AOTRAUMA.ORG Центр Илизарова  

Ортопедия и травматология Общие вопросы/General questions Help Информационные технологии в медицине
 вверх
 отправить
 поиск
 админ
 главная
 Предыдущее


Re: Многооскольчатое бедро
William Obremsky 14 Май 2002, 08:48
A CT and knee xrays would help identify lateral condyle comminution and/or a "hoffa fragment" of the posterior condyle. I am concerned that the lateral cortex is not sufficient to give purchase for a retrograde IMN. blocking screws could improve this as a possibility. A long blade or LISS if avaible would be my secondary choices. Good luck. Any chance you can get these cases transferred earlier when it
would be less difficult?

Bill Obremskey
  • Сообщения о Ортопедия и травматология
  • Также William Obremsky
  • Связаться с автором
  • Ответить

    Re: Многооскольчатое бедро
    Alexander Chelnokov 14 Май 2002, 23:43
    WO> cortex is not sufficient to give purchase for a retrograde IMN. blocking
    WO> screws could improve this as a possibility.

    How the screws should be placed?

    WO> A long blade or LISS if avaible would be my secondary choices.

    Lateral condyle looks too small for the blade, and the plate too short.

    WO> Any chance you can get these cases transferred earlier when it
    WO> would be less difficult?

    Unpredictable.

    --
    Best regards,
    Alexander N. Chelnokov
    [ Ответить ]

    • Re: Многооскольчатое бедро
      Отправитель: William Obremsky 14 Май 2002, 23:52
      > How the screws should be placed?

      Use 6.5 mm cannulated screws if you have and
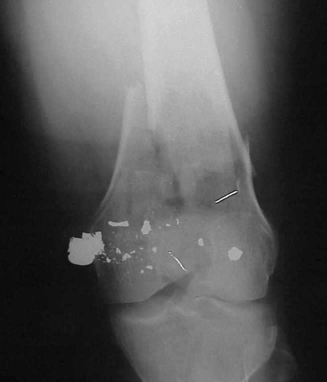
      place one anterior to where IMN will go if anterior cortex if insufficient and AP screws on either side of the IMN out of the trochlea to provide some additional varus/valgus stability. I worry about the leg going into valgus w/the lack of lateral cortex.
      See attached case that was done several years ago before LISS. He had comminuted trochlea and anterior blocking screws were used to prevent anterior IMN cut-out.





      Good luck.

      Bill Obremskey



      [ Ответить ]

     

    ( Ответить )

    Powered by Zope  Squishdot Powered MedLink
    Посетитель: 0028063
      "По форме правильно, а по существу - издевательство" В.И.Ленин
    ©2001-2019Orthoforum Coordinator.
    [ Главная | Отправить сообщение | Поиск | Админ ]