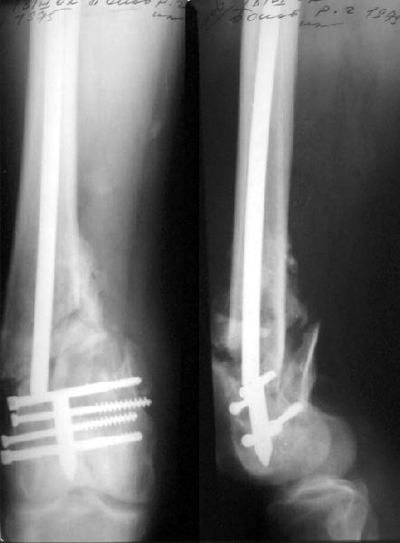
Пациент 27 лет оперирован 2.04.02 через 2 недели после открытого перелома дистального отдела бедренной кости (1 снимок).
Сделан антеградный закрытый интрамедуллярный остеосинтез UFN 11 мм (2 снимок). Вторая нога была ампутирована по месту первичного поступления. Для возможности ранней нагрузки использованы блокирующие винты 6 мм, для чего дистальные отверстия были рассверлены. К двум месяцам начал вставать на костыли, до того занимался разработкой движений в колене. Эти циклические движения в сочетании с тем, что зона концентрации нагрузок приходилась как раз на уровень отверстия, и что перелом открытый и тяжелый и не успел прочно схватиться, привели к перелому стержня 8 июня (3 снимок). Вчера госпитализировали. Такое осложнение у нас впервые. Пока думаем про реостесинтез - вытолкнуть дистальный отломок через дистально, да и через то же отверстие заштифтовать ретроградно. Илиналожить аппарат после удаления центрального отломка стержня, если что-то не будет получаться. Или подумать про пластинку?Заранее спасибо.

<  |  >

 

  • Сообщения о Ортопедия и травматология
  • Также Alexander Chelnokov
  • Связаться с автором
  • Ответить

    Re: Перелом стержня
    Леонид Н.Соломин 22 Июнь 2002, 12:33
    Полагаю, что у 27-летнего пациента Вы не станете оставлять "на всю оставшуюся" дистальный фрагмент стержня. Если так, то придется (как ни обидно - регенерат то уже есть) обнажать зону костной раны. А после извлечения я бы постарался быть готов к двум вариантам. Хотя чего уж - лукавить не буду. 100% поставил бы аппарат (2 опоры). Но если Вы все-таки выбираете для реостеосинтеза имплантат, то пластину не надо. Если после
    перенесенного дистальный фрагмент обидится на клинок и винты, он будет прав.

    Всего доброго
    Леонид Н.Соломин
    РосНИИТО, СПб
    [ Ответить ]

    Re: Перелом стержня
    Александр Артемьев 23 Июнь 2002, 18:59
    Привет, Александр и коллеги.
    Там уже все срослось - на месяц ограничение нагрузок с костылями - а дальше только думай, как удалить стержень (или вообще не удаляй).
    Удачи.
    Александр Артемьев
    [ Ответить ]

    • Re: Перелом стержня
      Отправитель: Alexander Chelnokov 23 Июнь 2002, 19:03
      Если бы - есть заметная подвижность. Даже по снимку видно - отломки сдвинулись прилично, судя по положению частей стержня. Ну и при осмотре - качается...

      [ Ответить ]
    Re: Перелом стержня
    Zsolt Balogh 23 Июнь 2002, 22:27
    " To provide early weight bearing 6 mm locking
    screws were used so sll static holes were drilled accordingly."

    The locking "screws" (bolt is a better term) has
    nothing to do with earlier weight bearing! The
    weightbearing determined by the fracture pattern and the bony interfaces after reduction, not by the number of bolts and the type (static or dynamic) of bolts.

    How many distal holes are on your IMN?

    Thanks,

    Zsolt
    [ Ответить ]

    • Re: Перелом стержня
      Отправитель: Alexander Chelnokov 23 Июнь 2002, 23:07
      ZB> The locking "screws" (bolt is a better term)

      Bolt in Russian is a threaded rod with head and nut.

      ZB> has nothing to do with earlier weight bearing! The
      ZB> weightbearing determined by the fracture pattern and

      See ROBERT J. BRUMBACK, THOMAS R. TOAL, M. SIOBHAN MURPHY-ZANE, VINCENT P. NOVAK, and STEPHEN M. BELKOFF Immediate Weight-Bearing
      After Treatment of a Comminuted Fracture of the Femoral Shaft with a Statically Locked Intramedullary Nail, J Bone Joint Surg Am 1999 81: 1538-44

      ZB> How many distal holes are on your IMN?

      Two.

      [ Ответить ]
      • Re: Перелом стержня
        Отправитель: Zsolt Balogh 23 Июнь 2002, 23:12
        Thanks for bringing up the JBJS paper!

        It is one of the basic references I think everyone of us keep in mind.

        The basic sience part of it shows, that the failure is usually at the distal nail/screw interfaces. Usually the srew breaks of course. It may be not true for cyclic loading, but if you increase the strenght of the screw more likely that the nail will fail...

        The clinical part of the study (28! patients) has less practical relevance. But it is clear from their design, that fractures extending within 12.5 cm of the knee joint were excluded! Your case I think would have been exclude from this study.

        But anyway all these could be empty reasoning,
        looking at your x-rays your reconstruction was superb. An usually we are happy and relaxed if we have such post-op x-ray, they heal in 99% of the cases. Bad luck here...

        I would recommend to carry on with IM method.

        Best Regards,

        Zsolt

        [ Ответить ]
    • Re: Перелом стержня
      Отправитель: Dr.Saleh W Alharby 23 Июнь 2002, 23:15
      In brief because it is his only lower limb I would consider applying ilizarov with or without broken implant removal to avoid possible infection following second attempt.

      Dr Saleh W Alharby
      Associate Professor and Consultant Orthopedic Surgeon

      [ Ответить ]
    • Re: Перелом стержня
      Отправитель: Tom Toal 24 Июнь 2002, 00:14
      There's actually some literature on size, number and configuration of locking bolts with regard to fatigue in immediate weight bearing:

      J Bone Joint Surg Am 1999 81: 1538-44. [Abstract] [Full Text]

      Tom Toal
      Portland, OR

      [ Ответить ]
    Re: Перелом стержня
    Adam Starr 23 Июнь 2002, 23:06
    Hi Alex,

    This is one of those cases where the answer I'd use here in the USA is probably not the answer you'll be able to apply where you are.

    I would do my best to remove the broken nail and screws through the original, antegrade incision. I'd try to spare the knee joint, if at all possible. It is hard to retrieve broken nails, especially when the broken piece is so far distal, but it is not impossible.

    There are several articles in the literature with tips on how it can be done. If you are going to continue using nails (and I think you should, since they work well) you'll have to get used to taking broken ones out every now and then.

    Once I got the old hardware out, I would plate the fracture and bone graft it. A blade plate would be the strongest device to use. But, I think I would choose a LISS plate, or a locking condylar plate. These plates have threaded screw holes that lock into threads on the screw heads. Once the screw is seated, you have, in effect, a mini-blade plate at each screw.

    You can read a bit about it here:http://www.aodialogue.org/Dialogue/1_01/PDF%20Folder/LCP.pdf

    Far as I know, nobody has published anything about the use of the LISS or other locking plates in the treatment of a large
    series of femoral nonunions. But, there are lots of surgeons here and in Europe using the locking plate systems like crazy,
    so I'm sure someone will have a series soon.

    There was a great article recently in JOT (Bellabarba et al., 16:287-296) about the treatment of supracondylar nonunions
    using indirect reduction and plating.

    In that article, the authors reported the use of 95' blade plates, condylar buttress plates and a few locking condylar plates. They stressed the importance of doing as little dissection as possible, to avoid devitalizing the bone. Bone
    grafting was used in atrophic nonunions, if I remember correctly.

    I think the locking plates make sense, because the usual method of failure for the old style plates is for the screws to loosen, toggle, and pull out, or to break at the screw neck. That doesn't seem to be a problem with the locking screw technology.

    The problem with the LISS is that you have to get the reduction BEFORE you place the plate on the bone (at least Synthes says you do). Since this fracture is not that old, you might still be able to reduce it.

    The other downside to the LISS in the treatment of nonunions is that the plate doesn't allow for compression. It may be that if you got good stability without devitalizing the periosteum, the fracture would go ahead and heal, without
    compression at the fracture site. I'm not sure. Probably one of the surgeons doing lots of LISS plates, or locking plates, will tell us in the future.

    I don't know if locking plate technology is available to you. If so, great. If not, then I think the most reliable way to get union would be to use a blade plate and bone graft. Presumably, blade plates are available to you.

    I'm sure there are retrograde nail enthusiasts who'll recommend retrograde nailing. I think a plate will allow you to restore anatomy better, give you better fixation, and allow compression across the fracture better than a nail will.
    Especially a narrow, unreamed nail.

    Good luck with it.

    Adam Starr
    Dallas, Texas
    [ Ответить ]

    Re: Перелом стержня
    James Carr 24 Июнь 2002, 00:11
    I agree with Adam's comments re removal. Zimmer makes a nice broken nail removal set. Also has a nice procedure manual with it. The key is to ream the proximal part bigger. I personally would replace the nail from above with a 2-4 mm bigger diameter and leave it unlocked proximally. Distal retrieval is possible, and in your situation may be more feasible, but I
    would fear a big hole in the cartilage. I still would replace with a nail no matter the approach.

    James B. Carr, MD
    Palmetto Health Orthopedics
    [ Ответить ]

    Re: Перелом стержня
    rajesh 24 Июнь 2002, 00:18
    Looking at the immediate postoperative xray, one would expect the fixation to fail since the fracture is very near the locking screw.(the nearest screw should be atleast 5 cm away from the fracture).It would have been better to do a retrograde nailing in the first instance to avoid this problem but now that it has happened the way to get out would be as you suggested by taking the nail pieces out and doing a retrograde nail with locking.Also the nail
    looks too small for the size of the canal.

    rajesh
    [ Ответить ]

    Re: Перелом стержня
    Simon Owen-Johnstone 24 Июнь 2002, 00:20
    Your original nail provided the right biological environment for union - the fracture was well on the way to union and I guess you were just unlucky to have hardware failure; this suggests that another nail should be good.
    Your retrograde entry point might enable you to pull the distal fragment out. Plating would not be an easy operation... it also seems a pity to open that healing area.

    Simon Owen-Johnstone
    Registrar
    Stanmore
    UK
    [ Ответить ]

    Re: Перелом стержня
    DR T I GEORGE 24 Июнь 2002, 00:22
    You wrote: distal femoral nails are not available in my settings.

    I know of one or two occassional Surgeons who would use a tibial nail as retrogrde femoral nail. (No study available on this from what I know.)I wonder whether this could be an option for you.

    DR T I GEORGE,
    Cosultant Orthopaedic surgeon,
    Polytrauma, Microvascular Surgery and Hand Surgery Unit,
    Metropolitan Hospital,
    Trichur, South India.
    [ Ответить ]

    Re: Перелом стержня
    DR RASOOL 24 Июнь 2002, 00:24
    I think if this is managed in pop for six weeks it will unite without compromising ROM.

    Prof. Dr. Rasul Ahmed Chaudhry Pakistan

    [ Ответить ]

    Re: Перелом стержня
    Reverberi Sandro 24 Июнь 2002, 00:30
    your nailing was very good, but complete weight bearing in only one leg was excessive and nail broken.
    I should remove broken nail at closed ceiling (we have a hooked hardware that can take away the broken distal fragment of the nail) and then apply a new more large nail (13-14 mm). Operation is generally brief.
    Movements are allowed only without direct weight bearing till fracture is healed (he could weight bearing in swimming-pool).
    Best regards,


    Reverberi Sandro
    reverberi.sandro@asmn.re.it
    Azienda Ospedaliera ASMN
    Regio Emilia
    Italy
    [ Ответить ]

    Re: Перелом стержня
    Alexander Chelnokov 30 Июнь 2002, 20:33
    ЛНС> оставшуюся" дистальный фрагмент стержня. Если так, то придется (как ни
    ЛНС> обидно - регенерат то уже есть) обнажать зону костной раны.

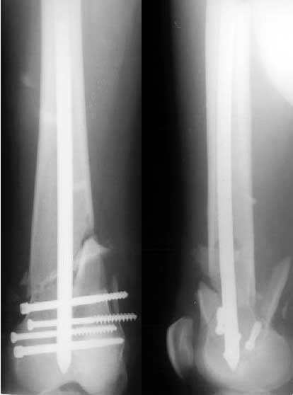
    Такой вариант мы не рассматривали как чрезмерно травматичный. Как и предполагали, удалось сопоставить отломки стержня и после удаления
    винтов вытолкнуть нижний кусок дистально. И через это же отверстие, используя стандартный доступ с расщеплением сухожилия 4-главой мышцы,
    ретроградно забили другой стержень диаметром опять 11 мм - толще у нас пока таких нет. Обнадеживает то, что диаметр утолщенной части стержня 12 мм, а отверстие - 5 мм.

    ЛНС> лукавить не буду. 100% поставил бы аппарат (2 опоры). Но если Вы все-таки
    ЛНС> выбираете для реостеосинтеза имплантат, то пластину не надо.

    Некоторые зарубежные коллеги все-таки склонялись бы к пластине, но нового поколения, типа LISS, с резьбовой фиксацией винтов, вводимой через небольшой разрез. И удаляли бы отломки стержня через верх - им легко говорить, имея специальный инструментарий для этого...
    Кликните для загрузки файла 1get_image.jpg
    20KB (20790 bytes)

    [ Ответить ]

    Re: Перелом стержня
    Anton V. Vladzimirskiy 30 Июнь 2002, 20:36
    У нас при переломах любых внутренних конструкций производят их удаление, а затем накладывают аппарат. За последний год было два перелома пластин - подобная тактика полностью оправдалась (переломы срослись без осложнений).
    [ Ответить ]

    Re: Перелом стержня
    Reverberi Sandro 02 Июль 2002, 13:47
    You have done a very good work with your hardware.
    If we should look for "hairs in an egg", we can see that distal fragment is a little flexed and (perhaps) valgus.
    First deviation could be corrected by removing at first the screw with black arrow.
    Another little imperfection is the small size of the nail and large holes (see the other black arrows) just on the fracture line : these mechanically make the nail less resistant and, if weigh bearing is full, they could be a cause of failure.
    If your patient will be prudent, fracture will heal very well.

    Best regards,
    Dr. Reverberi Sandro
    UnitЮ operativa di Ortopedia e traumatologia
    Azienda Ospedaliera Arcispedale S. Maria Nuova
    Reggio Emilia
    Italia (Italy)
    Кликните для загрузки файла chelnok.jpg
    10KB (10841 bytes)

    [ Ответить ]

    Re: Перелом стержня
    DR T I GEORGE 02 Июль 2002, 14:01
    You said: " but inserted from below. I locked it statically at the moment."

    I have a query. From the picture it looks as if you used the usual proximal end as the distal end of nail.
    This means that you would have got the help of the zig to lock the distal end(near the knee). If this is correct how did you lock the holes near the trochanter?

    DR T I GEORGE,
    Cosultant Orthopaedic surgeon,
    Polytrauma, Microvascular Surgery and Hand Surgery Unit,
    Metropolitan Hospital,
    Trichur, South India.
    [ Ответить ]

    • Re: Перелом стержня
      Отправитель: Alexander Chelnokov 03 Июль 2002, 00:14
      I didn't use the jig in the case. All screws were inserted using a self-made "radiolucent drill bit". I mentioned this before - tip of 2 mm wire is flattened to 3,5 mm and sharpened. It can be positioned over the hole using a plastic handle. The one is made from a toy of my son :-) The technique works fine for me.


      [ Ответить ]

     

    ( Ответить )

    Powered by Zope  Squishdot Powered MedLink
    Посетитель: 0007694
      "По форме правильно, а по существу - издевательство" В.И.Ленин
    ©2001-2019Orthoforum Coordinator.
    [ Главная | Отправить сообщение | Поиск | Админ ]