AOTRAUMA.ORG Центр Илизарова  

Ортопедия и травматология Общие вопросы/General questions Help Информационные технологии в медицине
 вверх
 отправить
 поиск
 админ
 главная


шизофрения+политравма
Ортопедия и травматология Отправлено Anton V. Vladzimirskiy 31 Май 2002, 20:37
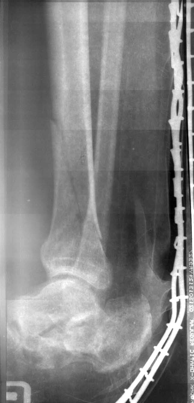
Мужчина, 33 года. Травма при падении с 6 этажа. Диагноз: шизофрения (стадия обострения?), открытый перелом левой голени, закрытый перелом правой голени, открытый перелом правой пяточной кости, ушиб почек, забрюшинная гематома.При поступлении выполнено ПХО, наложены задние гипсовые лонгеты, лапароцентез, противошоковая терапия. Вопрос: дальнейшее лечение (внешняя фиксация противопоказана, стоит ли оперировать или продолжить лечение в гипсовой повязке)? Особенно интересует пяточная кость.


<  |  >

 

  • Сообщения о Ортопедия и травматология
  • Также Anton V. Vladzimirskiy
  • Связаться с автором
  • Файл-вложение
  • Кликните для загрузки файла p1.jpg
    47KB (48473 bytes)

  • Ответить

    Re: шизофрения+политравма
    Alexander Chelnokov 01 Июнь 2002, 11:32
    AVV> оперировать или продолжить лечение в гипсовой повязке)? Особенно интересует
    AVV> пяточная кость.

    Вот уж что-что, а пятку-то можно оставить практически любую как есть.
    [ Ответить ]

    • Re: шизофрения+политравма
      Отправитель: Леонид Н.Соломин 01 Июнь 2002, 11:35
      Если возможно, поясните Ваш тезис "Вот уж что-что, а пятку-то можно оставить практически любую как есть".

      Леонид Н.Соломин
      РосНИИТО

      [ Ответить ]
      • Re: шизофрения+политравма
        Отправитель: Alexander Chelnokov 01 Июнь 2002, 11:39
        ЛНС> Если возможно, поясните Ваш тезис "Вот уж что-что, а пятку-то можно оставить
        ЛНС> практически любую как есть".

        Насколько я знаю, дебаты, оперировать ли внутрисуставные переломы пятки, продолжаются до сих пор. В каком-то из недавних "Марго
        Антериор" была хорошая статья про оперативное лечение переломов пятки, где говорилось, что исходы оперированных и неоперированных примерно
        одинаковы, кроме того, что наличие уж очень грубой деформации и "расширение" пятки создает неудобства с обувью. А болевой синдром, хромота, контрактуры - примерно те же.
        Или вот в сборнике тезисов конференции Orthopаedic Trauma Association 2000г. есть работа R. Buckley и соавт. "Проспективное
        рандомизированное многоцентровое исследование: оперативное и неоперативное лечение внутрисуставных переломов пятки со смещением".
        На впечатляющем материале (469 переломов, 424 пациента в 4 центрах), которых либо оперировали (наружный доступ, остеосинтез, костная пластика), либо нет (даже не делали репозицию(!), только холод, покой и возвышенное положение) получен результат, что разница в исходах между группами составила всего 4 балла по 100-балльным шкалам (VAS и SF-36), и даже не была статистически достоверной. Хотя уровень поздних артродезов был выше в неоперированной группе (37 из 222 против 7 из 209). Авторы полагают, что "не следует оперировать курильщиков старше 40 лет (выше уровень инфекционных осложнений), пациентов, не склонных
        к сотрудничеству(non-compliant), инвалидов, пожилых или сидячих. Операция предполагается для молодых с тяжелыми переломами, активных и работающих". И в заключении говорится, что "большое проспективное рандомизированное исследование показало, что оперативное лечение не
        обеспечивает преимуществ перед неоперативным при лечении внутрисуставных переломов пятки со смещением."
        Так что, наверно, все-таки не пятка в обсуждаемом случае доминирует. Ну а насчет противопоказаний к внешней фиксации или другим оперативным методам - они могут быть достаточно относительными, если психиатр подключится. Мало, что ли, шизофреников доводилось оперировать.

        --
        Best regards,
        Alexander N. Chelnokov

        [ Ответить ]
    • Re: шизофрения+политравма
      Отправитель: Александр Артемьев 01 Июнь 2002, 11:37
      О-о-о???!!!

      В смысле от этого не умирают?
      На такой пятке, как у молодого человека ходить можно, лишь хромая.
      Дважды был свидетелем и участником ампутации голени по поводу закрытых переломов пятки, осложненных тотальным остеомиелитом.

      Александр Артемьев

      [ Ответить ]
      • Re: шизофрения+политравма
        Отправитель: Alexander Chelnokov 02 Июнь 2002, 17:08
        a> В смысле от этого не умирают?

        И даже в турпоходы продолжают ходить.

        a> На такой пятке, как у молодого человека ходить можно, лишь хромая.

        После операции боль и хромота практически стольже ожидаемы.

        a> Дважды был свидетелем и участником ампутации голени по поводу
        a> закрытых переломов пятки, осложненных тотальным остеомиелитом.

        "Ну что я могу сказать - повезло!". А что, операция была бы в этих случаях мерой профилактики остеомиелита?
        Мне, к счастью, ни разу в такой ситуациии остеомиелит не встретился. И хотя довольно много пяток мы оперируем, за последние лет 7 и после
        операций не было, тьфу х 3.

        --
        Best regards,
        Alexander N. Chelnokov

        [ Ответить ]
        • Re: шизофрения+политравма
          Отправитель: Александр Артемьев 02 Июнь 2002, 19:04
          Одно время я как-то увлекся внешним остеосинтезом при переломах пятки.
          Около тридцати-сорока собственных наблюдений.
          Хотел проанализировать результаты, сравнить. Хотя полагаю, что это сделать довольно сложно.
          И даже 450 наблюдений (особенно в 4-х разных учреждениях) не совсем убедительны.

          a>> На такой пятке, как у молодого человека ходить можно, лишь хромая.

          AC> После операции боль и хромота практически стольже ожидаемы.

          Я не вижу большой беды, если из отрицательного угла Белера, вальгуса и укорочения пятки вернуть все эти показатели в норму. Все это делал внешним аппаратом и весьма удачно.
          Поэтому не вижу смысла к явлениям деформирующего артроза оставлять еще и грубейшие нарушения биомеханики с формированием посттравматического
          плоскостопия.

          a>> Дважды был свидетелем и участником ампутации голени по поводу
          a>> закрытых переломов пятки, осложненных тотальным остеомиелитом.

          AC> "Ну что я могу сказать - повезло!".

          Думаю, что действительно повезло, поскольку первый случай произвел на меня сильнейшее впечатление, и заставил вообще задуматься об этой
          проблеме. Прогоноз во втором случае я (к возмущению травматологов 15-й б-цы г.Ленинграда, где проходил ординатуру по хирургии) определил на 3-й день после поступления, когда развились фликтены, захвватывающие почти всю внутреннюю поврехность пятки. Я методично фотографировал этот случай, вплоть до ампутации (через 2 мес) и протезирования. Правда, фото на слайдах (не знаю, как отсканировать) - показываю слушателям.

          AC> А что, операция была бы в этих
          AC> случаях мерой профилактики остеомиелита?

          Мерой профилактики остеомиелита в данном случае является профилактика сосудистых расстройств, каковые и являются причиной образования фликтен - антикоагулянты, реологические препараты, фнтиферменты, антибиотики и пр., а также воздержание от каких-либо мани=пуляций типа
          скелетного вытяжения.

          AC> Мне, к счастью, ни разу в такой ситуациии остеомиелит не встретился. И
          AC> хотя довольно много пяток мы оперируем, за последние лет 7 и после
          AC> операций не было, тьфу х 3.

          Мне довелось полгода назад слушать доклад на об-ве травматологов (не помню б-цу) об оперативном (погружном) лечении. Должен сказать, что, показания определены избирательно. Как минимум трети больных, которых мне доводилось наблюдать, погружной остеосинтез противопоказан как
          травмирущий.

          Что же касается конкретного случая, то, насколько я помню, шизофрения имеет довольно длительную ремиссию, когда человек вполне адекватен.
          И сам с такими сталкивался - как правило, довольно интеллигентные и образованные люди (в отличие от наркош, которые тоже любят попрыгать).
          Поэтому вряд ли эта патология должна влиять на тактику.
          Для уточнения же тактики травматологической желательны рентгенограммы как минимум в двух проекциях, лучше - КТ. Да и о голенях не надо забывать.

          Удачи . Александр Артемьев.

          [ Ответить ]
          • Re: шизофрения+политравма
            Отправитель: Леонид Н. Соломин 05 Июнь 2002, 15:07
            Разрешите и мне подписать под эти мнением. У меня очередь пациентов на подтаранный артродез после нелеченных переломов пяточной кости. Возможно (не
            имею собственной большой статистики) ДОА подтаранного возникает столь же часто, как и при оперативном лечении. Но в контексте разговора "нелеченным"
            и свод восстанавливать приходится...

            С уважением
            Леонид Соломин

            [ Ответить ]
    Re: шизофрения+политравма
    Глеб Коробушкин 03 Июнь 2002, 15:52
    Открытый перелом пяточной кости - это абсолютное противопоказание к оператиному лечению в ранние сроки, не зависимо от того, что вы хотите выбрать открытую репозицию, остеосинтез или закрытую и АНФ.
    А в более поздние сроки, когда заживут раны, субэпидермальные пузыри (не менее 3 нед) закрытая репозиция и АНФ врядли оправдают надежды (если только как плацебо), а открытая репозиция, остеосинтез возможны.
    Но как показывают наши наблюдения, при открытых переломах пяточной кости нужно стремитьтся на первом этапе не к репозиции, а к скорейшему заживлению раны.

    При лечении шизофрении+политравмы, мое мнение, метод выбора при О. переломе пяточной кости при поступлении ПХО без зашивания раны, гипс с окном и постараться устранить валгусное или варусное смещение пятки, после заживления раны продолжить конс лечение желательно в ПНД.
    Если больного в последующем будет беспокоить
    пятка вернуться к вопросу об оперативном лечении через 6 мес и после купирования обострения основного заболевания.

    С уважением Глеб Коробушкин.
    [ Ответить ]


    ( Ответить )

    Powered by Zope  Squishdot Powered MedLink
    Посетитель: 0026903
      "По форме правильно, а по существу - издевательство" В.И.Ленин
    ©2001-2019Orthoforum Coordinator.
    [ Главная | Отправить сообщение | Поиск | Админ ]